Zobu totālā protezēšana “Viss uz 4/6”

Visi zobi uz 4/6 implantiem ir mūsdienīgs risinājums, kas ļauj atjaunot visu zobu rindu, balstot to uz četriem vai sešiem implantiem. Šīs metodes koncepcija piedāvā efektīvu un finansiāli pārdomātu iespēju salīdzinoši īsā laikā atjaunot pilnu zobu loku ar implantu palīdzību, atgriežot gan pilnvērtīgu košļāšanas funkciju, gan estētiski harmonisku smaidu. Mūsu klīnikā katru mēnesi tiek veiktas vismaz 5 pilna zobu loka atjaunošanas operācijas ar “Viss uz 4/6” implantu metodi, kas apliecina mūsu komandas ievērojamo pieredzi un augsto profesionalitāti. Izcilu ķirurgu darbs, precīza diagnostika un mūsdienīgas tehnoloģijas ļauj nodrošināt drošu ārstēšanas procesu un augstvērtīgu rezultātu, apvienojot funkcionalitāti, estētiku un ilgtermiņa stabilitāti.

2000+

Laimīgi smaidi mēnesī

97%

Klientu apmierinātība

60+

Mūsu komanda

25000+

Laimīgi klienti

Video par procedūru

Kad un kāpēc šī procedūra ir nepieciešama?

Atšķirība starp metodēm “Viss uz 4” un “Viss uz 6”

Galvenā atšķirība starp šiem risinājumiem ir atjaunotās zobu rindas garums un balsta punktu skaits:

  • “Viss uz 4” (4 implanti) balsta 12 zobu rindu.

  • “Viss uz 6” (6 implanti) ļauj atjaunot garāku — 14 zobu rindu, nodrošinot vienmērīgāku slodzes sadalījumu un lielāku konstrukcijas stabilitāti.

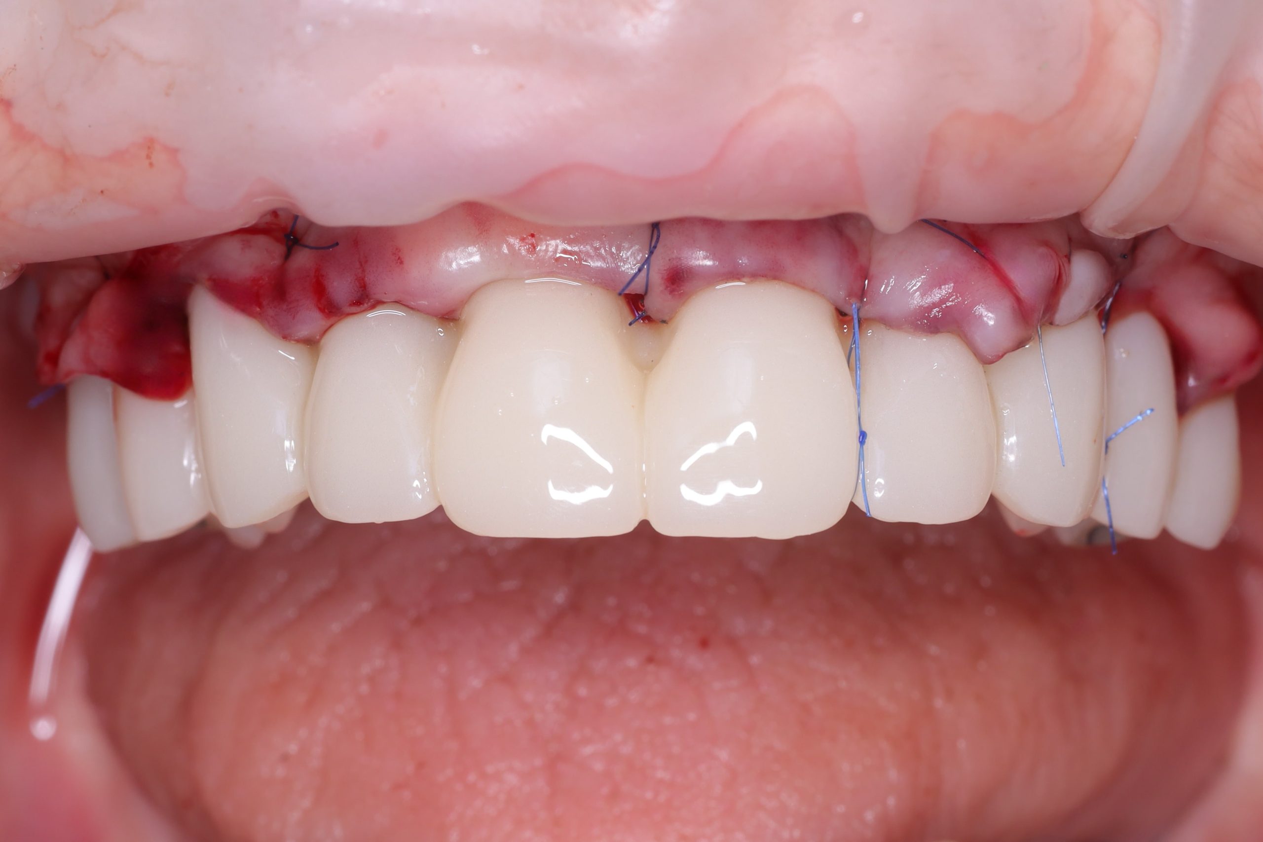
Kā notiek procedūra? Implanti žoklī tiek ievietoti sekojoši: divi priekšpusē – vertikāli, bet sānu daļās divi vai četri – leņķī (atkarībā no izvēlētās metodes). Procedūra tiek veikta, izmantojot ķirurģisko navigācijas šablonu, kas garantē augstu precizitāti implantu pozicionēšanā un optimālu ievietošanas leņķi.

