Dental implantation

A dental implant is the best solution for the replacement of a lost tooth in order to restore its functionality completely without affecting the adjacent teeth.

The dental implant replaces the root of a lost tooth. It is made from a particularly durable, light material which is biologically compatible with the osseous tissue (titanium, zirconium or titanium-zirconium alloy or titanium alloy with other metals) and which looks like a screw.

When the missing tooth is being restored, an implant is inserted surgically in the osseous tissue of the upper or lower jaw respectively and an artificial dental crown is fixed on it.

The first dental implant was placed in a human being in 1967. Nowadays every year in the world more than 10 million dental implants are placed.

2000+

Happy smiles per month

97%

Client satisfaction

60+

Team members

25000+

Amazing clients

Why it is necessary to restore the missing teeth?

  • Restoration of the Chewing Function: Installing an implant helps restore a normal chewing function, allowing the patient to eat properly and avoid difficulties when chewing food.
  • Preservation of the Jaw Structure: The loss of a tooth can lead to a decrease in bone mass in the jaw area. An implant helps maintain the bone tissue, preventing atrophy and supporting the structure of the face.
  • Correction of the Bite: Installing an implant prevents the neighbouring teeth from shifting, which can lead to misalignment of the bite. This promotes proper tooth alignment and improves the health of the entire dental system.
  • Aesthetics: Implants look and function like natural teeth, helping restore the smile and the patient’s confidence. This is an important aspect of social life and self-esteem.
  • Durability: Modern dental implants are made from high-quality materials and can last for decades with proper care. This makes them a long-term and reliable solution for replacing a lost tooth.

Video about service

Teeth implantation is a modern procedure for restoring lost teeth. It ensures reliable fixation and durability. The procedure is performed using the latest technology and is suitable for both adults and patients with various clinical features.

