Ortodontija ar breketēm

Skaists, žilbinošs smaids – tas ir tik svarīgi mūsdienu pasaulē gan darbā, gan arī privātajā dzīvē! Mūsdienu ortodontiskā ārstēšana var dāvāt jums šādu smaidu jebkurā vecumā, ļaujot saglabāt jūsu zobu veselību uz ilgu laiku un novērst daudzas saslimšanas (nepareiza sakodiena sekas). Mēs izdarīsim visu iespējamo, lai atrisinātu jūsu problēmas augstā profesionālā līmenī un maksimāli nemanāmi apkārtējiem, turklāt ātri un nesāpīgi.

2000+

Laimīgi smaidi mēnesī

97%

Klientu apmierinātība

60+

Mūsu komanda

25000+

Laimīgi klienti

Pirms un pēc

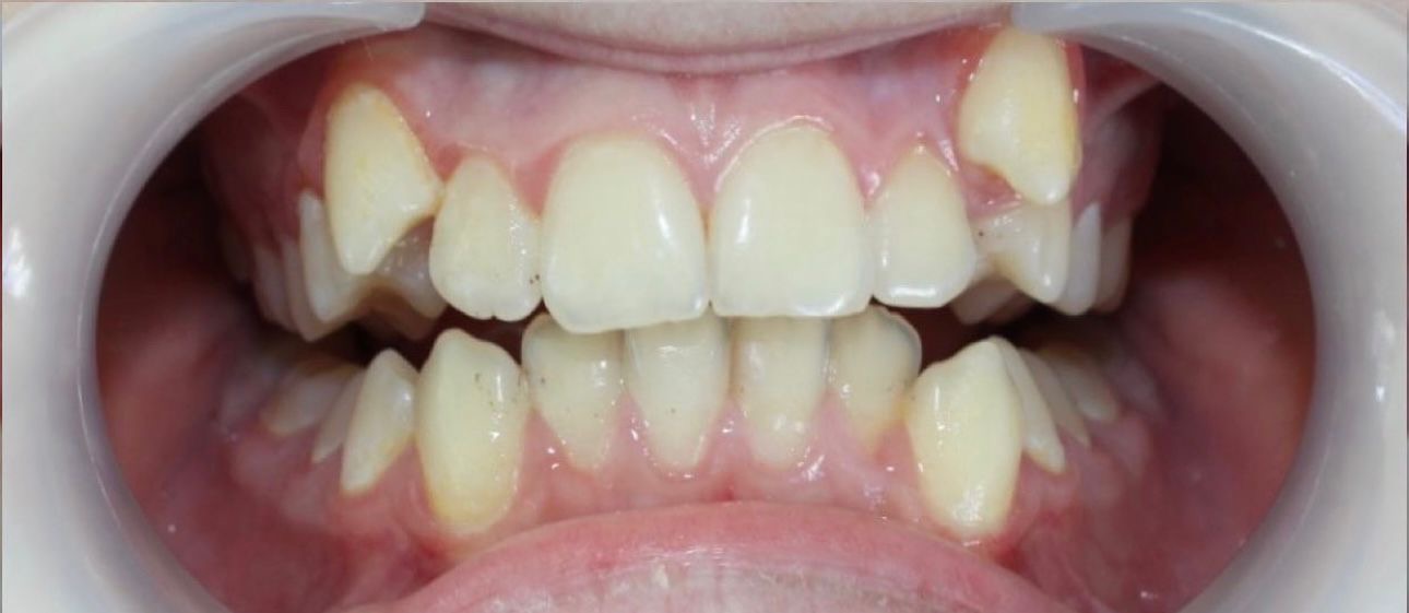
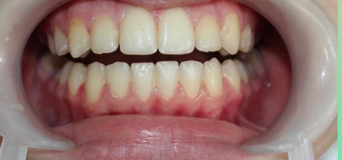
  • Ortodontija

    1 gads un 7 mēneši ārstēšanas ar breketēm. Rezultāts — taisni zobi, pareizs sakodiens un pārliecība par savu smaidu. Ortodontiskā ārstēšana palīdz sasniegt gan estētiski pievilcīgu izskatu, gan funkcionāli precīzu rezultātu. Sky Dream Clinic ortodontijas nodaļā katram pacientam tiek nodrošināta individuāla pieeja, augsta precizitāte un rūpīga ārstēšanas uzraudzība līdz ideālam smaidam.