Šī pieeja ļauj veikt tūlītēju noslogošanu — implanti tiek ievietoti, un jau tajā pašā dienā tiek fiksēta pagaidu protēze. Tādējādi pacients nekavējoties atgūst gan estētisku smaidu, gan košļāšanas funkciju.

Priekšrocības:

  • Tūlītēja noslogošana: pagaidu protēze tiek uzstādīta operācijas dienā.

  • Augsta precizitāte: tiek izmantots digitālais navigācijas šablons.

  • Estētika un funkcija: pilnvērtīgs rezultāts bez ilgas gaidīšanas.

  • Laika ietaupījums: nav nepieciešama ilgstoša ārstēšana.

  • Drošība: samazināts komplikāciju risks.

Pirms un pēc

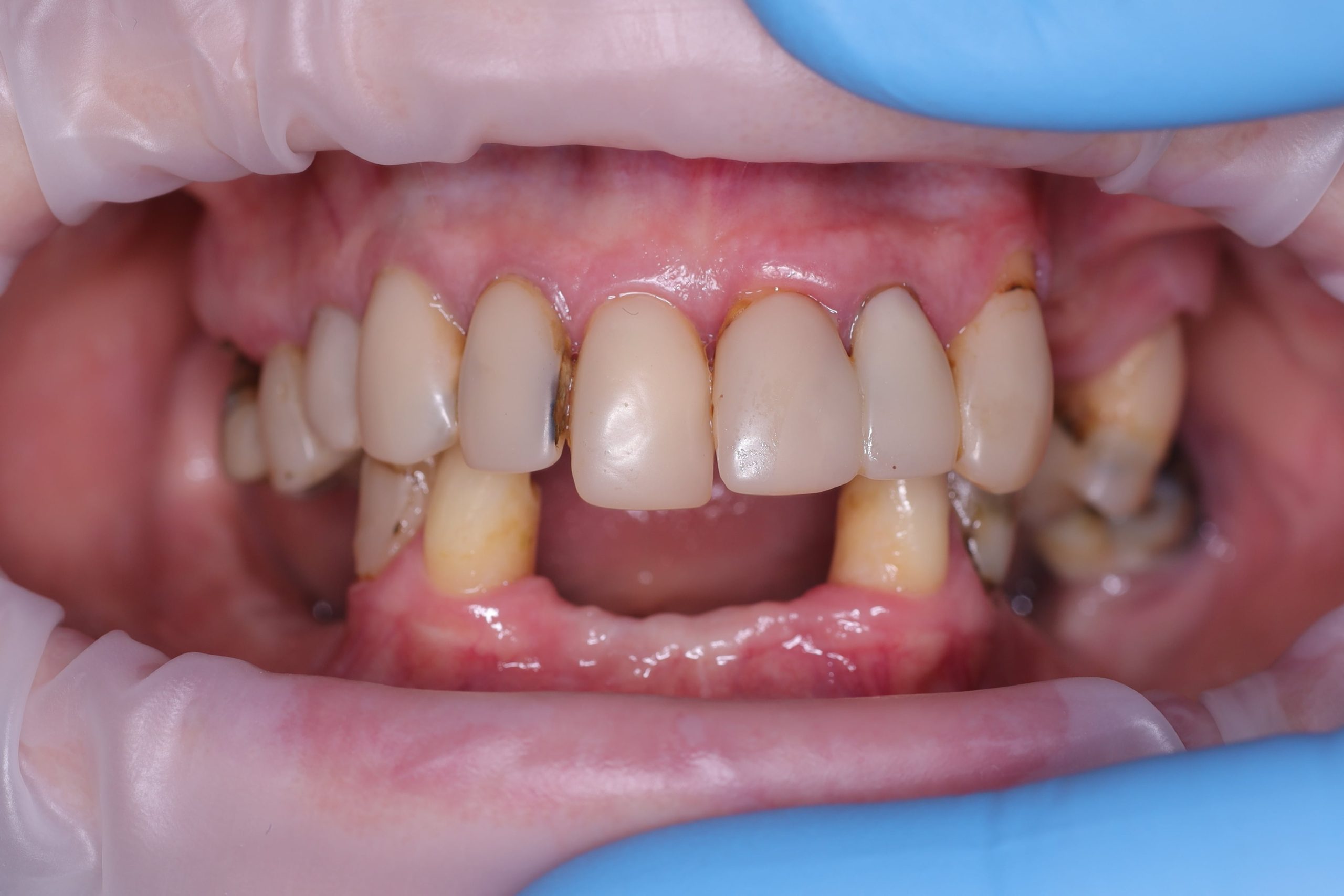
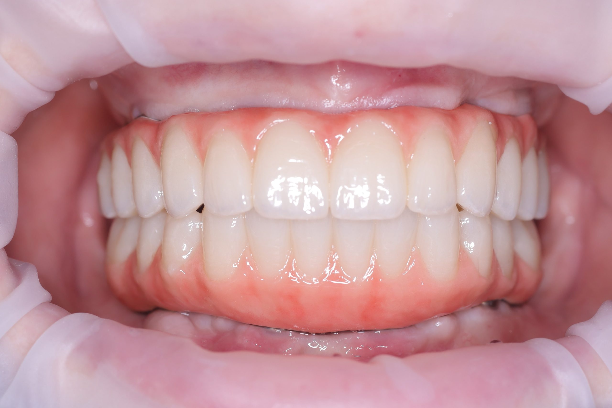
  • Totālā zobu protezēšana – viss uz 4 implantiem

    “Viss uz 4” ir efektīva ārstēšanas metode, kas ļauj atjaunot visu zobu rindu, balstot to tikai uz četriem implantiem. Tās priekšrocība ir stabila konstrukcija, kas atjauno gan košļāšanas funkciju, gan smaida estētiku. Metode piemērota pacientiem ar vairāku zobu zudumu un nodrošina uzticamu, ilgtermiņa risinājumu ar dabisku izskatu un ērtu lietošanu.