Before & After

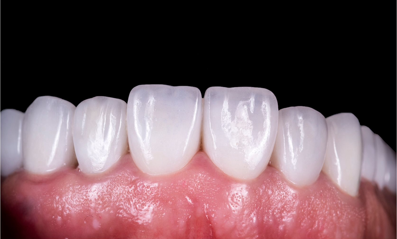
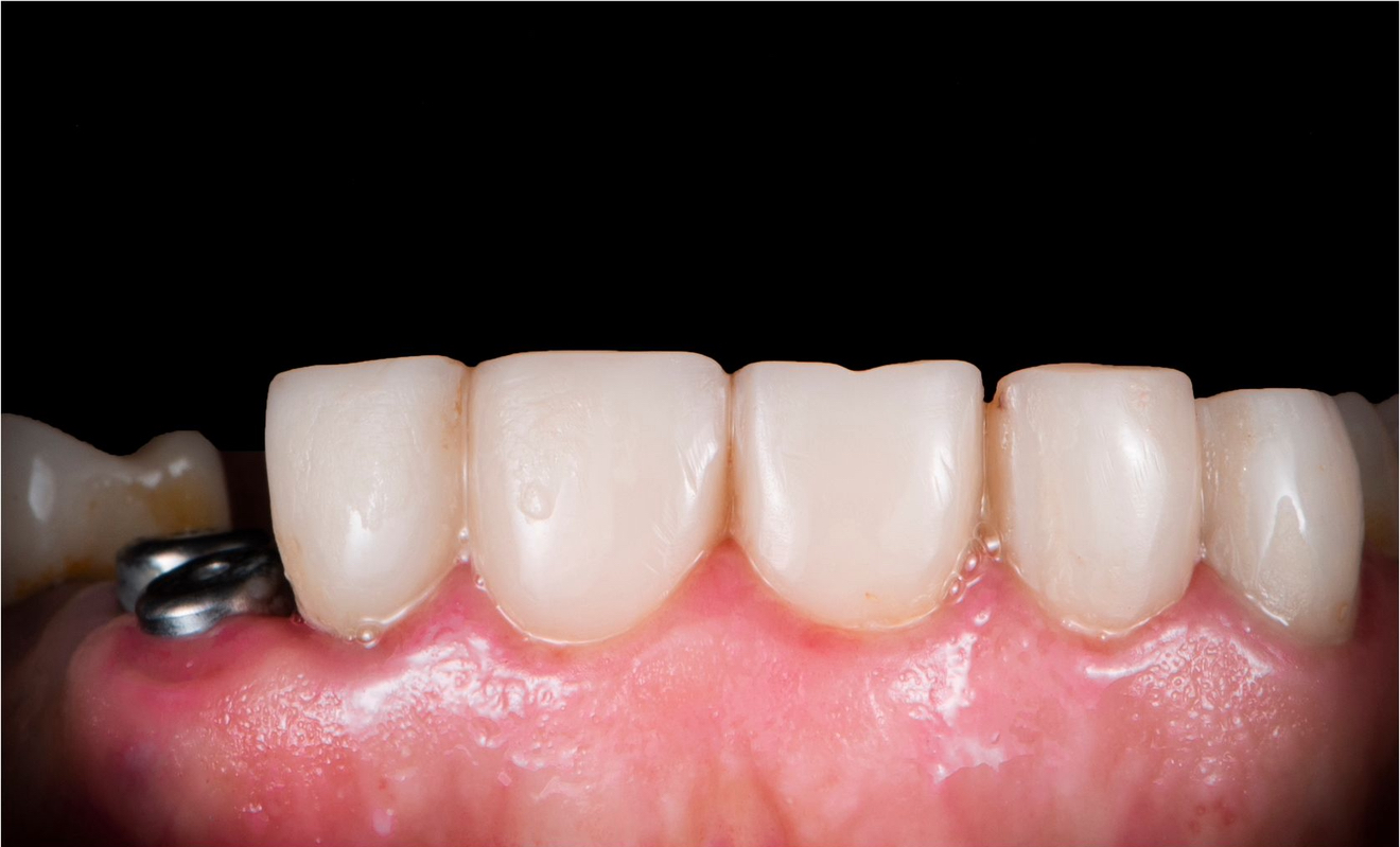
  • Single-Tooth Dental Implant Placement

    A detailed clinical evaluation and treatment planning were performed to restore the missing tooth. During the procedure, a titanium dental implant was placed into the jawbone, functioning as an artificial tooth root and providing a stable, long-term foundation for the future restoration. After the implant had fully integrated with the bone, an individualized zirconia crown was fabricated. The final crown accurately replicates the natural tooth’s shape, color, and anatomy, ensuring a highly aesthetic and functional result. Chewing efficiency, symmetry, and smile harmony were successfully restored without affecting the neighbouring teeth.