    ortodontijas nodaļa Nr.1 before ortodontijas nodaļa Nr.1 after

    Pirms

    Pēc

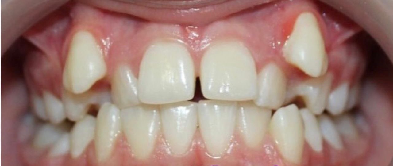
  • Ortodontija

    6 mēneši ārstēšanas ar breketēm. Rezultāts vēl ir procesā, taču redzams stabils progress — zobi kļuvuši taisnāki un sakodiens pakāpeniski izlīdzinās. Katrs posms ortodontiskajā ārstēšanā ir solis tuvāk veselīgam un estētiskam smaidam. Sky Dream Clinic ortodontijas nodaļā ārstēšana tiek veikta ar precizitāti, rūpību un individuālu pieeju, nodrošinot pacientam uzticību un pārliecību par rezultātu.

    ortodontijas nodaļa Nr.2 before ortodontijas nodaļa Nr.2 after

    Pirms

    Pēc

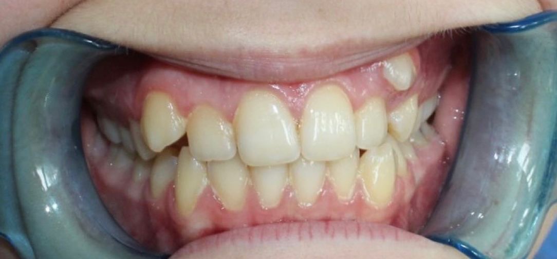
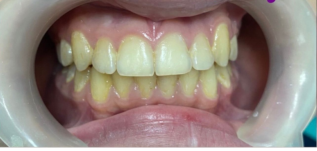
  • Ortodontija

    Pusotra gada ārstēšanas ar breketēm. Pacienta smaids jau ir ievērojami uzlabojies — redzami gan taisnāki zobi, gan labāks sakodiens. Ortodontiskā ārstēšana palīdz sasniegt ne tikai estētiski pievilcīgu, bet arī funkcionāli pareizu rezultātu. Sky Dream Clinic ortodontijas nodaļā ārstēšana tiek veikta ar individuālu pieeju un modernām tehnoloģijām, lai katrs pacients iegūtu savu ideālo smaidu.

    ortodontijas nodaļa Nr.3 before ortodontijas nodaļa Nr.3 after

    Pirms

    Pēc

Pieraksties uz konsultāciju

Pierakstieties uz konsultāciju. Plānojat vizīti pie zobārsta, bet nezināt, ar ko sākt? Pierakstieties uz konsultāciju pirms ārstēšanas un saņemiet atbildes uz visiem jums interesējošajiem jautājumiem. Mēs izskaidrosim jums, kādas ir nepieciešamās procedūras, un palīdzēsim jums spert pirmo soli ceļā uz veselīgu smaidu!

Kā notiek ortodontiskā ārstēšana mūsu klīnikā?

01

Sākotnējā konsultācija

Šajā posmā ortodonts veic zobu un žokļu pārbaudi, apkopo medicīnisko vēsturi un apspriež pacienta gaidīto attiecībā uz ārstēšanu. Novērtējuma veikšanai var nozīmēt rentgena izmeklējumu veikšanu un fotogrāfiju uzņemšanu.

02

Ārstēšanas plāna izstrāde

Ortodonts izstrādā individuālu ārstēšanas plānu, nosakot nepieciešamo brekešu veidu, ārstēšanas ilgumu un starpposmus.

03

Brekešu uzstādīšana

Norādītajā dienā ortodonts uzstāda breketes, kuras tiek piestiprinātas pie zobiem, izmantojot speciālu līmi. Tiek uzlikta arī stieple, kas palīdz pārvietot zobus vēlamajā pozīcijā.

04

Starpposmi un higiēna

Ārstēšanas procesā ir svarīgi ievērot regulāru zobu higiēnu. Ortodonts vai higiēnists iesaka pareizas zobu tīrīšanas metodes un veic profesionālu tīrīšanu, lai uzturētu zobu un smaganu veselību.

