Ортодонтия брекетами

Красивая улыбка — это так важно в нашем мире и на работе, и в личной жизни! Современное ортодонтическое лечение сможет подарить вам эту улыбку в любом возрасте; позволит сохранить здоровье ваших зубов надолго и предотвратить многие заболевания (последствия неправильного прикуса). Мы сделаем все возможное, чтобы на высоком профессиональном уровне решить Ваши проблемы максимально незаметно для окружающих, быстро и безболезненно.

2000+

Счастливые пациенты в месяц

97%

Удовлетворённость клиентов

60+

Членов команды

25000+

Прекрасные клиенты

До и после

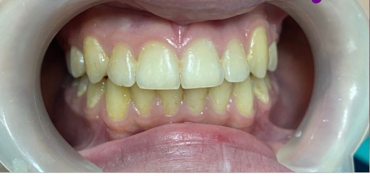
  • Ортодонтическое лечение

    1 год и 7 месяцев ортодонтического лечения брекетами. Результат — ровные зубы, правильный прикус и уверенность в своей улыбке. Ортодонтическое лечение позволяет добиться не только эстетически привлекательного внешнего вида, но и функциональной гармонии, обеспечивая здоровье и стабильность на долгие годы. В Sky Dream Clinic лечение проводится с максимальной точностью, вниманием к деталям и индивидуальным подходом, чтобы каждый пациент мог обрести здоровую, гармоничную и красивую улыбку.

    Отделение ортодонтии Nr.1 before Отделение ортодонтии Nr.1 after

    До

    После

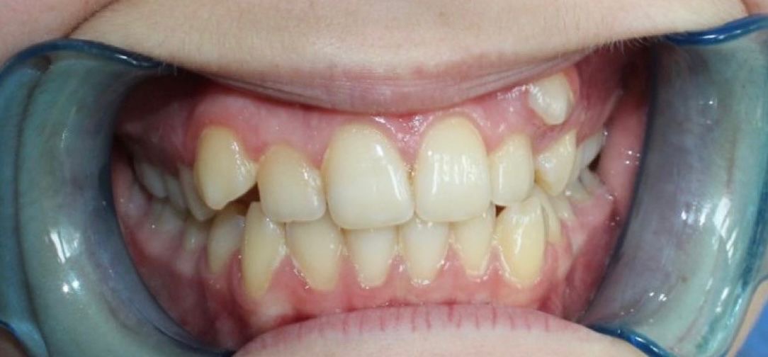
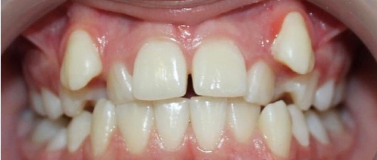
  • Ортодонтическое лечение

    6 месяцев ортодонтического лечения брекетами. Лечение ещё продолжается, но результаты уже заметны — зубы становятся ровнее, а прикус постепенно принимает правильную форму. Каждый этап ортодонтического лечения приближает пациента к здоровой, гармоничной и красивой улыбке. В Sky Dream Clinic ортодонтическое лечение проводится с высокой точностью, вниманием к деталям и индивидуальным подходом, обеспечивая пациенту комфорт и уверенность в результате.

    Отделение ортодонтии Nr.2 before Отделение ортодонтии Nr.2 after

    До

    После

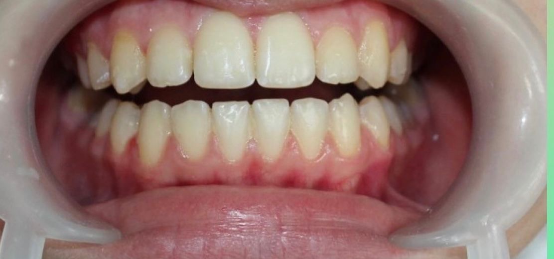
  • Ортодонтическое лечение

    Полтора года ортодонтического лечения брекетами. Улыбка пациента значительно преобразилась — зубы стали ровнее, а прикус гармоничнее. Ортодонтическое лечение помогает достичь не только эстетически привлекательного, но и функционально сбалансированного результата. В клинике Sky Dream Clinic лечение проводится с индивидуальным подходом и с применением современных технологий, что обеспечивает высокую точность и естественную красоту улыбки каждого пациента.

    Отделение ортодонтии Nr.3 before Отделение ортодонтии Nr.3 after

    До

    После

Регистрация на консультацию

Планируете визит к стоматологу, но не знаете, с чего начать? Запишитесь на консультацию перед лечением и получите ответы на все ваши вопросы. Мы поможем вам разобраться в необходимых процедурах и сделаем первый шаг к здоровой улыбке!

Как проходит ортодонтическое лечение в нашей клинике?

01

Первичная консультация

На этом этапе ортодонт проводит осмотр зубов и челюстей, собирает анамнез и обсуждает с пациентом ожидания от лечения. Также могут быть назначены рентгенограммы и фотографии для оценки.

02

Составление плана лечения

Ортодонт разрабатывает индивидуальный план лечения, определяя необходимый тип брекетов, продолжительность лечения и промежуточные шаги.