    Viens im – 1 before Viens im – 1 after

    Before

    After

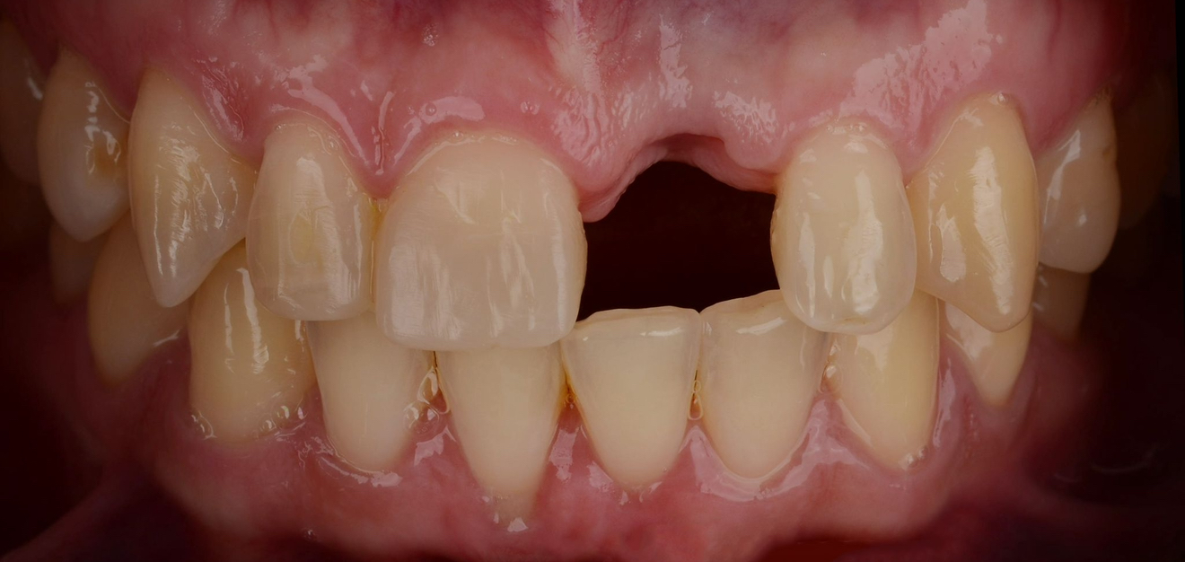
  • Single-Tooth Dental Implant Placement + Dental Veneers for Full Smile Aesthetics

    The patient was missing one tooth, and based on a detailed clinical evaluation, an individualized treatment plan was created. A titanium dental implant was placed into the jawbone, functioning as an artificial tooth root and providing a stable foundation for long-term restoration. After complete osseointegration, a custom-made zirconia crown was fabricated. It accurately replicates the natural tooth’s color, shape, and anatomy, restoring both chewing function and aesthetics. The neighbouring teeth are not affected during the treatment and remain intact. To ensure full smile aesthetics and a harmonious final result, dental veneers were also placed for the patient.

    Viens zob im – 2 before Viens zob im – 2 after

    Before

    After

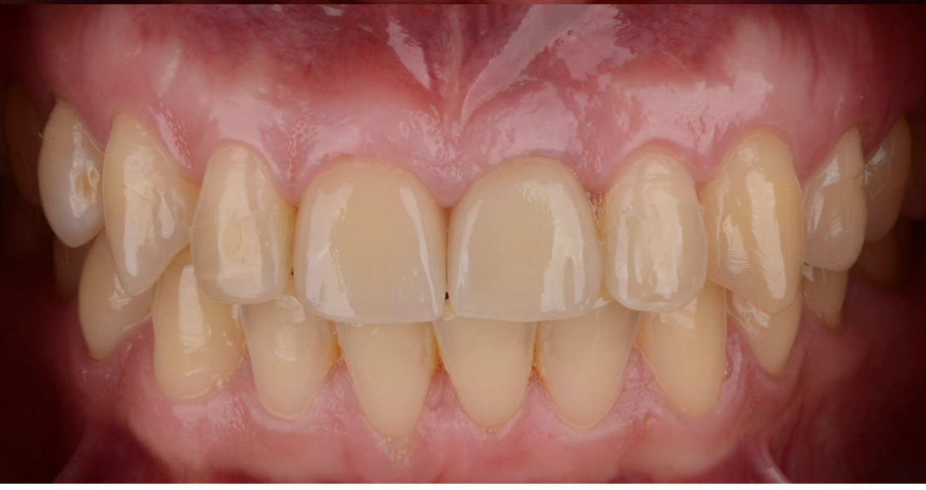
  • Dental Implantation and Aesthetic Restoration

    The patient wished to replace missing teeth and improve the overall appearance of the smile. Treatment included the placement of three Straumann implants and the fabrication of 25 zirconia crowns. This approach restored full chewing function and provided the smile with a natural and aesthetic look. As a result, the patient achieved a stable, natural, and visually attractive smile.

