Имплантация зубов

Зубной имплант — это оптимальный вариант восстановления утраченного зуба, чтобы полностью вернуть его функциональность, не задействовав при этом соседние зубы. Зубной имплантат – это замена корня утраченного зуба. Он изготавливается из особо прочного, легкого и биологически совместимого с костной тканью материала (титана, циркония или сплава титана с цирконием или сплава титана с другими металлами) и внешне напоминает винт. При восстановлении отсутствующего зуба имплантат хирургическим путем устанавливают в костную ткань верхней или нижней челюсти и фиксируют к нему искусственную зубную коронку. Впервые имплантат зуба был установлен человеку в 1967 году. В наши дни во всём мире ежегодно устанавливается свыше 10 миллионов зубных имплантатов.

2000+

Счастливые пациенты в месяц

97%

Удовлетворённость клиентов

60+

Членов команды

25000+

Прекрасные клиенты

Почему необходимо восстанавливать отсутствующие зубы?

  • Восстановление функции жевания: Установка импланта помогает восстановить нормальную жевательную функцию, что позволяет пациенту полноценно питаться и избегать трудностей при пережевывании пищи.
  • Сохранение структуры челюсти: Утрата зуба может привести к потере костной массы в области челюсти. Имплант помогает сохранить костную ткань, предотвращая ее атрофию и поддерживая структуру лица.
  • Коррекция прикуса: Установка импланта предотвращает смещение соседних зубов, что может привести к неправильному прикусу. Это способствует правильному выравниванию зубов и улучшению здоровья всей зубной системы.
  • Эстетика: Импланты выглядят и функционируют как естественные зубы, что помогает восстановить улыбку и уверенность пациента. Это важный аспект в социальной жизни и самооценке.
  • Долговечность: Современные зубные импланты изготавливаются из качественных материалов и могут служить десятилетиями при правильном уходе. Это делает их долгосрочным и надежным решением для замены утраченного зуба.

Видео об имплантации

Имплантация зубов — это современная процедура восстановления утраченных зубов. Она обеспечивает надежную фиксацию и долговечность. Процедура проводится с использованием последних технологий и подходит как для взрослых, так и для пациентов с различными клиническими особенностями.

До и после

  • Установка одного зубного импланта

    Пациенту, у которого отсутствовал один зуб либо существующий зуб больше не подлежал восстановлению, была проведена подробная клиническая диагностика и тщательное планирование лечения. В ходе процедуры в челюсть был установлен титановый имплант, выполняющий роль искусственного корня и обеспечивающий стабильную, долгосрочную опору для последующей реставрации. После полной остеоинтеграции импланта была изготовлена индивидуальная циркониевая коронка, точно соответствующая форме, цвету и анатомии естественного зуба. Такое решение полностью восстанавливает жевательную функцию, эстетику и гармонию улыбки, при этом не затрагивая соседние зубы.

    viens im — 1 before viens im — 1 after

    До

    После

  • Установка одного зубного импланта + зубные виниры для полной эстетики улыбки

    У пациента отсутствовал один зуб, и на основании проведённой клинической диагностики был составлен индивидуальный план лечения. Во время процедуры в челюсть был установлен титановый имплант, выполняющий роль искусственного корня и обеспечивающий стабильную опору для долгосрочной реставрации. После завершения остеоинтеграции была изготовлена индивидуальная циркониевая коронка. Она точно повторяет натуральный цвет, форму и анатомию зуба, восстанавливая жевательную функцию и эстетику улыбки. Соседние зубы при лечении не затрагиваются и остаются неповреждёнными.

    Viens im — 2 before Viens im — 2 after

    До

    После

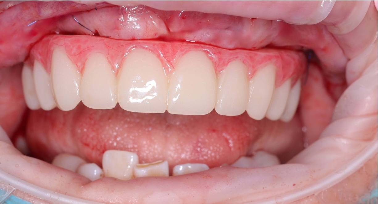
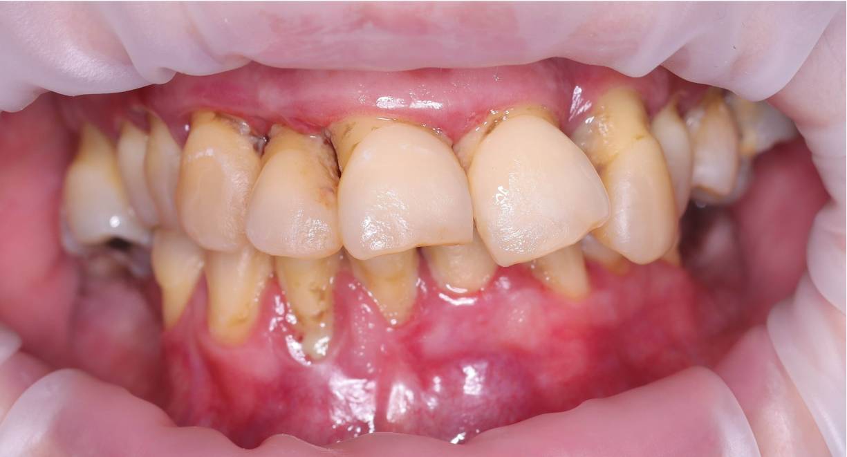
  • Имплантация зубов и восстановление улыбки

