Aesthetic dentistry

Aesthetic dentistry focuses on improving the appearance of the teeth, the gums, and the smile as a whole. It includes various procedures aimed at restoring and creating a beautiful smile. Aesthetic dentistry not only enhances the appearance of the smile but also boosts person’s confidence, contributing to success in social life.

2000+

Happy smiles per month

97%

Client satisfaction

60+

Team members

25000+

Amazing clients

Before & After

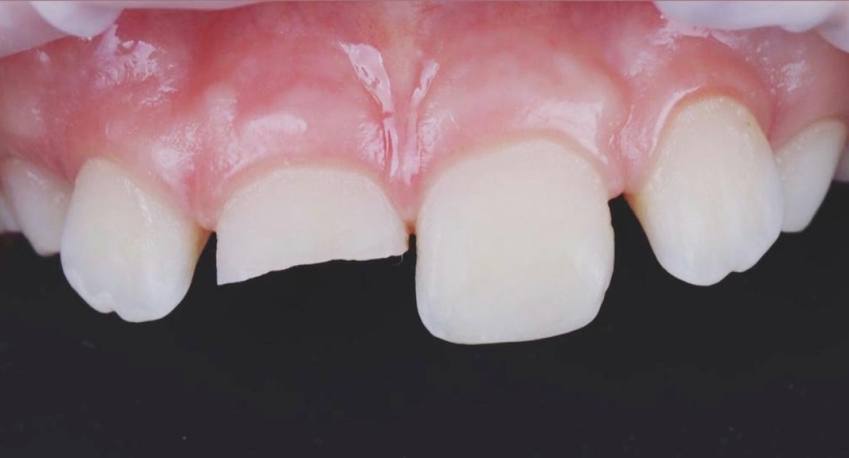
  • Tooth Restoration After Trauma

    Following a dental injury, the patient received aesthetic and functional restoration of the damaged tooth, carefully recreating its natural shape, colour, and proportions. High-quality composite materials were used to achieve a perfect match with the surrounding teeth and a seamless, natural result. The treatment successfully restored both the appearance and function of the tooth, maintaining the natural beauty of the patient’s smile.

    Doctor: Anna Petrova

    Estetika -1 before Estetika -1 after

    Before

    After

  • Full Smile Restoration with Emax Ceramic Crowns and Veneers

    The patient received 4 Emax ceramic crowns and 16 Emax ceramic veneers to fully restore the teeth’s natural shape, colour, and proportions. Each element of the smile was carefully designed to ensure a seamless blend with the patient’s facial features. The final result is a bright, elegant smile that looks natural and radiates confidence.

    Doctor: Dmitrijs Papsujevičs

    Vinirai -4 before Vinirai -4 after

    Before

    After

  • Tooth Restoration and Caries Treatment

    The patient underwent caries treatment and replacement of old fillings, carefully restoring the natural shape, colour, and function of the teeth. High-quality materials were used to achieve a seamless blend with the natural tooth structure and an aesthetically refined appearance. This treatment helps maintain oral health and prevents further tooth decay.

    Doctor: Anna Petrova

    Estetika -2 before Estetika -2 after

    Before

    After

  • Tooth Restoration with Emax Ceramic Crowns and Veneers

    The patient wished to enhance her smile while maintaining a natural aesthetic. Two Emax ceramic crowns and eight Emax ceramic veneers were placed to restore the teeth’s shape, proportions, and colour. The result is a natural and refined smile that perfectly complements the patient’s facial features.

    Doctor: Dmitrijs Papsujevičs

    Vinirai -3 before Vinirai -3 after

    Before

    After

  • Smile Restoration with Emax Ceramic Veneers and Bite Correction

    The patient was dissatisfied with the appearance of her teeth and showed signs of tooth wear. During the treatment, 28 Emax ceramic veneers were placed to restore the natural shape, colour, and proportions of the teeth. At the same time, the bite was corrected, improving both functionality and aesthetics. The photo was taken four years after the treatment, demonstrating a stable and long-lasting result.

    Doctor: Dmitrijs Papsujevičs

    Vinirai -2 before Vinirai -2 after

    Before

    After

  • Tooth Restoration with Emax Ceramic Crowns and Veneers

    The patient presented with tooth wear and a reduced bite, which affected both function and smile aesthetics. A comprehensive restoration was carried out using 5 Emax ceramic crowns and 17 Emax ceramic veneers, restoring proper tooth height, shape, and proportions. The treatment re-established functional balance and gave the patient a natural, refreshed smile.