05

Regulāri apmeklējumi

Pacientam regulāri jāapmeklē ortodonts (parasti reizi 4-6 nedēļās), lai kontrolētu progresu un mainītu stiepli. Šajos apmeklējumos var veikt arī papildu regulējumus, ja nepieciešams.

06

Brekešu noņemšana

Pabeidzot ortodontisko ārstēšanu, ortodonts noņem breketes un iztīra zobus. Pēc tam pacientam uzliek aizturi, lai uzturētu rezultātu un novērstu zobu atgriešanos sākotnējā stāvoklī.

Piemērots gan pieaugušajiem, gan bērniem

Ortodontija ir piemērota gan bērniem, gan pieaugušajiem. Ieteicams uzsākt ārstēšanu pie ortodonta apmēram 7-8 gadu vecumā, kad bērniem sāk parādīties pastāvīgie zobi. Šajā vecumā ortodonts var konstatēt potenciālās sakodiena un žokļa attīstības problēmas. Breketes var uzstādīt no 13-14 gadu vecuma, kad zobu un žokļa sistēma jau ir izveidojusies. Pieaugušajiem ārstēšana arī ir iespējama jebkurā vecumā. Daudzas metodes, piemēram, breketes un kapes, var tikt veiksmīgi izmantotas, lai koriģētu zobu pozīciju un uzlabotu sakodiena funkcionalitāti. Galvenais nosacījums ir tas, vai zobu un smaganu veselība ļauj veikt ortodontisko ārstēšanu, un speciālists izstrādās piemērotu plānu atkarībā no pacienta individuālajām vajadzībām.

Pozitīvi rezultāti pēc procedūras

  • Estētiska uzlabošana: breketes palīdz izveidot vienmērīgus zobus un skaistu smaidu, kas palielina pašapziņu un uzlabo personīgo uztveri.
  • Funkcionalitāte: pareiza zobu izlīdzināšana veicina labāku sakodienu un košļāšanu, ievērojami uzlabojot gremošanu un vispārējo veselību.
  • Slimību profilakse: vienmērīgi zobi ir vieglāk tīrāmi, kas samazina kariesa un smaganu slimību rašanās risku, nodrošinot mutes dobuma veselību uz ilgāku laiku.
  • Runas uzlabošana: sakodiena korekcija var pozitīvi ietekmēt runu, novēršot problēmas, piemēram, šļupstēšanu vai citas fonētiskas grūtības.
  • Stabils rezultāts: mūsdienu brekešu sistēmas nodrošina uzticamus un ilgtspējīgus rezultātus; ievērojot zobārsta ieteikumus, jūsu zobi paliks savā vietā pēc ārstēšanas pabeigšanas.

Mūsu pacientu atsauksmes

Pacientu pozitīvās atsauksmes apstiprina augsto uzticības līmeni mūsu darbam. Mēs ļoti novērtējam katru viedokli, jo tas palīdz mums pastāvīgi uzlabot sniegto pakalpojumu kvalitāti.

Izsaku lielu pateicību higiēnistei Ingai par profesionālo un uzmanīgo pieeju! Inga veica procedūru rūpīgi, detalizēti izskaidroja visus posmus un sniedza vērtīgus ieteikumus zobu kopšanā. Es biju īpaši pārsteigts — nesāpīgi, mūsdienīgs aprīkojums, individuāla pieeja. Tagad iešu tikai pie Ingas! Ja vēlaties kvalitatīvu profilaksi un nevainojamu zobu tīrību, noteikti iesaku!

Dmitrijs Malinovskis

Dr. Līga un viņas komanda, kā arī administratore, ir iejūtīgi, laipni un profesionāli. Paldies!

Irina Rumjanceva

Apmeklēju higiēnas procedūru pie Anastasijas Jevdokimovas — izcila speciāliste un īsts profesionālis. Tik rūpīgu un kvalitatīvu higiēnu man vēl nekad nebija veikuši. Lieliska klīnika un profesionāli speciālisti!

