Ortodontija ar kapēm

Izvēlieties sakodiena labošanu un zobu izlīdzināšanu bez breketēm.

Kļūt par apburoša smaida īpašnieku jums palīdzēs caurspīdīgās kapes ORDOLINE!

Caurspīdīga alternatīva breketēm! Atšķirībā no brekešu sistēmas par jūsu ortodontisko ārstēšanu zināsiet tikai jūs pats(-i).

Kapes izgatavotas no speciāla, caurspīdīga materiāla, kura īpašībām pateicoties, tās blīvi piekļaujas zobiem un ir pilnīgi neredzamas sarunas laikā, smaidot vai pat uz fotogrāfijām.

2000+

Laimīgi smaidi mēnesī

97%

Klientu apmierinātība

70+

Mūsu komanda

25000+

Laimīgi klienti

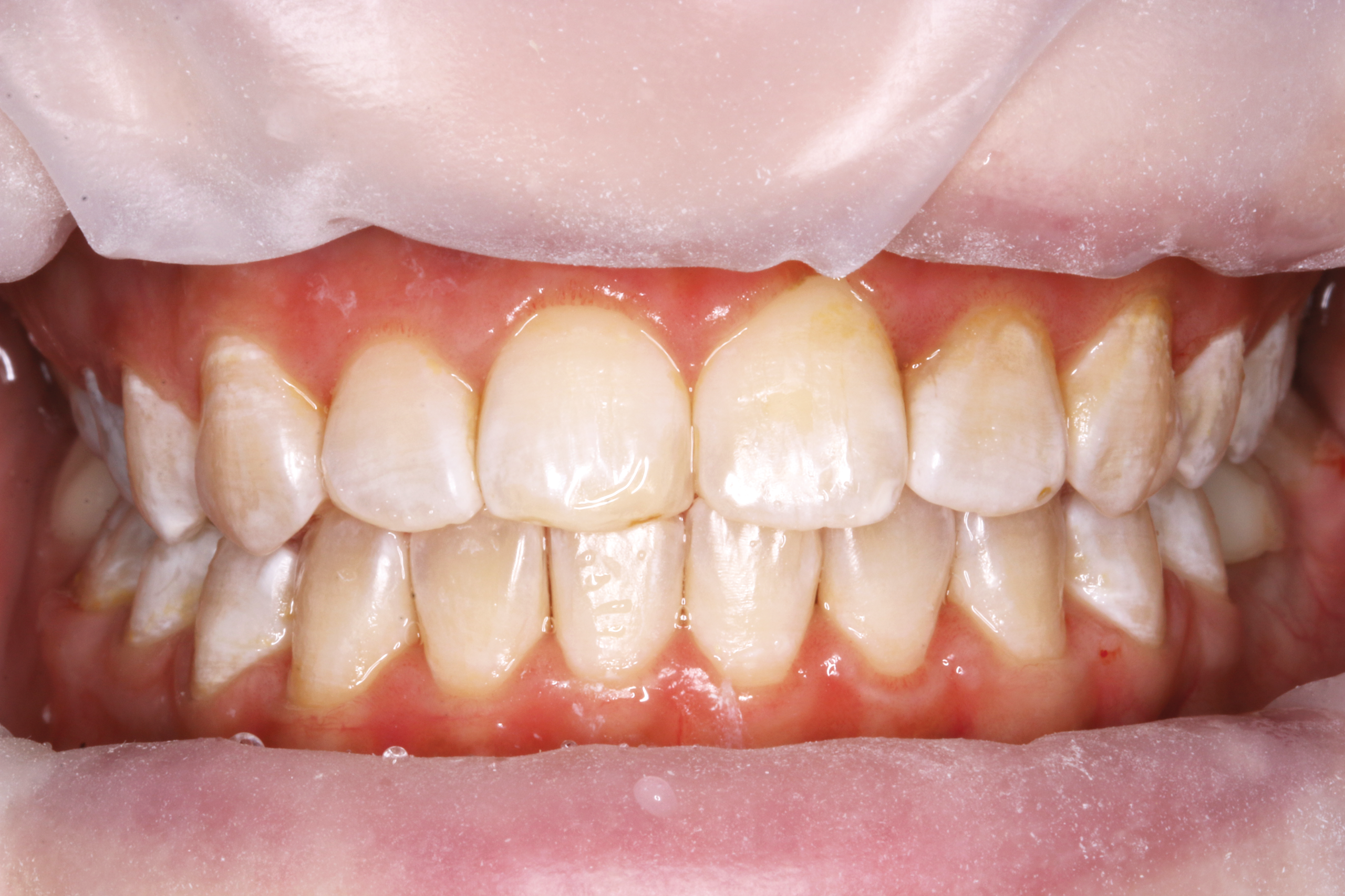
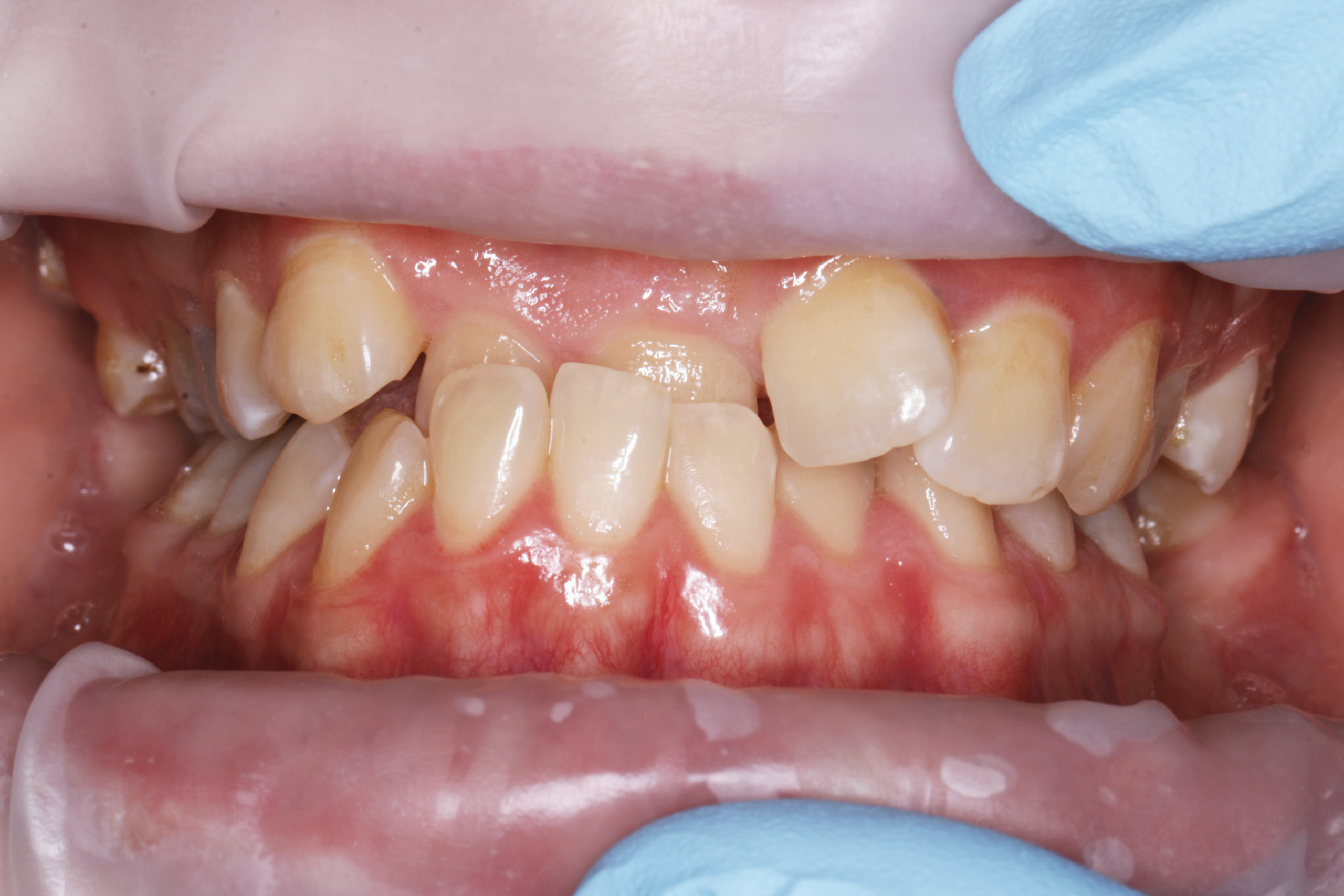
  • Korekcija ar Ordoline kapēm – moderns risinājums sakodiena un zobu izvietojuma uzlabošanai