    Doctor: Dmitrijs Papsujevičs

    Vinirai -7 before Vinirai -7 after

    Before

    After

  • Tooth Restoration with a Straumann Implant and an Emax Ceramic Crown

    One front tooth was replaced with a Straumann implant and an Emax ceramic crown. The remaining three teeth were restored with Emax ceramic veneers, creating a uniform shape, colour, and natural smile line. The ceramic restorations were made in shade A2, perfectly matching the patient’s natural tooth colour. As a result, the smile became natural, even, and aesthetically refined.

    Doctor: Dmitrijs Papsujevičs

    Vinirai -8 before Vinirai -8 after

    Before

    After

  • Tooth Restoration with 4 Emax Ceramic Veneers

    The patient received 4 Emax ceramic veneers to restore the shape, colour, and alignment of the teeth. The restoration enhanced the aesthetics of the front teeth, giving the smile a natural and refined look. Emax veneers ensure excellent precision, durability, and a perfect colour match with the natural teeth. As a result, the smile became brighter, more even, and visually appealing.

    Doctor: Dmitrijs Papsujevičs

    Vinirai -9 before Vinirai -9 after

    Before

    After

  • Dental Implantation and Aesthetic Restoration

    The patient wished to replace missing teeth and improve the overall appearance of the smile. Treatment included the placement of three Straumann implants and the fabrication of 25 zirconia crowns. This approach restored full chewing function and provided the smile with a natural and aesthetic look. As a result, the patient achieved a stable, natural, and visually attractive smile.

    Doctor: Dmitrijs Papsujevičs

    Strauman -1 before Strauman -1 after

    Before

    After

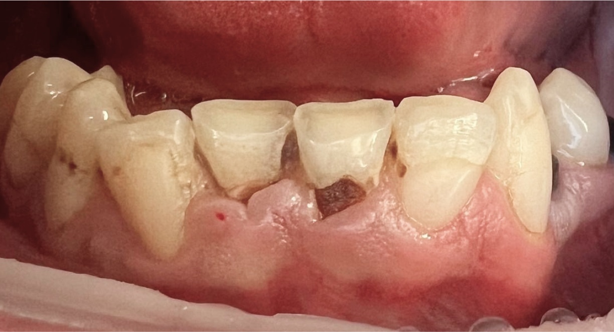
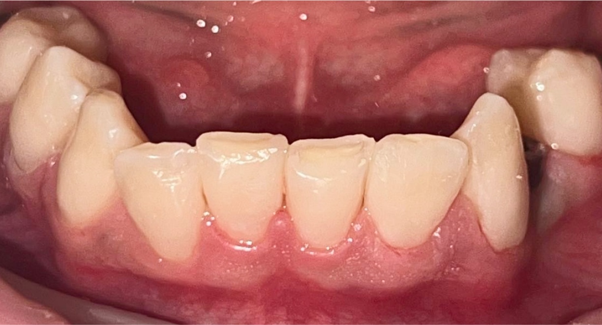
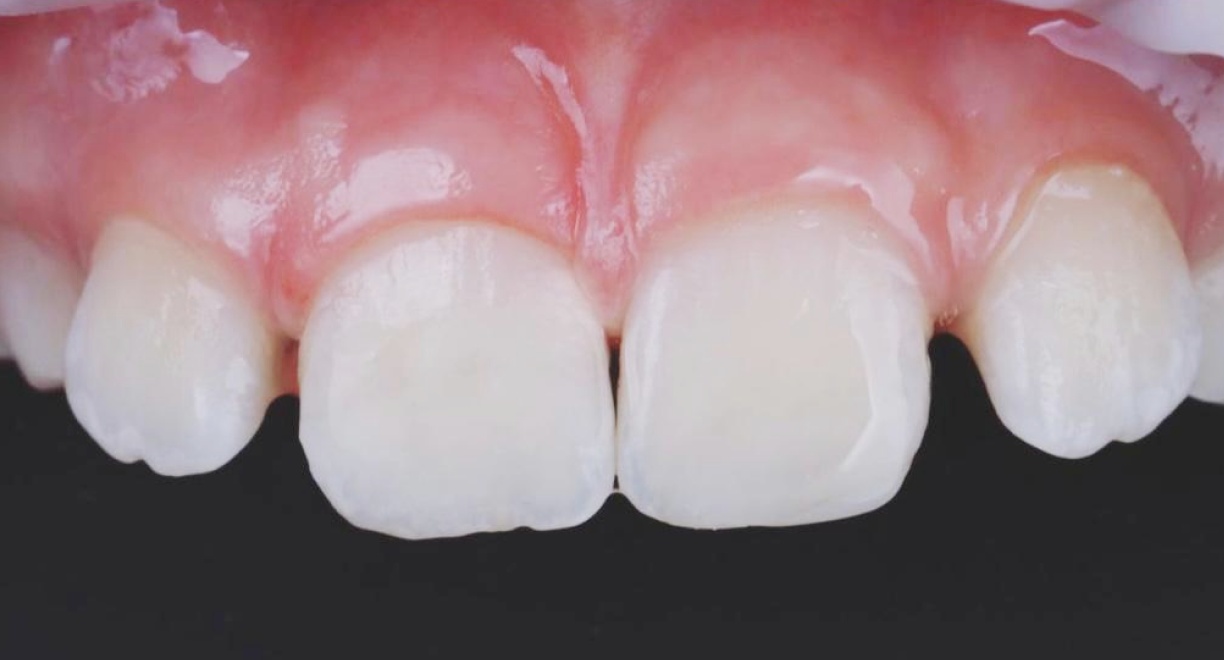
  • Single-Tooth Dental Implant Placement