    Doctor: Dmitrijs Papsujevičs

    Strauman -1 before Strauman -1 after

    Before

    After

Sign up for a consultation

Planning a visit to the dentist, but don’t know where to start? Book a consultation before treatment and get answers to all your questions. We will help you understand the necessary procedures and take the first step to a healthy smile!

Difference between dental implantation and dental bridge

Implants provide a secure and long-lasting restoration without affecting adjacent teeth or bone tissue. A bridge is a more affordable and less invasive method that requires preparing neighboring teeth.

Method of Attachment

Involves the placement of a titanium implant directly into the jawbone, which does not require modifying the neighbouring teeth.

Durability

With proper care, an implant can last for decades or even a lifetime, as it engages with the underlying bone structure.

Care

Care is similar to that for the natural teeth — regular brushing and dental check-ups.

Impact on Other Teeth

Does not affect the neighbouring teeth and helps preserve the jawbone mass.

Cost

May be more expensive initially, but considering its longevity and lower maintenance costs, it can be a more economical solution in the long run.

Method of Attachment

A fixed bridge system that is attached to the teeth on either side of the missing tooth, which requires the trimming of these teeth.

Durability

Generally has a lifespan of 5 to 15 years, depending on care and the condition of the surrounding teeth.

Care

Requires regular maintenance, including special cleaning to access the area beneath the bridge in order to prevent plaque buildup and cavities.

Impact on Other Teeth

Can negatively affect the neighbouring teeth, as they are trimmed for the bridge and become more susceptible to decay. Additionally, the bone may recede under the bridge due to the lack of load, leading to further jaw issues.

Cost

Generally costs less initially but may require replacement in the future, increasing overall costs.

How Dental implantation is done in our clinic?

In our clinic, implant placement is performed using modern techniques and minimally invasive methods. The procedure typically takes a few hours, and patients receive detailed instructions for successful recovery.

01

Initial Consultation

In the first stage, the dentist conducts an examination and diagnostic studies, including X-rays or 3D imaging, to assess the condition of the jaw and determine the feasibility of implantation.

02

Treatment Plan Development

After the diagnostics, an individualized treatment plan is developed, which includes selecting the type of implant, determining the placement site, and establishing timelines.

03

Preparation for Surgery

The doctor performs necessary procedures before implant placement, such as treating any identified issues or, in some cases, bone grafting to ensure stability for the implant.

04

Implant Placement

On the day of the procedure, a titanium implant is placed in the jawbone under local anesthesia, and general anesthesia can be used if necessary to enhance patient comfort. The procedure is carried out with minimal discomfort.

05

Healing Period

After the implant is placed, it is important to follow the doctor’s recommendations and allow the implant to integrate with the bone tissue over the course of several months.

06

Prosthetics

Once the healing process is complete, the dental implant is restored with a crown that is placed on the implant, allowing for the restoration of functionality and aesthetics of the tooth.

Positive outcomes after procedure

  • Durability: Dental implants can last for decades or even a lifetime with proper care, making them a reliable long-term solution for replacing the lost teeth.
  • Natural Appearance and Function: Implants look and function like the natural teeth, allowing patients to eat and speak without discomfort, greatly enhancing their quality of life.
  • Preservation of Bone Mass: The placement of an implant helps prevent bone tissue loss in the area where a tooth is missing, which can occur with bridges or dentures.
  • No Need to Grind the Neighbouring Teeth: Unlike bridges, implants do not require the grinding of the neighbouring teeth, helping to preserve their structure and health.
  • Support for Overall Health: Dental implants contribute to improved chewing function, which can positively impact digestion and the overall health of the patient.