    Пациент обратился с желанием восстановить утраченные зубы и улучшить внешний вид улыбки. Была проведена установка трёх имплантов Straumann и изготовление 25 коронок из оксида циркония. Такой подход позволил полностью вернуть жевательную функцию и естественный вид зубного ряда. В результате пациент получил красивую и уверенную улыбку.

    Врач: Dmitrijs Papsujevičs

    Strauman -1 before Strauman -1 after

    До

    После

Регистрация на консультацию

Планируете визит к стоматологу, но не знаете, с чего начать? Запишитесь на консультацию перед лечением и получите ответы на все ваши вопросы. Мы поможем вам разобраться в необходимых процедурах и сделаем первый шаг к здоровой улыбке!

Отличия между имплантацией и зубным мостиком

Метод крепления

Устанавливается на опорные зубы по обеим сторонам отсутствующего зуба, что требует обточки этих зубов.

Долговечность

При правильном уходе может прослужить десятки лет или даже всю жизнь, так как затрагивает основную костную структуру.

Уход

Уход аналогичен уходу за естественными зубами — регулярная чистка и посещения стоматолога.

Влияние на зубы

Не затрагивает соседние зубы и способствует сохранению костной массы челюсти.

Стоимость

Первоначально может быть дороже, но с учетом долговечности и минимальных затрат на уход, она может быть более выгодным решением в долгосрочной перспективе

Метод крепления

Включает установку титанового импланта непосредственно в челюстную кость, что не требует затрагивания соседних зубов.

Долговечность

Обычно имеет срок службы от 5 до 15 лет, в зависимости от ухода и состояния окружающих зубов.

Уход

Требует регулярного ухода, включая специальную чистку для доступа к зоне под мостом, чтобы предотвратить накопление налета и кариеса.

Влияние на зубы

Может негативно влиять на соседние зубы, так как они обтачиваются для установки моста и становятся более уязвимыми к кариесу. Кроме того, под мостиком кость может уходить без нагрузки, что приводит к дальнейшим проблемам с челюстью.

Стоимость

Обычно стоит меньше на первоначальном этапе, но может потребовать замены в будущем, что увеличивает общую стоимость.

Как проходит имплантация в нашей клинике?

01

Первичная консультация

На первом этапе стоматолог проводит осмотр и диагностические исследования, включая рентген или 3D-рентгенографию, чтобы оценить состояние челюсти и определить возможность имплантации.

02

Планирование лечения

После диагностики разрабатывается индивидуальный план лечения, который включает в себя выбор типа импланта, определение места установки и сроков.

03

Подготовка к операции

Врач проводит необходимые процедуры перед установкой импланта, такие как лечение выявленных заболеваний или, в некоторых случаях, наращивание костной ткани для обеспечения устойчивости импланта.

04

Установка имплантата

В день операции осуществляется установка титанового импланта в челюстную кость под местной анестезией, а при необходимости можно использовать общий наркоз для повышения комфорта пациента. Процедура проходит с минимальным дискомфортом.

05

Период заживления

После установки импланта важно соблюдать все рекомендации врача и позволить импланту интегрироваться с костной тканью в течение нескольких месяцев.

06

Протезирование

После завершения процесса заживления зубной имплант восстанавливается с помощью коронки, которая устанавливается на имплант, что позволяет вернуть функциональность и эстетику зуба.

Положительные результаты после процедуры

  • Долговечность: Зубные импланты могут служить десятилетиями или даже всю жизнь при правильном уходе, что делает их надежным долгосрочным решением для замены утраченных зубов.
  • Естественный вид и функция: Импланты выглядят и функционируют как натуральные зубы, позволяя пациентам есть и говорить без неудобств, что значительно улучшает качество жизни.
  • Сохранение костной массы: Установка импланта помогает предотвратить потерю костной ткани в области, где отсутствует зуб, что может произойти при использовании мостов или протезов.
  • Не требует обточки соседних зубов: В отличие от мостов, импланты не требуют обточки соседних зубов, что помогает сохранить их структуру и здоровье.
  • Поддержка общего здоровья: Зубные импланты способствуют улучшению жевательной функции, что может положительно сказаться на пищеварении и общем состоянии здоровья пациента.