    A detailed clinical evaluation and treatment planning were performed to restore the missing tooth. During the procedure, a titanium dental implant was placed into the jawbone, functioning as an artificial tooth root and providing a stable, long-term foundation for the future restoration. After the implant had fully integrated with the bone, an individualized zirconia crown was fabricated. The final crown accurately replicates the natural tooth’s shape, color, and anatomy, ensuring a highly aesthetic and functional result. Chewing efficiency, symmetry, and smile harmony were successfully restored without affecting the neighbouring teeth.

    Viens im – 1 before Viens im – 1 after

    Before

    After

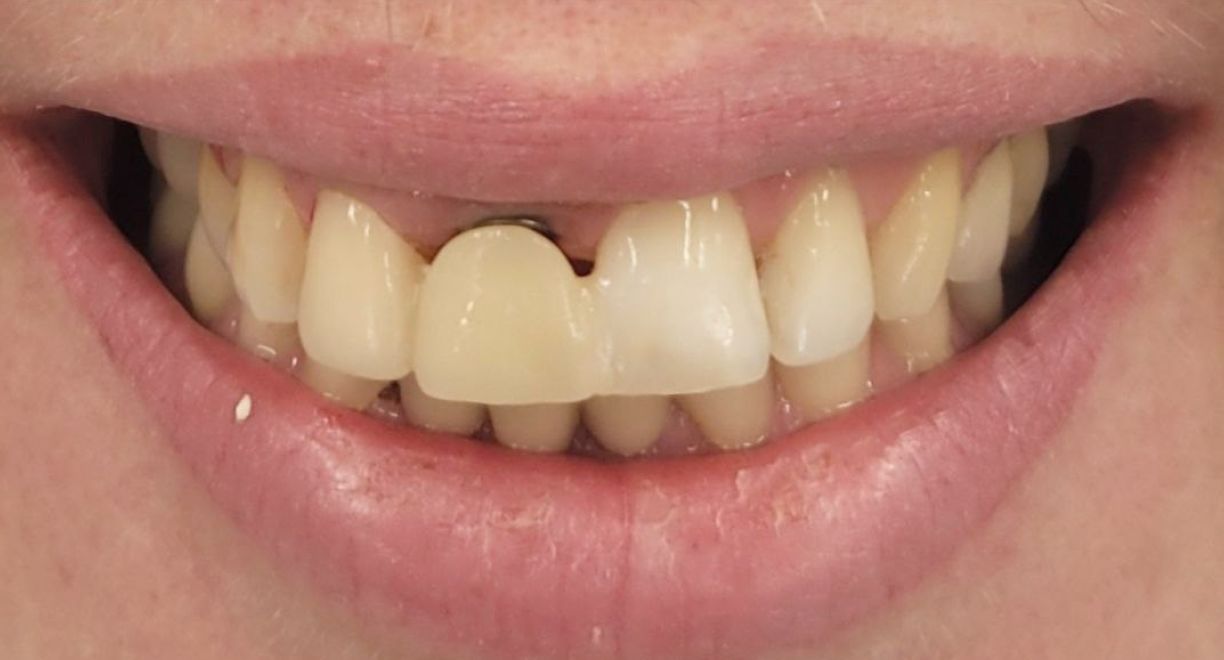
  • Single-Tooth Dental Implant Placement + Dental Veneers for Full Smile Aesthetics

