Zobu balināšana

Zobu balināšana mūsu klīnikā ir droša un efektīva procedūra, kas palīdz veidot žilbinošu smaidu. Mēs piedāvājam dažādas balināšanas metodes, tostarp profesionālo balināšanu kabinetā un mājas komplektus, kas pielāgoti individuāli. Katru procedūru veic pieredzējuši speciālisti, kas garantē drošus un kvalitatīvus rezultātus. Padari savu smaidu par vairākiem toņiem gaišāku, izmantojot zobu balināšanas pakalpojumus mūsu klīnikā!

2000+

Laimīgi smaidi mēnesī

97%

Klientu apmierinātība

60+

Mūsu komanda

25000+

Laimīgi klienti

Philips Zoom priekšrocības

Philips ZOOM WHITE SPEED priekšrocības:

Speciālistu pieredze: klīnikā strādā zobārsti un higiēnisti ar vairāk nekā 10 gadu pieredzi. Viņiem ir nepieciešamās zināšanas un prasmes, un viņi izmanto speciālas tehnoloģijas, mūsdienīgus preparātus un aprīkojumu.

Individuāla pieeja: procedūras tiek veiktas, ņemot vērā visas pacienta īpatnības, mutes dobuma stāvokli, esošās pamata un blakus saslimšanas.

Ērti apstākļi zobu balināšanai: izmantojot ZOOM sistēmu un citas tehnoloģijas, mūsu pacienti nepiedzīvo nepatīkamas sajūtas un procedūras laikā var atpūsties.

Ātri rezultāti: piemēram, lai izbalinātu zobus par vairākiem toņiem, jums jāpavada zobārsta krēslā tikai 1,5 stundas.

Ilgstoša noturīga efekta saglabāšana: pareizi kopjot mutes dobumu, rezultāts saglabājas 2 – 5 gadus.

Mūsdienīgs aprīkojums: klīnika ir aprīkota ar speciālām lampām, kas ļauj izvairīties no smaganu un zobu nervu pārkaršanas, tādējādi palielinot procedūras panesamību.

Pirms un pēc

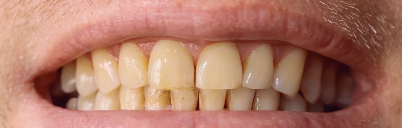
  • Zobu balināšana ar Philips Zoom sistēmu

    Philips Zoom balināšana ir droša un efektīva procedūra, kas ļauj iegūt redzami gaišāku smaidu jau vienas vizītes laikā. Procedūras laikā tiek izmantots speciāls balinošs gels un LED gaisma, kas aktivizē gela iedarbību un maigi noņem pigmentus no zobu emaljas. Rezultātā zobu tonis kļūst par vairākiem toņiem gaišāks, saglabājot dabisku spīdumu un zobu veselību.

    White 1 before White 1 after

    Pirms

    Pēc

  • Zobu balināšana ar Philips Zoom sistēmu

    Philips Zoom balināšana ir moderns un drošs veids, kā atjaunot zobu dabisko baltumu. Procedūras laikā uz zobiem tiek uzklāts speciāls balinošs gels, kura iedarbību pastiprina LED gaisma. Šī metode ir īpaši piemērota cilvēkiem, kuri ikdienā lieto kafiju, tēju vai sarkanvīnu, jo tā efektīvi noņem šajos dzērienos esošos pigmentus no emaljas. Rezultātā zobi kļūst par vairākiem toņiem gaišāki, saglabājot dabisku baltumu un veselīgu spīdumu.

    White 2 before White 2 after

    Pirms

    Pēc

  • Zobu balināšana ar Philips Zoom sistēmu

    Philips Zoom ir mūsdienīga un droša zobu balināšanas procedūra, kas palīdz atjaunot zobu dabisko baltumu un spīdumu. Procedūras laikā uz zobiem tiek uzklāts balinošs gels, kura iedarbību aktivizē LED gaisma – tā efektīvi un saudzīgi likvidē krāsas pigmentus no emaljas virsmas. Pēc balināšanas ieteicams ievērot “balto diētu”, izvairoties no krāsainiem ēdieniem un dzērieniem, lai saglabātu gaišo toni ilgāk. Rezultātā smaids kļūst izteikti gaišāks, saglabājot dabisku un veselīgu izskatu.

    White3 before White3 after

    Pirms

    Pēc

Express zobu balināšana ar Zoom Philips — redzams rezultāts tikai 30 minūšu laikā!

Procedūra tiek veikta uzreiz pēc profesionālas mutes higiēnas, nodrošinot maksimālu efektivitāti un noturību. Speciālists uzklāj speciālu balināšanas gelu, kura aktivizējas ar lampu Zoom Philips, paātrinot emaljas balināšanas procesu. Visas 30 minūtes notiek dziļa zobu balināšana, un rezultātā smaids iegūst spilgtu, spīdošu izskatu. Šī ātrā un drošā procedūra ir ideāla tiem, kuri vēlas uzreiz pārveidot savu smaidu pirms svarīga pasākuma vai vienkārši palielināt savu pašpārliecinātību. Procedūra ir droša zobu emaljai un nesagādā diskomfortu, turklāt iegūtais efekts ilgst ilgu laiku

  * Procedūra tiek veikta tikai tādos gadījumos, ja pēc speciālista domām nav nekādu kontrindikāciju.