    Ārsts: Jevgenijs Kiliarskis

    Allon4 -1 before Allon4 -1 after

    Pirms

    Pēc

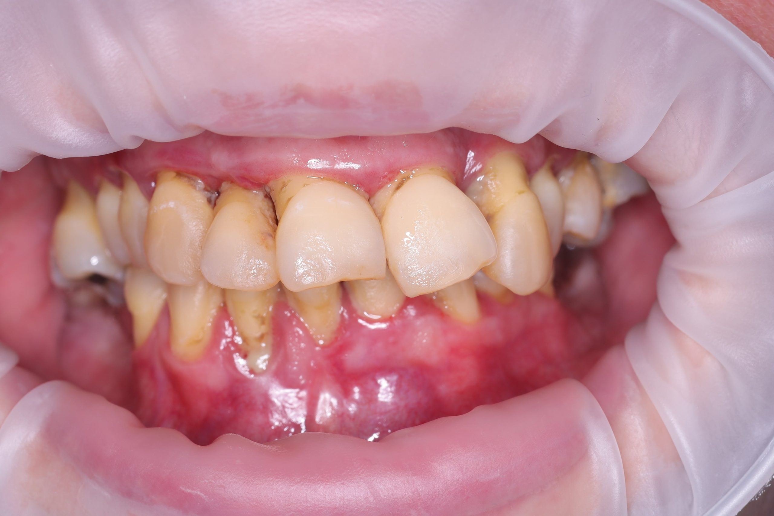
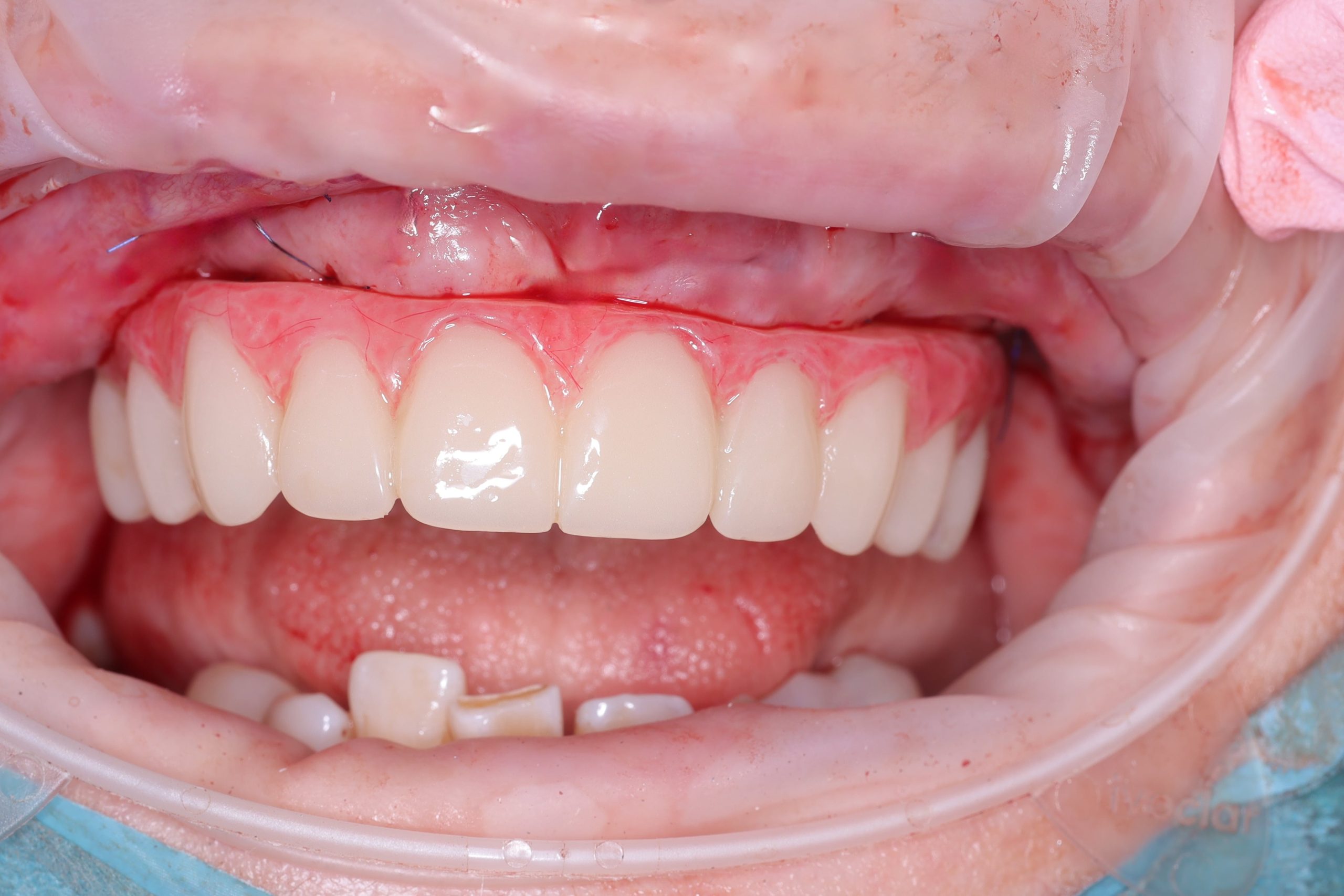
  • Totālā zobu protezēšana – viss uz 4 implantiem