Anesthesia

  • Local Anesthesia: This is commonly used for dental implant procedures. The dentist injects an anesthetic into the area around the tooth to ensure there is no pain during the procedure.
  • General Anesthesia: This may be recommended in complex cases or when multiple implants are being placed simultaneously. The patient is in a state of sleep, significantly reducing stress and discomfort.
  • Sedative Anesthesia: This is used for patients with high anxiety. Sedative medications help relax the patient and minimize discomfort during the procedure.
  • Combined Anesthesia: In some cases, a combination of local and sedative anesthesia may be used to achieve optimal patient comfort.
  • Laughing gas or nitric oxide: Some dental clinics may use nitrous oxide (mixed with oxygen) to help relax the patient during the procedure, although this is not commonly used for implant placements.

What our patients say

Positive feedback from patients confirms the high level of trust in our work. We greatly value every opinion, as it helps us continuously improve the quality of our services.

I express my sincere gratitude to hygienist Inga for her professional and attentive approach! Inga carried out the procedure as comfortably as possible, explained each step in detail, and provided valuable advice on dental care. I was especially impressed — painless, modern equipment, and an individual approach. From now on, I will go only to Inga! If you want high-quality preventive care and perfectly clean teeth, I definitely recommend her!

Dmitrijs Malinovskis

Dr. Liga and her team, as well as the administrator, are very caring, kind, and professional. Thank you!

Irina Rumjanceva

I visited Anastasia Jevdokimova for a hygiene procedure — an outstanding specialist and a true professional. I have never had such thorough and high-quality hygiene treatment before. A great clinic with professional specialists!

Darja Jansone

I would like to express my appreciation for the work of the clinic administrator Arturs and extend my sincere gratitude. Nowadays it is very rare to meet someone who performs their duties with such responsibility and attention to detail. It is clear that he does his job not out of formality, but with genuine integrity and dedication. Additionally, thanks to Dr. Pastare’s sensitive and professional work, I would like to continue using the services of Sky Dream Clinic.

Ilja Dmitrijevs

A great place with a responsive staff and qualified doctors. Dr. Jelena Pastare explained everything clearly and completely, without unnecessary information. Everyone was very kind and attentive. I really liked the visit — everything was clear. Thank you!

Alesja Kalmakova

I visited this clinic today for treatment of tooth decay. Everything was great! And special thanks to doctor Anna Petrova. She was very kind and accurate. She is a real professional, and I definitely can recommend her. Thank you!

Antanas Leo

For my son, who is very sensitive, everything was done so professionally and quickly that we got through it without any stress. A huge thank you to Dr. Jakovļeva and Sky Dream Clinic!

Zane Salmane

A huge thank you to the SKY DREAM CLINIC team for their excellent work and attentive attitude! You are true professionals who make the world a little kinder and people’s smiles even more beautiful. Special thanks to Dr. Jevgenijs Kiliarskis! Golden hands! Thank you!

Svetlana Lisone

Today I visited Sky Dream Clinic for the first time. It’s conveniently located and has a modern, welcoming atmosphere. I was greeted by friendly administrators and then met my dentist. Dr Arina Šutkina was kind, professional, and attentive. She created a treatment plan and started the first stage of the work. Her assistant Ieva was also very pleasant to work with. It was a real pleasure to be treated in this clinic by such a good doctor. Highly recommended!

Katerina Perepichai

Many thanks to the reception girls for their warm welcome and to hygienist Ināra Karpova for her precise and careful work. The result is surprisingly good! Thank you!

Signe Kocina

Very kind and caring staff — from the very first moment I felt welcome and understood. Everything was carefully explained, and every question was answered clearly. In my opinion, a positive attitude towards the patient is 90% of a successful result, and here it was absolutely perfect. During the visit I felt no stress — only calmness, confidence, and trust in what was happening. Thank you for such a professional and truly human approach!

Kristīne Zvejniece

The best clinic in Riga! I recommend doing a Dental Check-Up (full dental diagnostics) once a year — you’ll see 3D images of your teeth and be able to identify potential issues early, so toothache doesn’t catch you off guard while travelling or at an important moment. I was given a treatment plan that allows me to plan my finances and fix my teeth on time. The staff patiently answered all my questions and offered personalised advice on how to improve my smile in a gentle and natural way. Truly recommended from the heart!