/

Mūsu pacientu atsauksmes

Pacientu pozitīvās atsauksmes apstiprina augsto uzticības līmeni mūsu darbam. Mēs ļoti novērtējam katru viedokli, jo tas palīdz mums pastāvīgi uzlabot sniegto pakalpojumu kvalitāti.

Izsaku lielu pateicību higiēnistei Ingai par profesionālo un uzmanīgo pieeju! Inga veica procedūru rūpīgi, detalizēti izskaidroja visus posmus un sniedza vērtīgus ieteikumus zobu kopšanā. Es biju īpaši pārsteigts — nesāpīgi, mūsdienīgs aprīkojums, individuāla pieeja. Tagad iešu tikai pie Ingas! Ja vēlaties kvalitatīvu profilaksi un nevainojamu zobu tīrību, noteikti iesaku!

Dmitrijs Malinovskis

Dr. Līga un viņas komanda, kā arī administratore, ir iejūtīgi, laipni un profesionāli. Paldies!

Irina Rumjanceva

Apmeklēju higiēnas procedūru pie Anastasijas Jevdokimovas — izcila speciāliste un īsts profesionālis. Tik rūpīgu un kvalitatīvu higiēnu man vēl nekad nebija veikuši. Lieliska klīnika un profesionāli speciālisti!

Darja Jansone

Vēlos izteikt atzinību klīnikas administratora Artura darbam un dziļu pateicību. Mūsdienās ir tik reti sastopams kāds, kurš savus pienākumus pilda ar tādu atbildību un uzmanību detaļām. Ir skaidrs, ka viņš savu darbu nedara tikai izrādīšanās pēc, bet gan ar patiesu godprātību un aizrautību. Papildus tam, pateicoties Dr. Pasteres iejūtīgajam un profesionālajam darbam, es vēlos turpināt izmantot Sky Dream klīnikas pakalpojumus.

Ilja Dmitrijevs

Lieliska vieta ar atsaucīgu personālu un kvalificētiem ārstiem. Ārste Jeļena Pastare visu izskaidroja līdz galam, bez liekas informācijas. Visi izturējās ar lielu laipnību un rūpību. Man ļoti patika vizīte — viss bija skaidrs, paldies!

Alesja Kalmakova

Dēliņam, kurš ir ļoti jūtīgs, viss tika izdarīts tik profesionāli un ātri, ka tikām galā bez pārdzīvojuma. Milzīgs paldies dakterei Jakovļevai un Sky Dream klīnikai!

Zane Salmane

Šodien apmeklēju šo klīniku zobu ārstēšanai. Viss bija lieliski! Un īpašs paldies dakterei Annai Petrovai. Viņa bija ļoti laipna un precīza. Īsta profesionāle, un es noteikti varu viņu ieteikt. Paldies!

Antanas Leo

Milzīgs paldies SKY DREAM CLINIC komandai par lielisko darbu un uzmanīgo attieksmi! Jūs esat īsti profesionāļi, kuri padara pasauli mazliet labāku un cilvēku smaidus — skaistākus. Īpaša pateicība Dr. Jevgenijam Kiliarskim! Zelta rokas! Paldies!

Svetlana Lisone

Šodien pirmo reizi apmeklēju Sky Dream Clinic. Ļoti ērta atrašanās vieta un mūsdienīga klīnika. Mani sagaidīja laipnas administratores, un pēc tam devos uz ārstes kabinetu. Mana ārste – Arina Šutkina – ir patīkama un profesionāla speciāliste. Viņa izveidoja ārstēšanas plānu un uzsāka pirmo darba posmu. Kopā ar viņu strādāja jauka asistente Ieva. Bija patīkami atrasties šajā klīnikā kopā ar labu ārsti. Iesaku!

Katerina Perepichai

Liels paldies administrācijas meitenēm par laipno sagaidīšanu un higiēnistei Inārai Karpovai par smalko un rūpīgo darbu. Rezultāts ir pat pārsteidzoši labs. Paldies!

Signe Kocina

Ļoti atsaucīgs un laipns personāls – jau no pirmā brīža jutos gaidīta un saprasta. Viss tika rūpīgi izskaidrots, uz katru jautājumu saņēmu skaidru atbildi. Attieksme pret pacientu, manuprāt, ir 90% no veiksmīga rezultāta, un šeit tā bija nevainojama. Vizītes laikā nejutu stresu, bet tieši pretēji – drošību un pārliecību par to, kas notiek un kas būs jādara tālāk. Paldies par profesionālu un cilvēcīgu attieksmi!