    The patient was missing one tooth, and based on a detailed clinical evaluation, an individualized treatment plan was created. A titanium dental implant was placed into the jawbone, functioning as an artificial tooth root and providing a stable foundation for long-term restoration. After complete osseointegration, a custom-made zirconia crown was fabricated. It accurately replicates the natural tooth’s color, shape, and anatomy, restoring both chewing function and aesthetics. The neighbouring teeth are not affected during the treatment and remain intact. To ensure full smile aesthetics and a harmonious final result, dental veneers were also placed for the patient.

    Viens zob im – 2 before Viens zob im – 2 after

    Before

    After

  • Tooth Restoration with 9 Emax Ceramic Veneers

    The patient received 9 Emax ceramic veneers to restore the shape, colour, and aesthetics of the smile. The restoration helped to even out the tooth line and create a natural, well-groomed appearance. Emax veneers are known for their precision, durability, and natural colour match with the surrounding teeth. As a result, the smile became brighter, more even, and visually appealing.

    Doctor: Dmitrijs Papsujevičs

    Vinirai -10 before Vinirai -10 after

    Before

    After

  • Tooth Restoration with 10 Emax Ceramic Veneers

    The patient received 10 Emax ceramic veneers to restore the shape, colour, and symmetry of the teeth. The treatment achieved a natural and aesthetic result that complements the patient’s facial features. Emax veneers are known for their exceptional precision, durability, and perfect colour match with natural teeth. As a result, the smile became brighter, more even, and visually appealing.

    Doctor: Dmitrijs Papsujevičs

    Vinirai -11 before Vinirai -11 after

    Before

    After

  • Tooth Restoration with a Ceramic Crown and Veneer

    The patient underwent treatment involving the placement of one ceramic crown and one ceramic veneer to restore the tooth’s shape and enhance the smile’s appearance. The procedure ensured a seamless colour match and a naturally even smile line. As a result, the patient achieved a refined, natural-looking, and confident smile.

    Doctor: Dmitrijs Papsujevičs

    Vinirai -12 before Vinirai -12 after

    Before

    After

  • Tooth Restoration with Ceramic Crowns and Veneers

    The patient received two ceramic crowns and two Emax veneers to restore the shape, colour, and symmetry of the teeth. High-quality materials were used to ensure precision, durability, and a natural appearance. As a result, the smile gained a natural and aesthetically appealing look.

    Doctor: Dmitrijs Papsujevičs

    Vinirai -13 before Vinirai -13 after

    Before

    After

  • Full Smile Restoration with a Straumann Implant and Emax Ceramic Crowns and Veneers

    The patient received one Straumann implant, on which a zirconium oxide crown (Zircad) was fixed. Additionally, four Emax ceramic crowns and twenty-two Emax ceramic veneers were placed to fully restore the teeth’s shape, function, and aesthetics. The result is a natural-looking smile with balanced proportions and exceptional comfort in daily life.

    Doctor: Dmitrijs Papsujevičs

    Vinirai -5 before Vinirai -5 after

    Before

    After

  • Full Smile Restoration with Ceramic Veneers and Crowns

    The patient underwent a complete smile restoration involving the placement of 22 ceramic veneers and 2 ceramic crowns. The goal of the treatment was to restore proper tooth shape, proportions, and colour while improving both function and smile aesthetics. Each veneer and crown was custom-made to match the patient’s natural tooth shade and contours, ensuring a seamless and durable result. The treatment restored the patient’s smile to a natural, balanced, and aesthetically refined appearance.