    Pacientam ar progresējošu periodontītu tika veikta bojāto zobu ekstrakcija. Pēc rūpīgas diagnostikas un ārstēšanas plānošanas tika ievietoti 4 implanti, kā arī veikta žokļa dobuma slēgšana un mīksto audu plastika, lai atjaunotu kaula un smaganu anatomisko formu. Šī ārstēšanas pieeja ļāva stabilizēt situāciju un sagatavot pamatu turpmākai fiksētās konstrukcijas izgatavošanai, nodrošinot ilgtermiņā izturīgu, estētisku un funkcionāli pilnvērtīgu rezultātu.

    Ārsts: Jevgenijs Kiliarskis

    Allon4 -3 before Allon4 -3 after

    Pirms

    Pēc

  • Totālā zobu protezēšana – viss uz 4 implantiem

    Paciente vērsās ar sūdzībām par diskomfortu, lietojot izņemamo protēzi, un vēlmi uzlabot smaida izskatu. Apakšžoklī tika izņemti bojātie zobi un ievietoti 4 implanti ar tūlītēju slodzi, izmantojot fiksētu “Viss uz 4” konstrukciju. Šī modernā metode ļauj pilnībā atjaunot zobu rindu, uzlabojot gan estētiku, gan funkcionalitāti. Rezultāts — stabila konstrukcija, dabisks smaids un komforta sajūta ikdienā. Ārstēšana tika veikta ar rūpīgu plānošanu un precizitāti, panākot noturīgu, dabisku un vizuāli harmonisku smaidu.

    Ārsts: Jevgenijs Kiliarskis

    Allon4 -4 before Allon4 -4 after

    Pirms

    Pēc

  • Viss uz 4 implantiem – efektīvs risinājums pilnīgai zobu atjaunošanai

    Ārstēšanas laikā tika veikta bojāto zobu ekstrakcija un ievietoti 4 implanti katrā žoklī, uz kuriem tika izgatavota fiksēta konstrukcija “Viss uz 4”. Šī moderna un uzticama metode ļauj pilnībā atjaunot zobu rindu, nodrošinot dabisku izskatu, izcilu estētiku un augstu komfortu ikdienā. Rezultātā pacients ieguva stabilu un ilgnoturīgu restaurāciju, kas atjauno gan košļāšanas funkciju, gan dabisku smaida estētiku, sniedzot pārliecību un ievērojamu dzīves kvalitātes uzlabojumu.

    Ārsts: Jevgenijs Kiliarskis

    4I-1 before 4I-1 after

    Pirms

    Pēc

  • Viss uz 4 implantiem – mūsdienīga pieeja pilnīgai zobu atjaunošanai

    Ārstēšanas laikā pacientam tika ievietoti 4 implanti katrā žoklī, uz kuriem tika izgatavota un fiksēta “Viss uz 4” konstrukcija. Šī mūsdienīgā metode ļauj pilnībā atjaunot zobu rindu un atgūt dabisku smaidu, vienlaikus nodrošinot izcilu funkcionalitāti un estētiku. Rezultātā pacients ieguva stabilu un drošu risinājumu, kas sniedz komfortu, pārliecību un iespēju pilnvērtīgi baudīt ikdienas dzīvi.