Kristīne Zvejniece

Labākā klīnika Rīgā! Iesaku katru gadu veikt Dental Check Up (pilno zobu diagnostiku) – var uzzināt (3D attēlos) par zobu stāvokli un paredzēt iespējamās problēmas, lai zobu sāpes nepārsteigtu ceļojuma laikā vai citā svarīgā brīdī. Man ieteica terapijas plānu, un tagad varu plānot savas finanses, laicīgi salabojot zobus. Personāls nesteidzīgi atbildēja uz visiem jautājumiem un sniedza ieteikumus, kā uzlabot zobu skaistumu saudzējošā un man piemērotā veidā. No sirds iesaku!

Baiba Svjatska

Lieliski tika galā ar trīsgadnieka zobu caurumiem – bez narkozes. Lieliska attieksme gan pret vecākiem, gan bērniem. Bērns pie zobārstes gāja ar lielu prieku.

Laura Kalveniece

Jaunās klīnikas telpas ir plašas, gaišas un ar patīkamu, modernu atmosfēru. Prieks, ka šajā klīnikā darbu turpina higiēniste Inga un zobārste Līga, pie kurām man vienmēr bijusi ļoti patīkama attieksme un nekādu problēmu.

Davis Cipans

Klīnika ir augstākajā līmenī. Katrs solis un darbība tiek veikta ar rūpību, mazinot bailes un stresu līdz minimumam. Viss personāls ir ļoti draudzīgs.

Oļegs Vavilovs

Lieliska klīnika, brīnišķīga bērnu zobārste. Mans piecgadīgais bērns ārstē zobus bez bailēm un ar prieku dodas uz vizīti. Ārste prata viņu ieinteresēt, tāpēc viņam nebija bail – drīzāk interesanti! Injekciju veic nemanāmi, bērns to pat nepamana. Man bija svarīgi izvairīties no vispārējās narkozes, un tas mums izdevās. Ļoti iesaku!

Hanna Vauchkova

Ļoti patīkama atmosfēra, apkalpošana – sākot no administrācijas līdz zobārstniecības krēslam un atpakaļ – perfekta. Vēlos izteikt komplimentus administratorei Jekaterinai par ļoti laipno apkalpošanu. Iesaku visiem apmeklēt Sky Dream Clinic.

Linda Ansone

Ļoti atsaucīga un pretimnākoša attieksme. Sāka sāpēt zobs, un tajā pašā dienā atrada laiku, lai varētu atbraukt uz apskati! Zinoša daktere, visu sīki un smalki izstāstīja.

Kecija Salceviča

Biju uz zobu diagnostiku šajā klīnikā pie dakteres Marijas (ja pareizi atceros), viņa ir no Ukrainas. Zobus nofotografēja, noskenēja 3D un sīki, smalki par katru zobu visu izstāstīja. Zināšanu līmenis un attieksme – super! Esmu ļoti apmierināts! Latviešu valodu vēl mācās, bet jau spēj tīri labi sarunāties. Paldies!

Bikerman Intruder

Iepazīstieties ar mūsu komandu

Inga Čipāne

Zobu higiēniste

  • 7 prakses gadi
  • Valodas: latviešu, angļu, krievu
Lasīt vairāk

Anastasija Jevdokimova

Zobu higiēniste

  • 2 prakses gadi
  • Valodas: latviešu, krievu
Lasīt vairāk

Ināra Karpova

Zobu higiēniste

  • 19 prakses gadi
  • Valodas: latviešu, angļu, krievu
Lasīt vairāk

Veronika Abricka

Zobu higiēniste

  • 10 prakses gadi
  • Valodas: latviešu, angļu, krievu
Lasīt vairāk

F.A.Q.

“Philips Zoom White” izmanto profesionālo gelu, kuru pamatā ir ūdeņraža peroksīds un kas tiek uzklāts uz zobiem un aktivizēts ar speciālu lampu, lai nodrošinātu ātru balināšanu un maksimālu efektivitāti.

Lielākā daļa pacientu procedūras laikā nejūt stipru diskomfortu. Tomēr var būt viegla jūtība, kas ir atkarīga no zobu stāvokļa. Ārsts var piedāvāt speciālas metodes diskomforta samazināšanai.

Zoom balināšanas rezultāti var saglabāties no dažiem mēnešiem līdz vienam gadam. Rezultātu ilgmūžība ir atkarīga no individuālajiem paradumiem, piemēram, kafijas un tējas lietošanas un smēķēšanas.

Ja jums ir kariess, smaganu slimības vai citas zobārstniecības problēmas, tās jāizārstē pirms balināšanas procedūras veikšanas. Ieteicams apspriest savu stāvokli ar zobārstu.

Parasti pietiek ar vienu sesiju, kas ilgst apmēram 45 minūtes, lai panāktu ievērojamu zobu balināšanu. Tomēr rezultāti var atšķirties atkarībā no sākotnējā zobu stāvokļa.

Pieraksties uz konsultāciju

Pierakstieties uz konsultāciju. Plānojat vizīti pie zobārsta, bet nezināt, ar ko sākt? Pierakstieties uz konsultāciju pirms ārstēšanas un saņemiet atbildes uz visiem jums interesējošajiem jautājumiem. Mēs izskaidrosim jums, kādas ir nepieciešamās procedūras, un palīdzēsim jums spert pirmo soli ceļā uz veselīgu smaidu!