Методы обезболивания в нашей клинике

  • Местная анестезия: Обычно используется для имплантации зубов. Стоматолог вводит анестетик в область где будет устанавливаться имплант, чтобы обеспечить отсутствие болевых ощущений во время процедуры.
  • Общая анестезия: Может быть рекомендована в сложных случаях или при одновременной установке нескольких имплантов. Пациент находится в состоянии сна, что значительно снижает уровень стресса и дискомфорта.
  • Седативная анестезия: Используется для пациентов с высокой тревожностью. Седативные препараты помогают расслабить пациента и минимизировать дискомфорт во время процедуры.
  • Комбинированная анестезия: В некоторых случаях может применяться сочетание местной и седативной анестезии для достижения наилучшего результата для комфорта пациента.
  • Веселящий газ: При имплантации также можно использовать закись азота (веселящий газ).

Что говорят наши пациенты

Положительные отзывы пациентов подтверждают высокий уровень доверия к нашей работе. Мы очень ценим каждое мнение, так как оно помогает нам постоянно улучшать качество предоставляемых услуг.

Выражаю огромную благодарность гигиенисту Инге за профессиональный и внимательный подход! Инга провела процедуру максимально комфортно, подробно объяснила все этапы и дала ценные рекомендации по уходу за зубами. Я был особенно удивлён — безболезненно, современное оборудование, индивидуальный подход. Теперь буду ходить только к Инге! Если вы хотите качественную профилактику и безупречную чистоту зубов — однозначно рекомендую!

Dmitrijs Malinovskis

Доктор Лига и её команда, а также администратор, очень внимательные, доброжелательные и профессиональные. Спасибо!

Irina Rumjanceva

Ходила на гигиену к Анастасии Евдокимовой — отличный специалист и настоящий профессионал. Такой тщательной и качественной гигиены у меня ещё не было. Очень классная клиника и профессиональные специалисты!

Darja Jansone

Хочу выразить признательность за работу администратора клиники Артура и искреннюю благодарность. В наши дни очень редко встретишь человека, который выполняет свои обязанности с такой ответственностью и вниманием к деталям. Видно, что он делает свою работу не ради формальности, а с настоящей добросовестностью и увлечённостью. Кроме того, благодаря чуткой и профессиональной работе доктора Пастаре, я хотел бы и дальше пользоваться услугами клиники Sky Dream.

Ilja Dmitrijevs

Отличное место с отзывчивым персоналом и квалифицированными врачами. Доктор Елена Пастаре всё объяснила полностью, без лишней информации. Все были очень внимательными и доброжелательными. Мне очень понравился визит — всё было понятно. Спасибо!

Alesja Kalmakova

Сегодня я посещал эту клинику для лечения кариеса. Всё прошло отлично! И отдельная благодарность доктору Анне Петровой. Она была очень вежливая и аккуратная. Настоящий профессионал, и я однозначно могу её рекомендовать. Спасибо!

Antanas Leo

У сына, который очень чувствительный, всё было сделано настолько профессионально и быстро, что мы справились без лишних переживаний. Огромная благодарность доктору Яковлевой и клинике Sky Dream!

Zane Salmane

Огромная благодарность команде SKY DREAM CLINIC за отличную работу и внимательное отношение! Вы настоящие профессионалы, которые делают мир немного добрее и улыбки — красивее! Особая благодарность Dr. Евгению Килиарскому! Золотые руки! Благодарю!

Svetlana Lisone

Сегодня впервые посетила Sky Dream Clinic. Очень удобное расположение и современная, приятная атмосфера. Меня приветливо встретили администраторы, после чего я пошла к врачу. Доктор Арина Шуткина — внимательный и профессиональный специалист. Она составила план лечения и начала первый этап. Вместе с ней работала милая ассистентка Иева. Было приятно находиться в клинике у такого доктора. Рекомендую!

Katerina Perepichai

Большое спасибо девушкам на ресепшене за тёплый приём и гигиенисту Инаре Карповой за аккуратную и тщательную работу. Результат превзошёл ожидания. Благодарю!

Signe Kocina

Очень внимательный и доброжелательный персонал — с первой минуты я почувствовала себя желанной и понятой. Всё объяснили подробно, на каждый вопрос дали чёткий ответ. По моему мнению, отношение к пациенту — это 90 % успеха, и здесь оно безупречно. На приёме я чувствовала спокойствие и уверенность. Спасибо за профессионализм и человечность!

Kristīne Zvejniece

Лучшая клиника в Риге! Рекомендую раз в год проходить Dental Check-Up (полную стоматологическую диагностику) — это позволяет увидеть состояние зубов в 3D-формате и заранее выявить возможные проблемы, чтобы боль не застала врасплох во время поездки или важного события. Мне составили персональный план лечения, и теперь я могу заранее планировать финансы и заботиться о зубах вовремя. Персонал терпеливо ответил на все вопросы и дал индивидуальные рекомендации, как улучшить улыбку щадящим способом. Искренне рекомендую!