03

Установка брекетов

В назначенный день ортодонт устанавливает брекеты, которые фиксируются на зубах с помощью специального клея. Также устанавливается проволока, которая будет помогать перемещать зубы в нужное положение.

04

Промежуточные шаги и гигиена

В процессе лечения важно соблюдать регулярную гигиену зубов. Ортодонт или гигиенист рекомендует правильные методы чистки зубов, а также проводит профессиональные чистки для поддержания здоровья зубов и десен.

05

Регулярные посещения

Пациент должен регулярно посещать ортодонта (обычно каждые 4-6 недель) для контроля за процессом лечения и замены проволоки. На этих визитах могут производиться дополнительные корректировки, если это необходимо.

06

Снятие брекетов

По завершении ортодонтического лечения ортодонт снимает брекеты, и зубы очищаются. После этого пациенту устанавливается ретейнер для поддержания результата и предотвращения возврата зубов в исходное положение.

Подходит как взрослым так и детям

Ортодонтия может применяться как для детей, так и для взрослых. Рекомендуется начинать лечение с ортодонтом в возрасте около 7-8 лет, когда у детей начинаются прорезываться постоянные зубы. В этом возрасте ортодонт может выявить потенциальные проблемы с прикусом и развитием челюстей. Брекет-системы можно устанавливать, начиная с 13-14 лет, когда зубочелюстная система уже сформирована. Для взрослых лечение также возможно в любом возрасте. Многие методы, такие как брекеты и капы, могут быть успешно применены, чтобы скорректировать положение зубов и улучшить функциональность прикуса. Главное, чтобы здоровье зубов и десен позволяло провести ортодонтическое лечение, а специалист определит подходящий план в зависимости от индивидуальных потребностей пациента.

Положительные результаты после процедуры

  • Эстетическое улучшение: Брекеты помогают создать ровные зубы и красивую улыбку, что повышает уверенность в себе и улучшает личное восприятие.
  • Функциональность: Правильное выравнивание зубов способствует лучшему прикусу и жеванию, что значительно улучшает пищеварение и общее состояние здоровья.
  • Предотвращение заболеваний: Ровные зубы легче чистить, что снижает риск развития кариеса и заболеваний десен, обеспечивая здоровье полости рта на долгие годы.
  • Улучшение речи: Исправление прикуса может положительно сказаться на речи, устраняя проблемы, такие как шепелявость или другие фонетические затруднения.
  • Стабильные результаты: Современные брекет-системы обеспечивают надежные и долговременные результаты, при правильном соблюдении рекомендаций стоматолога ваши зубы останутся на своем месте после завершения лечения.

Что говорят наши пациенты

Положительные отзывы пациентов подтверждают высокий уровень доверия к нашей работе. Мы очень ценим каждое мнение, так как оно помогает нам постоянно улучшать качество предоставляемых услуг.

Выражаю огромную благодарность гигиенисту Инге за профессиональный и внимательный подход! Инга провела процедуру максимально комфортно, подробно объяснила все этапы и дала ценные рекомендации по уходу за зубами. Я был особенно удивлён — безболезненно, современное оборудование, индивидуальный подход. Теперь буду ходить только к Инге! Если вы хотите качественную профилактику и безупречную чистоту зубов — однозначно рекомендую!

Dmitrijs Malinovskis

Доктор Лига и её команда, а также администратор, очень внимательные, доброжелательные и профессиональные. Спасибо!

Irina Rumjanceva

Ходила на гигиену к Анастасии Евдокимовой — отличный специалист и настоящий профессионал. Такой тщательной и качественной гигиены у меня ещё не было. Очень классная клиника и профессиональные специалисты!

Darja Jansone

Хочу выразить признательность за работу администратора клиники Артура и искреннюю благодарность. В наши дни очень редко встретишь человека, который выполняет свои обязанности с такой ответственностью и вниманием к деталям. Видно, что он делает свою работу не ради формальности, а с настоящей добросовестностью и увлечённостью. Кроме того, благодаря чуткой и профессиональной работе доктора Пастаре, я хотел бы и дальше пользоваться услугами клиники Sky Dream.

Ilja Dmitrijevs

Отличное место с отзывчивым персоналом и квалифицированными врачами. Доктор Елена Пастаре всё объяснила полностью, без лишней информации. Все были очень внимательными и доброжелательными. Мне очень понравился визит — всё было понятно. Спасибо!

Alesja Kalmakova

Сегодня я посещал эту клинику для лечения кариеса. Всё прошло отлично! И отдельная благодарность доктору Анне Петровой. Она была очень вежливая и аккуратная. Настоящий профессионал, и я однозначно могу её рекомендовать. Спасибо!

Antanas Leo

У сына, который очень чувствительный, всё было сделано настолько профессионально и быстро, что мы справились без лишних переживаний. Огромная благодарность доктору Яковлевой и клинике Sky Dream!

Zane Salmane

Огромная благодарность команде SKY DREAM CLINIC за отличную работу и внимательное отношение! Вы настоящие профессионалы, которые делают мир немного добрее и улыбки — красивее! Особая благодарность Dr. Евгению Килиарскому! Золотые руки! Благодарю!