    Ārsts: Jevgenijs Kiliarskis

    a1-2 before a1-2 after

    Pirms

    Pēc

  • Viss uz 4 implantiem – drošs risinājums jauna smaida atjaunošanai

    Ārstēšanas procesā pacientam tika ievietoti 4 implanti katrā žoklī, uz kuriem tika izgatavota un fiksēta pastāvīga “Viss uz 4” konstrukcija. Šī metode ļauj pilnībā atjaunot zobu rindu, atgriežot gan funkcionalitāti, gan estētisku izskatu. Tā nodrošina stabilu, ērtu un vizuāli dabisku rezultātu, kas sniedz pacientam pārliecību, smaidot un ēdot ikdienā.

    Ārsts: Jevgenijs Kiliarskis

    ai-3 before ai-3 after

    Pirms

    Pēc

  • Zobu protezēšana – viss uz 6 implantiem (pagaidu zobu konstrukcija)

    Operācijas laikā pacientam tika ievietoti 6 Straumann implanti, uz kuriem tajā pašā dienā tika fiksēta pagaidu zobu konstrukcija. Tas ļāva nekavējoties atteikties no izņemamās protēzes un atgūt komfortu, funkcionalitāti un estētisku smaidu jau no pirmās dienas. Pēc aptuveni sešiem mēnešiem, kad implanti pilnībā integrēsies kaulā, tiks izgatavota un uzstādīta pastāvīgā konstrukcija, kas nodrošinās augstu izturību, precīzu košļāšanas funkciju un dabisku izskatu ilgtermiņā. Operācija veikta vispārējā anestēzijā, nodrošinot vienmērīgu un komfortablu ārstēšanas procesu.

    Ārsts: Jevgenijs Kiliarskis

    Viss uz 6 before Viss uz 6 after

    Pirms

    Pēc

  • Totālā zobu protezēšana – viss uz 4 implantiem

    Pacientei iepriekš tika ievietoti 4 implanti augšžoklī un 4 implanti apakšžoklī. Pēc četriem mēnešiem pagaidu konstrukcijas tika aizstātas ar pastāvīgām cirkonija restaurācijām uz titāna sijām. Šī pieeja nodrošināja augstu konstrukcijas stabilitāti, dabisku estētiku un pilnvērtīgu košļāšanas funkciju.

    Ārsts: Jevgenijs Kiliarskis

    Alllon4 -2 before Alllon4 -2 after

    Pirms

    Pēc

  • Pilna smaida rekonstrukcija – estētikas un funkcijas atjaunošana viss uz 4 implantiem

    Pacients vērsās klīnikā ar sūdzībām par nozīmīgiem estētiskiem un funkcionāliem defektiem, vēloties atgūt dzīves kvalitāti un pilnvērtīgu košļāšanas funkciju. Lai sasniegtu iecerēto, tika veikta pilna smaida rekonstrukcija. Augšžoklī tika ievietoti četri implanti, radot stabilu pamatu augstas kvalitātes cirkonija protēzei, savukārt apakšžoklī dabisku izskatu nodrošināja estētiski keramikas kroņi. Sešu mēnešu rehabilitācijas periodā implanti veiksmīgi integrējās žokļa kaulā, ļaujot izveidot izturīgu un vizuāli pievilcīgu konstrukciju. Šodien pacients ir atguvis ne tikai pilnvērtīgu sakodienu, bet arī pašpārliecinātību un prieku smaidīt.