    Doctor: Dmitrijs Papsujevičs

    Vinirai -6 before Vinirai -6 after

    Before

    After

  • Tooth Restoration with Zirconia Crowns

    The patient received six zirconium oxide crowns to restore the teeth’s shape, function, and aesthetics. Zirconia is a durable and biocompatible material that provides a natural appearance and high precision. The treatment was carried out with an individual approach, achieving an aesthetically balanced and natural smile.

    Doctor: Dmitrijs Papsujevičs

    Cirkonis -1 before Cirkonis -1 after

    Before

    After

Sign up for a consultation

Planning a visit to the dentist, but don’t know where to start? Book a consultation before treatment and get answers to all your questions. We will help you understand the necessary procedures and take the first step to a healthy smile!

Methods of aesthetic tooth restoration

Methods of aesthetic dental restoration aim to rebuild the shape, color, and proportions of teeth to enhance the smile and overall appearance.

Pros

MINIMAL INTERVENTION: In composite tooth restoration, the dentist can work on the tooth with minimal preparation. Often, no trimming is required at all, preserving most of the natural tooth structure.

QUICK PROCEDURE: Composite restoration can be completed in one visit to the dentist, usually within 30-60 minutes for one tooth. This is convenient for patients who do not want to spend time on multiple visits.

AFFORDABILITY: Compared to ceramic veneers, composite materials are generally more affordable, making them an optimal choice for patients on a tight budget.

REPAIRABILITY: In case of mechanical damage or wear, composite restoration can easily be repaired by adding a new material or covering damaged areas without the need for a complete replacement.

COLOUR MATCHING: The dentist can select a composite material that closely matches the color of the patient’s natural teeth, ensuring high aesthetics and harmony in the smile. For any restoration, it is recommended to wear night guards to protect against grinding and reduce the load on the restored areas.

Cons

IRREVERSIBILITY: The installation of veneers requires significant shaping of the tooth, making the process irreversible. After installation, the teeth cannot return to their original state.

DURATION OF THE PROCEDURE: The installation of veneers usually requires several visits: the first for diagnostics and shaping of the teeth, the second for the installation, and possibly the third – for checking and correction.

COST: Ceramic veneers can be one of the most expensive dental procedures, which can be financially challenging for some patients.

VULNERABILITY TO DAMAGE: Veneers can chip or crack under heavy biting or impact, so patients need to be careful with hard foods and habits, such as teeth grinding.

REQUIRE CAREFUL HANDLING: Despite their strength, veneers require careful handling. It is important to avoid habits that could damage them, such as opening packages with the teeth or using teeth as tools. Additionally, it is important to monitor the condition of the teeth and visit the dentist regularly for prevention.

Pros

EXCELLENT AESTHETICS: Ceramic veneers possess natural optical properties, allowing them to look very close to the real teeth. They provide an opportunity to achieve perfect whiteness and shape of the teeth.

STAIN RESISTANCE: Ceramics are not susceptible to staining from food or drinks, which helps maintain brightness and appearance over a long period.

HIGH STRENGTH: Ceramics are much stronger than composite materials, making veneers more resistant to mechanical damage and wear.

DURABILITY: Ceramic veneers can last from 10 to 15 years (or even longer) if properly cared for, making them a worthwhile investment for many patients.

CORRECTION OF SHAPE AND SIZE: Veneers can be used to correct the shape and size of the teeth, allowing defects such as gaps, curvature, or incorrect shape to be concealed. It is also important to wear night guards to provide additional protection and reduce the load on veneers.

Cons

WEAR: Composite materials are less durable compared to ceramic veneers. They can wear down or get damaged more quickly when chewing hard foods, which may require re-restoration.

COLOR STABILITY: Over time, composites may stain from various products (coffee, tea, red wine) and can lose their shine, which diminishes aesthetics.

LESS AESTHETIC: While modern composites are quite good, they may not always reach the aesthetic level of ceramic veneers, especially in cases of significant restorations.

SENSITIVITY: After the procedure, some patients may experience temporary sensitivity to hot and cold, which can be uncomfortable at the early stages.

MAINTENANCE: Composite restorations require regular monitoring and care, as they may lose their properties over time, necessitating replacement or improvements.

How Aesthetic dentistry is done in our clinic?