Darja Jansone

Vēlos izteikt atzinību klīnikas administratora Artura darbam un dziļu pateicību. Mūsdienās ir tik reti sastopams kāds, kurš savus pienākumus pilda ar tādu atbildību un uzmanību detaļām. Ir skaidrs, ka viņš savu darbu nedara tikai izrādīšanās pēc, bet gan ar patiesu godprātību un aizrautību. Papildus tam, pateicoties Dr. Pasteres iejūtīgajam un profesionālajam darbam, es vēlos turpināt izmantot Sky Dream klīnikas pakalpojumus.

Ilja Dmitrijevs

Lieliska vieta ar atsaucīgu personālu un kvalificētiem ārstiem. Ārste Jeļena Pastare visu izskaidroja līdz galam, bez liekas informācijas. Visi izturējās ar lielu laipnību un rūpību. Man ļoti patika vizīte — viss bija skaidrs, paldies!

Alesja Kalmakova

Dēliņam, kurš ir ļoti jūtīgs, viss tika izdarīts tik profesionāli un ātri, ka tikām galā bez pārdzīvojuma. Milzīgs paldies dakterei Jakovļevai un Sky Dream klīnikai!

Zane Salmane

Šodien apmeklēju šo klīniku zobu ārstēšanai. Viss bija lieliski! Un īpašs paldies dakterei Annai Petrovai. Viņa bija ļoti laipna un precīza. Īsta profesionāle, un es noteikti varu viņu ieteikt. Paldies!

Antanas Leo

Milzīgs paldies SKY DREAM CLINIC komandai par lielisko darbu un uzmanīgo attieksmi! Jūs esat īsti profesionāļi, kuri padara pasauli mazliet labāku un cilvēku smaidus — skaistākus. Īpaša pateicība Dr. Jevgenijam Kiliarskim! Zelta rokas! Paldies!

Svetlana Lisone

Šodien pirmo reizi apmeklēju Sky Dream Clinic. Ļoti ērta atrašanās vieta un mūsdienīga klīnika. Mani sagaidīja laipnas administratores, un pēc tam devos uz ārstes kabinetu. Mana ārste – Arina Šutkina – ir patīkama un profesionāla speciāliste. Viņa izveidoja ārstēšanas plānu un uzsāka pirmo darba posmu. Kopā ar viņu strādāja jauka asistente Ieva. Bija patīkami atrasties šajā klīnikā kopā ar labu ārsti. Iesaku!

Katerina Perepichai

Liels paldies administrācijas meitenēm par laipno sagaidīšanu un higiēnistei Inārai Karpovai par smalko un rūpīgo darbu. Rezultāts ir pat pārsteidzoši labs. Paldies!

Signe Kocina

Ļoti atsaucīgs un laipns personāls – jau no pirmā brīža jutos gaidīta un saprasta. Viss tika rūpīgi izskaidrots, uz katru jautājumu saņēmu skaidru atbildi. Attieksme pret pacientu, manuprāt, ir 90% no veiksmīga rezultāta, un šeit tā bija nevainojama. Vizītes laikā nejutu stresu, bet tieši pretēji – drošību un pārliecību par to, kas notiek un kas būs jādara tālāk. Paldies par profesionālu un cilvēcīgu attieksmi!

Kristīne Zvejniece

Labākā klīnika Rīgā! Iesaku katru gadu veikt Dental Check Up (pilno zobu diagnostiku) – var uzzināt (3D attēlos) par zobu stāvokli un paredzēt iespējamās problēmas, lai zobu sāpes nepārsteigtu ceļojuma laikā vai citā svarīgā brīdī. Man ieteica terapijas plānu, un tagad varu plānot savas finanses, laicīgi salabojot zobus. Personāls nesteidzīgi atbildēja uz visiem jautājumiem un sniedza ieteikumus, kā uzlabot zobu skaistumu saudzējošā un man piemērotā veidā. No sirds iesaku!

Baiba Svjatska

Lieliski tika galā ar trīsgadnieka zobu caurumiem – bez narkozes. Lieliska attieksme gan pret vecākiem, gan bērniem. Bērns pie zobārstes gāja ar lielu prieku.