    Ārstēšanas laikā pacientam tika veikta krusta sakodiena korekcija un zobu izvietojuma uzlabošana, izmantojot caurspīdīgās Ordoline kapes. Individuāli izstrādātā ārstēšanas plāna ietvaros zobi tika pakāpeniski pārvietoti anatomiski pareizās pozīcijās, uzlabojot gan košļāšanas funkciju, gan smaida estētiku. Šī metode ļauj iztaisnot zobus bez redzamām metāla konstrukcijām, saglabājot dabisku izskatu un augstu komfortu visā ārstēšanas laikā. Rezultātā tika panākta līdzena zobu rinda un stabils sakodiens, kā arī vizuāli pievilcīgs smaids, kas uzlabo pacienta pašsajūtu un pārliecību ikdienā.

    Ordo 1 before Ordo 1 after

    Pirms

    Pēc

  • Zobu ekstrūzija ar Ordoline kapēm

    Pacientam atsevišķi zobi atradās ārpus zobu rindas nelīdzenā zobu lokā, ietekmējot sakodiena stabilitāti. Ārstēšanai tika izvēlētas caurspīdīgās Ordoline kapes, kas ļauj kontrolēti un pakāpeniski pārvietot zobus uz anatomiski pareizu pozīciju. Ārstēšanas gaitā tika izlīdzināta horizontālā zobu loka līnija ar zobu ekstrūzijas palīdzību, un atjaunots funkcionāli līdzsvarots sakodiens. Kapes nodrošināja delikātas zobu kustības bez metāla konstrukcijām, saglabājot dabisku estētiku un ikdienas komfortu.

    Ordo 2 before Ordo 2 after

    Pirms

    Pēc

  • Dziļā sakodiena korekcija ar Ordoline kapēm

    Pacients vērsās ar sūdzībām par pārmērīgi dziļu sakodienu, kad augšējie priekšzobi būtiski pārklāja apakšējos un radīja gan estētisku, gan funkcionālu diskomfortu. Ārstēšanai tika izmantotas caurspīdīgās Ordoline kapes, kas ļauj pakāpeniski regulēt zobu pozīciju un atjaunot pareizu sakodiena augstumu. Terapijas gaitā tika izlīdzināta priekšzobu pozīcija, uzlabota zobu rindu savstarpējā saskare.

    Ordo 3 before Ordo 3 after

    Pirms

    Pēc

  • Diastēmas korekcija ar Ordoline kapēm

    Pacients vērsās ar sūdzībām par redzamu spraugu starp priekšzobiem (diastēmu), kas radīja estētisku diskomfortu un ietekmēja smaida kopējo izskatu. Ārstēšanai tika izmantotas caurspīdīgās Ordoline kapes, kas pakāpeniski pārvieto zobus precīzās pozīcijās un ļauj sašaurināt diastēmu bez invazīvām procedūrām. Terapijas laikā tika izlīdzināta priekšzobu rinda un atjaunota zobu kontakta līnija. Zobu sprauga pilnībā slēgta, zobu rinda kļuvusi vienmērīga, un smaids ieguvis simetrisku, koptu un vizuāli pievilcīgu izskatu.

