Pirms / pēc

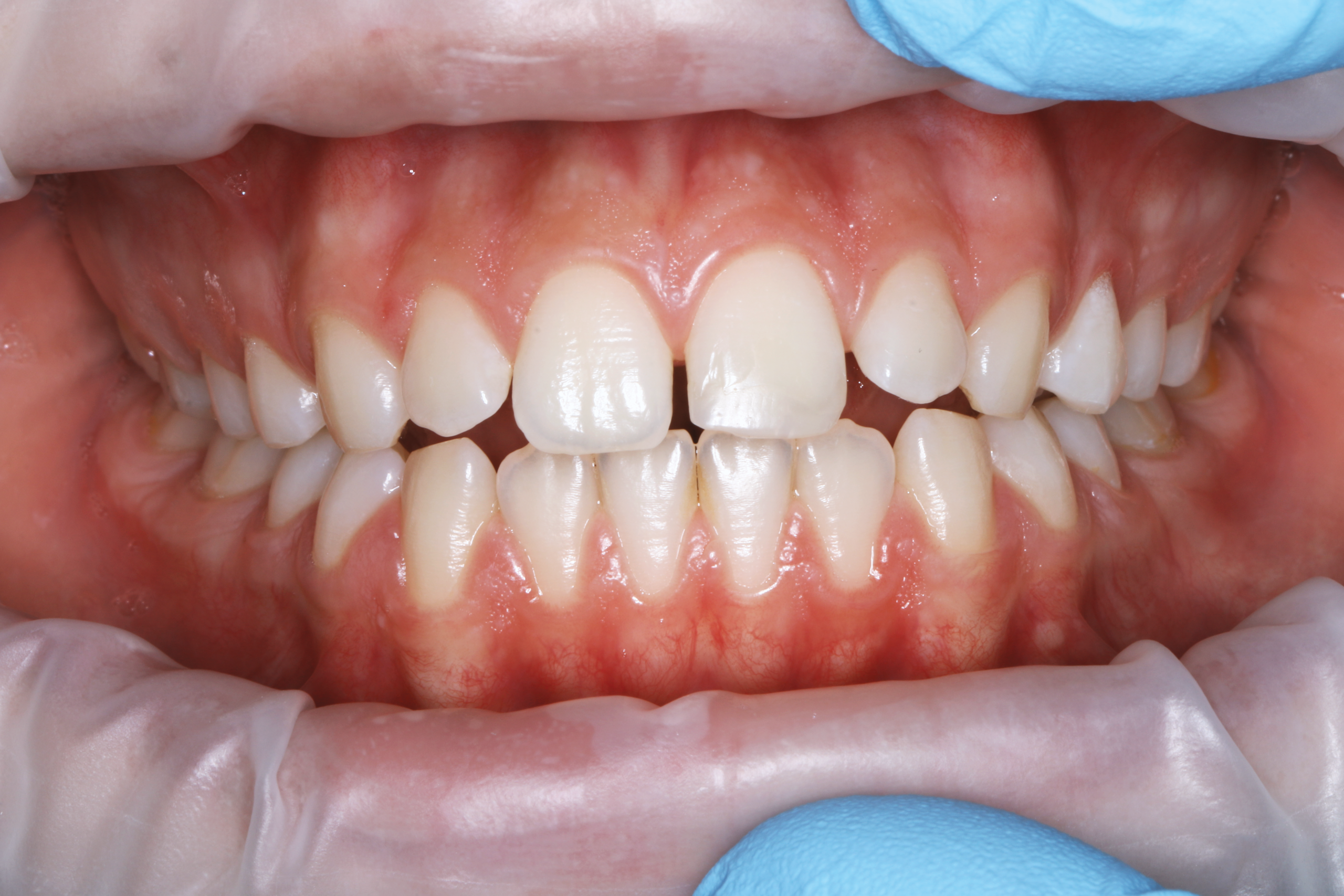
  • Divu gadu vecumā zobu veselība jau ir ļoti svarīga

    Tā sauktais “pudeļu kariess” var attīstīties ļoti agrīni, īpaši tad, ja bērns bieži dzer saldinātus dzērienus, pienu vai maisījumus no pudelītes, īpaši pirms miega vai nakts laikā. Šajā gadījumā mazajam pacientam tika veikta 4 piena priekšzobu restaurācija un vēl 6 piena zobu labošana – kopā ārstēti 10 piena zobi. Piena zobi nav “tikai pagaidu zobi”. Tie palīdz bērnam ēst, runāt, pareizi attīstīt sakodienu un saglabā vietu pastāvīgajiem zobiem. Svarīgi atcerēties: tīrīt zobus jau no pirmā zobiņa; neļaut bērnam aizmigt ar pudelīti mutē; izvairīties no biežas saldu dzērienu lietošanas; regulāri vest bērnu pie zobārsta arī tad, ja sūdzību nav. Jo agrāk problēmu pamana, jo saudzīgāka un vienkāršāka var būt ārstēšana. Ārstēšana tika veikta vispārējā anestēzijā. Sanācijas laikā smaganas reizēm var tikt nedaudz traumētas. Tas ir normāli, īpaši, ja vienas vizītes laikā tiek ārstēti vairāki zobi. Parasti smaganas sadzīst dažu dienu laikā, ievērojot ārsta norādījumus par mutes dobuma kopšanu.