Baiba Svjatska

They did a fantastic job treating my three-year-old’s cavities — without anaesthesia! A wonderful attitude towards both children and parents. My child went to the dentist with real joy.

Laura Kalveniece

The new clinic premises are spacious, bright, and have a pleasant modern atmosphere. I’m glad that hygienist Inga and dentist Līga continue their work here — I’ve always experienced excellent service and never had any problems.

Davis Cipans

A top-class clinic. Every step and every procedure is carried out with care, reducing fear and stress to a minimum. The whole team is extremely friendly and professional.

Oļegs Vavilovs

An excellent clinic with a wonderful paediatric dentist! My five-year-old child happily goes for treatment and is never afraid. The doctor managed to make him curious rather than scared. The injection is given so gently that the child doesn’t even notice it. It was very important for me to avoid general anaesthesia, and we succeeded. Highly recommended!

Hanna Vauchkova

A very pleasant atmosphere and impeccable service — from the reception desk to the dental chair and back again. I would like to compliment administrator Jekaterina for her exceptionally polite and caring approach. I truly recommend Sky Dream Clinic to everyone.

Linda Ansone

I visited this clinic for a dental diagnostic appointment with Dr Marija (if I remember correctly), who is from Ukraine. She photographed my teeth, performed a 3D scan, and explained everything in detail about each tooth. Her knowledge and attitude were excellent — I’m very satisfied! She’s still learning Latvian, but already speaks it quite well. Thank you!

Bikerman Intruder

Very kind and attentive service. My tooth started hurting, and they found time for me that very same day! The doctor was highly knowledgeable and explained everything clearly and thoroughly.

Kecija Salceviča

Our Dental Laboratory

Our dental laboratory combines advanced digital technologies with exceptional technical precision.We design and manufacture dental restorations for clinical cases of any complexity — from single crowns to comprehensive aesthetic reconstructions. Digital scanning and CAD/CAM fabrication enable restorations that fit precisely to each patient’s dental anatomy and occlusion, ensuring both comfort and functionality.

  • Aesthetic Quality: Zirconia and ceramic materials provide natural translucency, shape and color, achieving seamless visual harmony within the patient’s dentition.
  • Durability and Reliability: High-performance materials and manufacturing methods guarantee mechanical strength and long-term stability of each restoration.
  • Efficient Workflow: A digitally integrated process shortens production time while maintaining consistent accuracy and quality control.
  • Clinical Collaboration: Every case is developed in close cooperation with the treating dentist to ensure optimal clinical adaptation and predictable outcomes.

 

 

Meet our team

Dmitrijs Papsujevičs

Сhief doctor, prosthodontist, implantologist, surgeon with experience, Member of the Board

  • 15 Years of Experience
  • Languages: Latvian, English, Russian
Read more

Jevgenijs Kiliarskis

Dentist with experience in surgery, prosthetics and implantology

  • 15 Years of Experience
  • Languages: Ukrainian, English, Russian
Read more

F.A.Q.

Typically, the placement of the implant takes from 1 to 2 hours, depending on the complexity of the case and the types of materials used. However, the overall treatment duration may vary depending on healing stages.

The procedure is performed under local anesthesia, which minimizes pain sensations. Patients may feel slight pressure but do not experience pain during the operation.

The dentist first prepares the area, makes an incision for access to the bone, and then places the implant in the jawbone. After that, stitches are placed to ensure healing.

The recovery period can vary from a few weeks to several months, depending on how quickly the implant integrates with the bone tissue.

It is essential to follow the doctor’s recommendations, avoid hard foods, take prescribed medications, and maintain thorough oral hygiene to ensure successful healing.

Sign up for a consultation

Planning a visit to the dentist, but don’t know where to start? Book a consultation before treatment and get answers to all your questions. We will help you understand the necessary procedures and take the first step to a healthy smile!