    Ordo 4 before Ordo 4 after

    Pirms

    Pēc

  • Atvērta sakodiena korekcija ar Ordoline kapēm

    Pacients vērsās ar izteiktu atvērto sakodienu — situāciju, kur augšžokļa un apakšžokļa priekšzobi saskarē nenoslēdzas, ietekmējot gan košļāšanu, gan smaida estētiku. Ārstēšana tika veikta, izmantojot Ordoline caurspīdīgās kapes, kas pakāpeniski izlīdzina zobu pozīcijas un nodrošina žokļu pareizu saskari. Terapijas laikā tika koriģēts priekšzobu augstums, izlīdzināta zobu rinda un uzlabots kopējais sakodiena balanss. Priekšzobi pilnvērtīgi noslēdzās, sakodiens kļuva funkcionāls un stabils, un pacients ieguva vizuāli harmonisku, estētiski sakoptu smaidu.

    Ordo 5 before Ordo 5 after

    Pirms

    Pēc

Pieraksties uz konsultāciju

Pierakstieties uz konsultāciju. Plānojat vizīti pie zobārsta, bet nezināt, ar ko sākt? Pierakstieties uz konsultāciju pirms ārstēšanas un saņemiet atbildes uz visiem jums interesējošajiem jautājumiem. Mēs izskaidrosim jums, kādas ir nepieciešamās procedūras, un palīdzēsim jums spert pirmo soli ceļā uz veselīgu smaidu!

Kapes pret breketēm

Ārstēšanas metode

Atšķirībā no breketēm jūsu ortodontiskā ārstēšana būs zināma tikai jums. Kapes ir izgatavotas no īpaša, caurspīdīga materiāla un ir pilnīgi neredzamas, runājot, smaidot un pat fotografējoties.

Izskats

Caurspīdīgas un gandrīz nemanāmas, kas padara tās estētiski pievilcīgākas pacientiem.

Ērtība un kopšana

Viegli noņemt tīrīšanai, kas atvieglo mutes dobuma kopšanu un ļauj ērtāk uzņemt pārtiku.

Ārstēšanas ātrums

Dažos gadījumos ārstēšana var aizņemt mazāk laika, taču tā ir atkarīga no zobu stāvokļa un kapju nēsāšanas režīma ievērošanas.

Cena

Parasti tās ir dārgākas nekā breketes, jo prasa sarežģītāku ražošanu un individuālu pieeju katram pacientam.

Ārstēšanas metode

Fiksētas brekešu sistēmas, kas tiek piestiprinātas pie zobiem, un metāla vai keramikas arku izmantošana, lai pārvietotu zobus vēlamajā pozīcijā.

Izskats

Var būt veidotas no metāla vai keramikas, bet jebkurā gadījumā tās ir pamanāmas uz zobiem un var radīt zināmu estētisku diskomfortu.

Ērtība un kopšana

Prasa lielāku uzmanību kopšanā, nepieciešams izmantot īpašu zobu birsti zobu un brekešu tīrīšanai, apmeklēt higiēnistu reizi 3 mēnešos, un tās var radīt diskomfortu lietošanas laikā.

Ārstēšanas ātrums

Parasti var aizņemt vairāk laika, lai sasniegtu galīgos rezultātus, dažreiz no 1 līdz 3 gadiem atkarībā no gadījuma sarežģītības.

Cena

Bieži vien maksā lētāk nekā kapes, taču galīgā cena ir atkarīga no ārstēšanas sarežģītības un ilguma.

Smaids pēc procedūras

Pēc ortodontiskās ārstēšanas zobi izskatās ievērojami vienmērīgāki un estētiski pievilcīgāki.

Tie atrodas pareizajā pozīcijā, kas uzlabo ne tikai smaida izskatu, bet arī kopējo sakodiena funkcionalitāti.

Ārstēšanas posmi

Mūsu visaptveroša pieeja ietver secīgu posmu, kas nodrošina efektīvu un komfortablu sakodiena korekciju. Katram pacientam tiek izstrādāts individuāls plāns, kuru papildina profesionāla uzraudzība un atbalsts visos posmos.