    Ārsts: Līga Ancāne

    Piena zobi before Piena zobi after

    Pirms

    Pēc

  • Pilna smaida rekonstrukcija – estētikas un košļāšanas funkcijas atjaunošana viss uz 4 implantiem

    Pacients vērsās klīnikā ar sūdzībām par nozīmīgiem estētiskiem un funkcionāliem defektiem, vēloties atgūt dzīves kvalitāti un pilnvērtīgu košļāšanas funkciju. Lai sasniegtu iecerēto, tika veikta pilna smaida rekonstrukcija. Augšžoklī tika ievietoti četri implanti, radot stabilu pamatu augstas kvalitātes cirkonija protēzei, savukārt apakšžoklī dabisku izskatu nodrošināja estētiski keramikas kroņi. Sešu mēnešu rehabilitācijas periodā implanti veiksmīgi integrējās žokļa kaulā, ļaujot izveidot izturīgu un vizuāli pievilcīgu konstrukciju. Šodien pacients ir atguvis ne tikai pilnvērtīgu sakodienu, bet arī pašpārliecinātību un prieku smaidīt.

    Ārsts: Jevgenijs Kiliarskis

    4 implanti april before 4 implanti april after

    Pirms

    Pēc

  • Pilna smaida rekonstrukcija – estētikas un funkcijas atjaunošana ar viss uz 4 implantiem

    Paciente vērsās mūsu klīnikā ar nopietniem zobu bojājumiem, vairākiem trūkstošiem zobiem un apgrūtinātu košļāšanu. Tas ietekmēja ne tikai smaida estētiku, bet arī ikdienas komfortu un dzīves kvalitāti. Lai atjaunotu gan zobu funkciju, gan smaida izskatu, tika veikta pilna smaida rekonstrukcija. Augšžoklī tika veikta ārstēšana ar viss uz 4 implantiem metodi ar tūlītēju slodzi. Tas ļāva jau operācijas dienā nostiprināt pagaidu fiksētu protēzi, lai paciente varētu atkal smaidīt un justies komfortabli. Apakšžoklī tika ievietoti implanti sānu zobu zonās, nodrošinot stabilu balstu un pareizu slodzes sadalījumu košļāšanas laikā. Pēc četru mēnešu dzīšanas perioda pagaidu konstrukcija tika aizstāta ar pastāvīgu cirkonija protēzi. Lai panāktu harmonisku un estētiski līdzsvarotu rezultātu, apakšžokļa zobiem tika izgatavoti arī venīri. Rezultātā paciente ieguva dabisku, harmonisku smaidu, pilnvērtīgi atjaunotu košļāšanas funkciju un lielāku pārliecību ikdienā. Operācija tika veikta vispārējā anestēzijā mūsu klīnikā Mārupē, nodrošinot maksimālu komfortu un drošību visa ārstēšanas procesa laikā. Lai sasniegtu precīzu un estētiski augstvērtīgu gala rezultātu, ārstēšanā tika iesaistīta arī zobu tehniskā laboratorija Dental Lab. Ja arī jūs saskaraties ar līdzīgām problēmām un apsverat pilnu smaida atjaunošanu, pirmais solis ir konsultācija un diagnostika. Vizītes laikā tiek veikta rūpīga izmeklēšana un izstrādāts individuāls ārstēšanas plāns, skaidri izskaidrojot ārstēšanas gaitu, posmus un paredzamās izmaksas. Katrs gadījums ir atšķirīgs, tāpēc ārstēšana vienmēr tiek pielāgota individuāli, lai nodrošinātu estētiski skaistu, funkcionālu un ilgtermiņā stabilu rezultātu.

    Ārsts: Jevgenijs Kiliarskis

    4 implanti before 4 implanti after

    Pirms

    Pēc

  • Pilna smaida rekonstrukcija – estētikas un funkcijas atjaunošana viss uz 4 implantiem

    Pacients vērsās klīnikā ar sūdzībām par nozīmīgiem estētiskiem un funkcionāliem defektiem, vēloties atgūt dzīves kvalitāti un pilnvērtīgu košļāšanas funkciju. Lai sasniegtu iecerēto, tika veikta pilna smaida rekonstrukcija. Augšžoklī tika ievietoti četri implanti, radot stabilu pamatu augstas kvalitātes cirkonija protēzei, savukārt apakšžoklī dabisku izskatu nodrošināja estētiski keramikas kroņi. Sešu mēnešu rehabilitācijas periodā implanti veiksmīgi integrējās žokļa kaulā, ļaujot izveidot izturīgu un vizuāli pievilcīgu konstrukciju. Šodien pacients ir atguvis ne tikai pilnvērtīgu sakodienu, bet arī pašpārliecinātību un prieku smaidīt.

    Ārsts: Jevgenijs Kiliarskis

    4 implanti 2026 before 4 implanti 2026 after

    Pirms

    Pēc

  • Zobu protezēšana – viss uz 6 implantiem (pagaidu zobu konstrukcija)

    Operācijas laikā pacientam tika ievietoti 6 Straumann implanti, uz kuriem tajā pašā dienā tika fiksēta pagaidu zobu konstrukcija. Tas ļāva nekavējoties atteikties no izņemamās protēzes un atgūt komfortu, funkcionalitāti un estētisku smaidu jau no pirmās dienas. Pēc aptuveni sešiem mēnešiem, kad implanti pilnībā integrēsies kaulā, tiks izgatavota un uzstādīta pastāvīgā konstrukcija, kas nodrošinās augstu izturību, precīzu košļāšanas funkciju un dabisku izskatu ilgtermiņā. Operācija veikta vispārējā anestēzijā, nodrošinot vienmērīgu un komfortablu ārstēšanas procesu.

    Ārsts: Jevgenijs Kiliarskis

    Viss uz 6 before Viss uz 6 after

    Pirms

    Pēc

1 2 3 4 5 6 7 8 9