These steps help ensure a high-quality and effective aesthetic tooth restoration in your clinic, creating a harmonious and attractive smile for each patient.

01

Diagnostics and 3D Modeling

The first step involves a comprehensive examination of the patient’s teeth and oral cavity. Using modern 3D scanning technology, the dentist creates a digital model of the teeth, allowing for an assessment of the current condition and the development of an individualized treatment plan.

02

Consultation and Planning

Based on the obtained data, the patient receives a consultation during which the possible options for aesthetic restoration are discussed. The dentist explains which methods can be used (composite restoration, ceramic veneers, etc.) and helps choose the best option.

03

Preparation of the Teeth

Depending on the chosen method, the dentist performs preparation of the teeth. If veneers are being placed, significant trimming of the teeth may be required, while composite restoration may involve minimal intervention and trimming.

04

Creation of Night Guard

In the final step, to protect the restored teeth from possible grinding and to reduce stress, a night guard is made for the patient. This helps preserve the treatment results and prevent potential damage.

Our Dental Laboratory

Our dental laboratory combines advanced digital technologies with exceptional technical precision.We design and manufacture dental restorations for clinical cases of any complexity — from single crowns to comprehensive aesthetic reconstructions. Digital scanning and CAD/CAM fabrication enable restorations that fit precisely to each patient’s dental anatomy and occlusion, ensuring both comfort and functionality.

  • Aesthetic Quality: Zirconia and ceramic materials provide natural translucency, shape and color, achieving seamless visual harmony within the patient’s dentition.
  • Durability and Reliability: High-performance materials and manufacturing methods guarantee mechanical strength and long-term stability of each restoration.
  • Efficient Workflow: A digitally integrated process shortens production time while maintaining consistent accuracy and quality control.
  • Clinical Collaboration: Every case is developed in close cooperation with the treating dentist to ensure optimal clinical adaptation and predictable outcomes.

What our patients say

Positive feedback from patients confirms the high level of trust in our work. We greatly value every opinion, as it helps us continuously improve the quality of our services.

I express my sincere gratitude to hygienist Inga for her professional and attentive approach! Inga carried out the procedure as comfortably as possible, explained each step in detail, and provided valuable advice on dental care. I was especially impressed — painless, modern equipment, and an individual approach. From now on, I will go only to Inga! If you want high-quality preventive care and perfectly clean teeth, I definitely recommend her!

Dmitrijs Malinovskis

Dr. Liga and her team, as well as the administrator, are very caring, kind, and professional. Thank you!

Irina Rumjanceva

I visited Anastasia Jevdokimova for a hygiene procedure — an outstanding specialist and a true professional. I have never had such thorough and high-quality hygiene treatment before. A great clinic with professional specialists!

Darja Jansone

I would like to express my appreciation for the work of the clinic administrator Arturs and extend my sincere gratitude. Nowadays it is very rare to meet someone who performs their duties with such responsibility and attention to detail. It is clear that he does his job not out of formality, but with genuine integrity and dedication. Additionally, thanks to Dr. Pastare’s sensitive and professional work, I would like to continue using the services of Sky Dream Clinic.

Ilja Dmitrijevs

A great place with a responsive staff and qualified doctors. Dr. Jelena Pastare explained everything clearly and completely, without unnecessary information. Everyone was very kind and attentive. I really liked the visit — everything was clear. Thank you!

Alesja Kalmakova

I visited this clinic today for treatment of tooth decay. Everything was great! And special thanks to doctor Anna Petrova. She was very kind and accurate. She is a real professional, and I definitely can recommend her. Thank you!

Antanas Leo

For my son, who is very sensitive, everything was done so professionally and quickly that we got through it without any stress. A huge thank you to Dr. Jakovļeva and Sky Dream Clinic!

Zane Salmane

A huge thank you to the SKY DREAM CLINIC team for their excellent work and attentive attitude! You are true professionals who make the world a little kinder and people’s smiles even more beautiful. Special thanks to Dr. Jevgenijs Kiliarskis! Golden hands! Thank you!

Svetlana Lisone

Today I visited Sky Dream Clinic for the first time. It’s conveniently located and has a modern, welcoming atmosphere. I was greeted by friendly administrators and then met my dentist. Dr Arina Šutkina was kind, professional, and attentive. She created a treatment plan and started the first stage of the work. Her assistant Ieva was also very pleasant to work with. It was a real pleasure to be treated in this clinic by such a good doctor. Highly recommended!