01

Konsultācijas laikā ārsts veiks nepieciešamos izmeklējumus (zobu nospiedumu vai skenējumu, sejas un zobu fotogrāfijas, rentgenu), lai varētu sagatavot ārstēšanas plānu.

02

Katram pacientam tiek sagatavots individuāls ārstēšanas plāns. Digitālā 3D vizualizācijā var redzēt, kā katra kape mainīs zobu stāvokli, kāds būs galarezultāts un ārstēšanas ilgums.

03

Ortodontisko kapju izgatavošana. Pēc izgatavošanas kapes tiks nosūtītas ārstējošam ārstam, kurš tās izsniegs pacientam kopā ar nepieciešamajām lietošanas instrukcijām.

04

Ārstēšana. Pacients kapes patstāvīgi maina ik pēc 10-14 dienām. Vidēji reizi 2-3 mēnešos apmeklē savu ārstu, lai pārliecinātos, ka ārstēšana norit pēc plāna. Vidējais ārstēšanas laiks aptuveni 8-18 mēneši (atkarībā no katra individuāla gadījuma).

Priekšrocības pēc ortodontiskās ārstēšanas ar kapēm

  • Perfekta zobu poza: zobi paliek pareizajā pozīcijā, uzlabojot smaida estētiku un funkcionalitāti.
  • Uzlabots sakodiens: pareiza sakodiena atjaunošana samazina slodzi uz locītavām un zobiem, novēršot nākotnes problēmas.
  • Pašpārliecinātība un estētika: smaids kļūst pievilcīgāks, un seja harmoniskāka, kas stiprina pašpārliecinātību.
  • Ilgtermiņa rezultāts: pareizi iztaisnoti zobi ilgāk saglabā efektu un samazina nepieciešamību pēc atkārtotām korekcijām.
  • Uzlabota ēšanas un runas komforts: uzlabots sakodiens un pareiza zobu pozīcija nodrošina ērtāku košļāšanu un runu, samazinot nodilumu un diskomfortu.

Iepazīstieties ar mūsu komandu

Jevgenijs Kiliarskis

Zobārsts ar pieredzi ķirurģijā, protezēšanā un implantoloģijā

  • 15 prakses gadi
  • Valodas: ukraiņu, angļu, krievu, latviešu (mācās)
Lasīt vairāk

Dmitrijs Papsujevičs

Virsārsts, protēzists, implantologs, ķirurgs ar pieredzi, valdes loceklis

  • 15 prakses gadi
  • Valodas: latviešu, angļu, krievu
Lasīt vairāk

F.A.Q.

Ordoline ir caurspīdīgas ortodontiskās kapes, kas pakāpeniski iztaisno zobus bez breketēm.

Lielāko daļu sakodiena un zobu pozīcijas problēmu var ārstēt ar kapēm, taču galīgo lēmumu pieņem ārsts pēc diagnostikas.

Parasti 6–18 mēneši, atkarībā no situācijas sarežģītības.

Jā, vismaz 22 stundas diennaktī. Kapes drīkst noņemt tikai ēšanas un zobu tīrīšanas laikā.

Sākot lietot katru jauno kapu komplektu, var būt neliels diskomforts — tas ir normāli un liecina, ka ārstēšana darbojas.

Kontroles vizītes parasti notiek reizi 6–8 nedēļās.

Jā, pirms ārstēšanas tiek izveidots 3D plāns ar paredzamo rezultātu.

Pieraksties uz konsultāciju

Pierakstieties uz konsultāciju. Plānojat vizīti pie zobārsta, bet nezināt, ar ko sākt? Pierakstieties uz konsultāciju pirms ārstēšanas un saņemiet atbildes uz visiem jums interesējošajiem jautājumiem. Mēs izskaidrosim jums, kādas ir nepieciešamās procedūras, un palīdzēsim jums spert pirmo soli ceļā uz veselīgu smaidu!