    Ārsts: Jevgenijs Kiliarskis

    4 implanti 2026 before 4 implanti 2026 after

    Pirms

    Pēc

  • Pilna smaida rekonstrukcija – estētikas un funkcijas atjaunošana ar viss uz 4 implantiem

    Paciente vērsās mūsu klīnikā ar nopietniem zobu bojājumiem, vairākiem trūkstošiem zobiem un apgrūtinātu košļāšanu. Tas ietekmēja ne tikai smaida estētiku, bet arī ikdienas komfortu un dzīves kvalitāti. Lai atjaunotu gan zobu funkciju, gan smaida izskatu, tika veikta pilna smaida rekonstrukcija. Augšžoklī tika veikta ārstēšana ar viss uz 4 implantiem metodi ar tūlītēju slodzi. Tas ļāva jau operācijas dienā nostiprināt pagaidu fiksētu protēzi, lai paciente varētu atkal smaidīt un justies komfortabli. Apakšžoklī tika ievietoti implanti sānu zobu zonās, nodrošinot stabilu balstu un pareizu slodzes sadalījumu košļāšanas laikā. Pēc četru mēnešu dzīšanas perioda pagaidu konstrukcija tika aizstāta ar pastāvīgu cirkonija protēzi. Lai panāktu harmonisku un estētiski līdzsvarotu rezultātu, apakšžokļa zobiem tika izgatavoti arī venīri. Rezultātā paciente ieguva dabisku, harmonisku smaidu, pilnvērtīgi atjaunotu košļāšanas funkciju un lielāku pārliecību ikdienā. Operācija tika veikta vispārējā anestēzijā mūsu klīnikā Mārupē, nodrošinot maksimālu komfortu un drošību visa ārstēšanas procesa laikā. Lai sasniegtu precīzu un estētiski augstvērtīgu gala rezultātu, ārstēšanā tika iesaistīta arī zobu tehniskā laboratorija Dental Lab. Ja arī jūs saskaraties ar līdzīgām problēmām un apsverat pilnu smaida atjaunošanu, pirmais solis ir konsultācija un diagnostika. Vizītes laikā tiek veikta rūpīga izmeklēšana un izstrādāts individuāls ārstēšanas plāns, skaidri izskaidrojot ārstēšanas gaitu, posmus un paredzamās izmaksas. Katrs gadījums ir atšķirīgs, tāpēc ārstēšana vienmēr tiek pielāgota individuāli, lai nodrošinātu estētiski skaistu, funkcionālu un ilgtermiņā stabilu rezultātu.

    Ārsts: Jevgenijs Kiliarskis

    4 implanti before 4 implanti after

    Pirms

    Pēc

  • Pilna smaida rekonstrukcija – estētikas un košļāšanas funkcijas atjaunošana viss uz 4 implantiem

    Pacients vērsās klīnikā ar sūdzībām par nozīmīgiem estētiskiem un funkcionāliem defektiem, vēloties atgūt dzīves kvalitāti un pilnvērtīgu košļāšanas funkciju. Lai sasniegtu iecerēto, tika veikta pilna smaida rekonstrukcija. Augšžoklī tika ievietoti četri implanti, radot stabilu pamatu augstas kvalitātes cirkonija protēzei, savukārt apakšžoklī dabisku izskatu nodrošināja estētiski keramikas kroņi. Sešu mēnešu rehabilitācijas periodā implanti veiksmīgi integrējās žokļa kaulā, ļaujot izveidot izturīgu un vizuāli pievilcīgu konstrukciju. Šodien pacients ir atguvis ne tikai pilnvērtīgu sakodienu, bet arī pašpārliecinātību un prieku smaidīt.

    Ārsts: Jevgenijs Kiliarskis

    4 implanti april before 4 implanti april after

    Pirms

    Pēc

Atšķirība starp noņēmamo protezēšanu un "Viss uz 4/6"

Uzstādīšanas metode

Protēze tiek piestiprināta pie žokļa, un pacients to var noņemt, kas var novest pie mazāk stabilas pozīcijas.

Ilgmūžība

Parasti prasa nomaiņu ik pēc 5-10 gadiem atkarībā no lietošanas un stāvokļa.

Ērtība un funkcionalitāte

Var radīt diskomfortu, īpaši kustības laikā, un ne vienmēr nodrošina drošu košļāšanas funkciju.

Mutes kopšana

Prasa īpašu aprūpi un regulāru tīrīšanu, tostarp noņemšanu ikdienā un protēzes mazgāšanu.

Estētiskais izskats

Var izskatīties mazāk dabiski un dažkārt nesniedz tādu pašu estētisko līmeni kā risinājumi, kas piestiprināti uz implantiem.