Katerina Perepichai

Many thanks to the reception girls for their warm welcome and to hygienist Ināra Karpova for her precise and careful work. The result is surprisingly good! Thank you!

Signe Kocina

Very kind and caring staff — from the very first moment I felt welcome and understood. Everything was carefully explained, and every question was answered clearly. In my opinion, a positive attitude towards the patient is 90% of a successful result, and here it was absolutely perfect. During the visit I felt no stress — only calmness, confidence, and trust in what was happening. Thank you for such a professional and truly human approach!

Kristīne Zvejniece

The best clinic in Riga! I recommend doing a Dental Check-Up (full dental diagnostics) once a year — you’ll see 3D images of your teeth and be able to identify potential issues early, so toothache doesn’t catch you off guard while travelling or at an important moment. I was given a treatment plan that allows me to plan my finances and fix my teeth on time. The staff patiently answered all my questions and offered personalised advice on how to improve my smile in a gentle and natural way. Truly recommended from the heart!

Baiba Svjatska

They did a fantastic job treating my three-year-old’s cavities — without anaesthesia! A wonderful attitude towards both children and parents. My child went to the dentist with real joy.

Laura Kalveniece

The new clinic premises are spacious, bright, and have a pleasant modern atmosphere. I’m glad that hygienist Inga and dentist Līga continue their work here — I’ve always experienced excellent service and never had any problems.

Davis Cipans

A top-class clinic. Every step and every procedure is carried out with care, reducing fear and stress to a minimum. The whole team is extremely friendly and professional.

Oļegs Vavilovs

An excellent clinic with a wonderful paediatric dentist! My five-year-old child happily goes for treatment and is never afraid. The doctor managed to make him curious rather than scared. The injection is given so gently that the child doesn’t even notice it. It was very important for me to avoid general anaesthesia, and we succeeded. Highly recommended!

Hanna Vauchkova

A very pleasant atmosphere and impeccable service — from the reception desk to the dental chair and back again. I would like to compliment administrator Jekaterina for her exceptionally polite and caring approach. I truly recommend Sky Dream Clinic to everyone.

Linda Ansone

I visited this clinic for a dental diagnostic appointment with Dr Marija (if I remember correctly), who is from Ukraine. She photographed my teeth, performed a 3D scan, and explained everything in detail about each tooth. Her knowledge and attitude were excellent — I’m very satisfied! She’s still learning Latvian, but already speaks it quite well. Thank you!

Bikerman Intruder

Very kind and attentive service. My tooth started hurting, and they found time for me that very same day! The doctor was highly knowledgeable and explained everything clearly and thoroughly.

Kecija Salceviča

Meet our team

Dmitrijs Papsujevičs

Сhief doctor, prosthodontist, implantologist, surgeon with experience, Member of the Board

  • 15 Years of Experience
  • Languages: Latvian, English, Russian
Read more

Jevgenijs Kiliarskis

Dentist with experience in surgery, prosthetics and implantology

  • 15 Years of Experience
  • Languages: Ukrainian, English, Russian
Read more

F.A.Q.

The choice depends on your needs and circumstances. Composite restoration is often less expensive and requires less intervention, while ceramic veneers offer excellent aesthetics and durability.

Yes, modern materials and technologies allow for a high degree of natural appearance in the teeth. Well-executed aesthetic restorations can make the teeth virtually indistinguishable from natural ones.

Yes, many aesthetic restoration methods can restore even severely damaged teeth. The dentist will assess the condition of the tooth and offer the best treatment option.

Aesthetic restoration can vary in longevity depending on the chosen method: ceramic veneers can last 10-15 years, while composite restorations may last 5-10 years. Proper care and the use of protective night guards can extend the lifespan of the restored teeth.

Aesthetic tooth restoration can significantly boost patient’s self-confidence by enhancing the appearance of their smile. Many patients report an increase in self-esteem and an improved quality of life after restoring their teeth.

Sign up for a consultation

Planning a visit to the dentist, but don’t know where to start? Book a consultation before treatment and get answers to all your questions. We will help you understand the necessary procedures and take the first step to a healthy smile!