Baiba Svjatska

Прекрасно справились с лечением кариеса у моего трёхлетнего ребёнка — без наркоза! Замечательное отношение и к детям, и к родителям. Ребёнок шёл к стоматологу с радостью.

Laura Kalveniece

Новое помещение клиники просторное, светлое, с современной и уютной атмосферой. Рад, что здесь продолжают работать гигиенист Инга и стоматолог Лига — у них всегда внимательное отношение и отличный результат.

Davis Cipans

Клиника премиум-уровня. Всё выполняется аккуратно и с вниманием к деталям, страх и стресс сведены к минимуму. Весь персонал очень доброжелательный и профессиональный.

Oļegs Vavilovs

Отличная клиника и замечательный детский стоматолог! Моему пятилетнему сыну нравится ходить на приём — он не боится. Доктор сумела заинтересовать ребёнка, поэтому страх исчез, остался лишь интерес. Укол делает настолько аккуратно, что ребёнок даже не замечает. Для меня было важно избежать общего наркоза — и у нас это получилось. Очень рекомендую!

Hanna Vauchkova

В клинике царит приятная атмосфера и безупречное обслуживание — от ресепшена до стоматологического кресла и обратно. Отдельное спасибо администратору Екатерине за доброжелательность и внимание. Искренне рекомендую Sky Dream Clinic всем, кто ценит качество и комфорт.

Linda Ansone

Очень внимательное и отзывчивое отношение. У меня заболел зуб, и мне нашли время на приём в тот же день! Доктор компетентная, всё объяснила подробно и понятно.

Kecija Salceviča

Посетил эту клинику для стоматологической диагностики у доктора Марии (если правильно помню), которая приехала из Украины. Она сделала 3D-скан зубов, сфотографировала их и подробно объяснила состояние каждого зуба. Уровень профессионализма и отношение — на высшем уровне! Я очень доволен. Доктор ещё учит латышский язык, но уже хорошо на нём говорит. Спасибо!

Bikerman Intruder

Наша зуботехническая лаборатория

Наша зуботехническая лаборатория сочетает современные цифровые технологии с высокой профессиональной точностью. Мы создаём решения для протезирования зубов любой сложности — от одиночных реставраций до комплексных эстетических конструкций. CAD/CAM-технологии и цифровое сканирование обеспечивают точное соответствие конструкции анатомии зубов и прикусу пациента, что гарантирует комфорт и надёжную фиксацию.
  • Эстетическое качество: Циркониевая и керамическая реставрация позволяет достичь естественного цвета, формы и текстуры поверхности, полностью соответствующих натуральным зубам.
  • Надёжность конструкции: Современные материалы обеспечивают прочность, стабильность формы и функциональную устойчивость при длительной эксплуатации.
  • Оптимизированный рабочий процесс: Чёткая организация этапов изготовления сокращает сроки выполнения заказов без потери точности и качества.
  • Профессиональное взаимодействие с врачами: Каждый клинический случай выполняется в тесном сотрудничестве со стоматологом, что гарантирует точный и предсказуемый результат.
   

Познакомьтесь с нашей командой

Dmitrijs Papsujevičs

Главврач, имплантолог, хирург с опытом, член правления

  • 15 лет практики
  • Языки: латышский, английский, русский
Больше информации

Jevgenijs Kiliarskis

Стоматолог с опытом работы в хирургии, протезировании и имплантологии

  • 15 лет практики
  • Языки: украинский, английский, русский
Больше информации

F.A.Q.

Обычно установка импланта занимает от 1 до 2 часов в зависимости от сложности случая и видов используемых материалов. Однако общий срок лечения может варьироваться в зависимости от этапов, таких как заживление.

Процедура проводится под местной анестезией, что позволяет снизить болевые ощущения до минимума. Пациенты могут чувствовать легкое давление, но не испытывают боли во время операции.

Врач сначала подготавливает область, делает разрез для доступа к кости и затем помещает имплант в челюсть. После этого накладываются швы, чтобы обеспечить заживление.

Период восстановления может занимать от нескольких недель до нескольких месяцев, в зависимости от того, как быстро имплант интегрируется с костной тканью.

Необходимо следовать рекомендациям врача, избегать жесткой пищи, принимать назначенные медикаменты и соблюдать тщательную гигиену полости рта, чтобы обеспечить успешное заживление.

Регистрация на консультацию

Планируете визит к стоматологу, но не знаете, с чего начать? Запишитесь на консультацию перед лечением и получите ответы на все ваши вопросы. Мы поможем вам разобраться в необходимых процедурах и сделаем первый шаг к здоровой улыбке!