Laura Kalveniece

Jaunās klīnikas telpas ir plašas, gaišas un ar patīkamu, modernu atmosfēru. Prieks, ka šajā klīnikā darbu turpina higiēniste Inga un zobārste Līga, pie kurām man vienmēr bijusi ļoti patīkama attieksme un nekādu problēmu.

Davis Cipans

Klīnika ir augstākajā līmenī. Katrs solis un darbība tiek veikta ar rūpību, mazinot bailes un stresu līdz minimumam. Viss personāls ir ļoti draudzīgs.

Oļegs Vavilovs

Lieliska klīnika, brīnišķīga bērnu zobārste. Mans piecgadīgais bērns ārstē zobus bez bailēm un ar prieku dodas uz vizīti. Ārste prata viņu ieinteresēt, tāpēc viņam nebija bail – drīzāk interesanti! Injekciju veic nemanāmi, bērns to pat nepamana. Man bija svarīgi izvairīties no vispārējās narkozes, un tas mums izdevās. Ļoti iesaku!

Hanna Vauchkova

Ļoti patīkama atmosfēra, apkalpošana – sākot no administrācijas līdz zobārstniecības krēslam un atpakaļ – perfekta. Vēlos izteikt komplimentus administratorei Jekaterinai par ļoti laipno apkalpošanu. Iesaku visiem apmeklēt Sky Dream Clinic.

Linda Ansone

Ļoti atsaucīga un pretimnākoša attieksme. Sāka sāpēt zobs, un tajā pašā dienā atrada laiku, lai varētu atbraukt uz apskati! Zinoša daktere, visu sīki un smalki izstāstīja.

Kecija Salceviča

Biju uz zobu diagnostiku šajā klīnikā pie dakteres Marijas (ja pareizi atceros), viņa ir no Ukrainas. Zobus nofotografēja, noskenēja 3D un sīki, smalki par katru zobu visu izstāstīja. Zināšanu līmenis un attieksme – super! Esmu ļoti apmierināts! Latviešu valodu vēl mācās, bet jau spēj tīri labi sarunāties. Paldies!

Bikerman Intruder

Iepazīstieties ar mūsu komandu

Jevgenijs Kiliarskis

Zobārsts ar pieredzi ķirurģijā, protezēšanā un implantoloģijā

  • 15 prakses gadi
  • Valodas: ukraiņu, angļu, krievu, latviešu (mācās)
Lasīt vairāk

Dmitrijs Papsujevičs

Virsārsts, protēzists, implantologs, ķirurgs ar pieredzi, valdes loceklis

  • 15 prakses gadi
  • Valodas: latviešu, angļu, krievu
Lasīt vairāk

F.A.Q.

Brekešu valkāšanas ilgums parasti svārstās no 1 līdz 3 gadiem atkarībā no gadījuma sarežģītības un pacienta individuālajām īpašībām.

Brekešu uzstādīšana nav sāpīga, taču pēc uzstādīšanas var rasties neliels diskomforts un spiediens uz zobiem, kas parasti pāriet dažu dienu laikā.

Nēsājot breketes, ieteicams izvairīties no cietas, lipīgas un grūti sakošļājamas pārtikas, jo tā var sabojāt breketes vai apgrūtināt tīrīšanu.

Ieteicams tīrīt zobus vismaz divas reizes dienā, izmantojot speciālu zobu birsti, lietot zobu diegu, lai izņemtu pārtikas daļiņas, un veikt profesionālu tīrīšanu ik pēc 3-4 mēnešiem, lai uzturētu zobu un smaganu veselību.

Jā, pirms brekešu uzstādīšanas un ārstēšanas procesā ir svarīgi ārstēt visas zobu problēmas, lai nodrošinātu mutes dobuma veselību, kā arī regulāri apmeklēt ortodontu, lai uzraudzītu progresu.

Pieraksties uz konsultāciju

Pierakstieties uz konsultāciju. Plānojat vizīti pie zobārsta, bet nezināt, ar ko sākt? Pierakstieties uz konsultāciju pirms ārstēšanas un saņemiet atbildes uz visiem jums interesējošajiem jautājumiem. Mēs izskaidrosim jums, kādas ir nepieciešamās procedūras, un palīdzēsim jums spert pirmo soli ceļā uz veselīgu smaidu!