Svetlana Lisone

Сегодня впервые посетила Sky Dream Clinic. Очень удобное расположение и современная, приятная атмосфера. Меня приветливо встретили администраторы, после чего я пошла к врачу. Доктор Арина Шуткина — внимательный и профессиональный специалист. Она составила план лечения и начала первый этап. Вместе с ней работала милая ассистентка Иева. Было приятно находиться в клинике у такого доктора. Рекомендую!

Katerina Perepichai

Большое спасибо девушкам на ресепшене за тёплый приём и гигиенисту Инаре Карповой за аккуратную и тщательную работу. Результат превзошёл ожидания. Благодарю!

Signe Kocina

Очень внимательный и доброжелательный персонал — с первой минуты я почувствовала себя желанной и понятой. Всё объяснили подробно, на каждый вопрос дали чёткий ответ. По моему мнению, отношение к пациенту — это 90 % успеха, и здесь оно безупречно. На приёме я чувствовала спокойствие и уверенность. Спасибо за профессионализм и человечность!

Kristīne Zvejniece

Лучшая клиника в Риге! Рекомендую раз в год проходить Dental Check-Up (полную стоматологическую диагностику) — это позволяет увидеть состояние зубов в 3D-формате и заранее выявить возможные проблемы, чтобы боль не застала врасплох во время поездки или важного события. Мне составили персональный план лечения, и теперь я могу заранее планировать финансы и заботиться о зубах вовремя. Персонал терпеливо ответил на все вопросы и дал индивидуальные рекомендации, как улучшить улыбку щадящим способом. Искренне рекомендую!

Baiba Svjatska

Прекрасно справились с лечением кариеса у моего трёхлетнего ребёнка — без наркоза! Замечательное отношение и к детям, и к родителям. Ребёнок шёл к стоматологу с радостью.

Laura Kalveniece

Новое помещение клиники просторное, светлое, с современной и уютной атмосферой. Рад, что здесь продолжают работать гигиенист Инга и стоматолог Лига — у них всегда внимательное отношение и отличный результат.

Davis Cipans

Клиника премиум-уровня. Всё выполняется аккуратно и с вниманием к деталям, страх и стресс сведены к минимуму. Весь персонал очень доброжелательный и профессиональный.

Oļegs Vavilovs

Отличная клиника и замечательный детский стоматолог! Моему пятилетнему сыну нравится ходить на приём — он не боится. Доктор сумела заинтересовать ребёнка, поэтому страх исчез, остался лишь интерес. Укол делает настолько аккуратно, что ребёнок даже не замечает. Для меня было важно избежать общего наркоза — и у нас это получилось. Очень рекомендую!

Hanna Vauchkova

В клинике царит приятная атмосфера и безупречное обслуживание — от ресепшена до стоматологического кресла и обратно. Отдельное спасибо администратору Екатерине за доброжелательность и внимание. Искренне рекомендую Sky Dream Clinic всем, кто ценит качество и комфорт.

Linda Ansone

Очень внимательное и отзывчивое отношение. У меня заболел зуб, и мне нашли время на приём в тот же день! Доктор компетентная, всё объяснила подробно и понятно.

Kecija Salceviča

Посетил эту клинику для стоматологической диагностики у доктора Марии (если правильно помню), которая приехала из Украины. Она сделала 3D-скан зубов, сфотографировала их и подробно объяснила состояние каждого зуба. Уровень профессионализма и отношение — на высшем уровне! Я очень доволен. Доктор ещё учит латышский язык, но уже хорошо на нём говорит. Спасибо!

Bikerman Intruder

Познакомьтесь с нашей командой

Jevgenijs Kiliarskis

Стоматолог с опытом работы в хирургии, протезировании и имплантологии

  • 15 лет практики
  • Языки: украинский, английский, русский
Больше информации

Dmitrijs Papsujevičs

Главврач, имплантолог, хирург с опытом, член правления

  • 15 лет практики
  • Языки: латышский, английский, русский
Больше информации

F.A.Q.

Продолжительность ношения брекетов обычно составляет от 1 до 3 лет, в зависимости от сложности случая и индивидуальных особенностей пациента.

Установка брекетов не болезненна, но после их установки может быть легкий дискомфорт и давление на зубы, которое проходит через несколько дней.

Во время ношения брекетов стоит избегать жесткой, липкой и твердой пищи, так как она может повредить брекеты или затруднить их чистку.

Рекомендуется чистить зубы как минимум два раза в день с использованием специальной зубной щетки, применять зубную нить для удаления остатков пищи, а также проходить профессиональную гигиену один раз в 3-4 месяца для поддержания здоровья зубов и десен.

Да, перед установкой брекетов и в процессе их ношения важно лечить зубы, если потребуется, обеспечивая здоровье полости рта, а также регулярно посещать ортодонта для контроля за лечением.

Регистрация на консультацию

Планируете визит к стоматологу, но не знаете, с чего начать? Запишитесь на консультацию перед лечением и получите ответы на все ваши вопросы. Мы поможем вам разобраться в необходимых процедурах и сделаем первый шаг к здоровой улыбке!