Uzstādīšanas metode

Protēze tiek fiksēta uz 4 implantiem, nodrošinot uzticamu un stabilu atbalstu.

Ilgmūžība

Implanti var kalpot desmitiem gadu pareizas kopšanas laikā, nodrošinot ilgtermiņa risinājumu.

Ērtība un funkcionalitāte

Nodrošina augstu komforta un funkcionalitātes līmeni, ļaujot normāli košļāt un runāt bez diskomforta.

Mutes kopšana

Kopšana implantiem ir līdzīga kā dabīgiem zobiem, kas atvieglo higiēnas uzturēšanu.

Estētiskais izskats

Implanti izskatās un funkcionē kā dabīgi zobi, nodrošinot dabisku un pievilcīgu izskatu.

Pieraksties uz konsultāciju

Pierakstieties uz konsultāciju. Plānojat vizīti pie zobārsta, bet nezināt, ar ko sākt? Pierakstieties uz konsultāciju pirms ārstēšanas un saņemiet atbildes uz visiem jums interesējošajiem jautājumiem. Mēs izskaidrosim jums, kādas ir nepieciešamās procedūras, un palīdzēsim jums spert pirmo soli ceļā uz veselīgu smaidu!

Kā mūsu klīnikā tiek veikta implantācija "Viss uz 4/6"

01

Konsultācija

Pirmajā apmeklējumā diagnostikas ārsts veic mutes dobuma pārbaudi, 3D izmeklēšanu un apkopo informāciju par pacienta vispārējo veselības stāvokli. Tiek uzņemti digitālie nospiedumi, lai plānotu nākotnes zobu pozīciju un noteiktu jauno sakodiena augstumu.

02

Sagatavošana

Otrajā apmeklējumā notiek zobu prototipa izmēģinājums, lai novērtētu jauno zobu izskatu, formu un sakodiena augstumu.

03

Implantācija un pagaidu zobu uzstādīšana

Trešajā apmeklējumā tiek veikta implantācijas procedūra, kas notiek zem lokālās anestēzijas vai vispārējās anestēzijas. Lai sasniegtu maksimāli precīzu rezultātu, procedūras laikā tiek izmantota kape implantātu pozicionēšanai. Pēc implantu uzstādīšanas tiem tiek pievienoti jauni pagaidu zobi.

04

Dziedināšana un pastāvīgo zobu uzstādīšana

Pēc 3-5 mēnešiem, kad implanti ir pilnībā sadzijuši, no izvēlētā materiāla tiks izgatavoti pastāvīgie zobi, kas nodrošinās nevainojamu dabīgu smaidu.

05

Pēc ārsta ieteikumiem

Saskaņā ar ārsta ieteikumiem pirmās četras nedēļas jums ieteicams lietot vairāk mīkstas pārtikas, lai pierastu pie jaunajiem zobiem un nodrošinātu pakāpenisku implantu integrāciju kaulā.

06

Pastāvīga zobu kopšana

Pēc pastāvīgo zobu uzstādīšanas ir svarīgi ievērot mutes dobuma higiēnas noteikumus, tostarp regulāru zobu tīrīšanu un zobārsta apmeklēšanu profilaktiskām pārbaudēm. Pareiza aprūpe palīdzēs saglabāt zobu un smaganu veselību, kā arī novērst iespējamas komplikācijas.

Mūsu zobu tehniskā laboratorija

Mūsu zobu tehniskā laboratorija apvieno digitālo precizitāti ar augstu profesionālo kompetenci. Tā izstrādā zobu protezēšanas risinājumus dažādas sarežģītības klīniskajām situācijām – no vienkāršām restaurācijām līdz pilniem estētiskiem darbiem. Digitālā skenēšana un CAD/CAM tehnoloģijas nodrošina precīzu restaurācijas pielāgošanos pacienta zobu anatomijai un sakodienam.
  • Estētiska kvalitāte: Cirkonija un keramikas materiāli ļauj panākt dabisku krāsu, formu un virsmas struktūru, kas vizuāli un funkcionāli atbilst dabīgajiem zobiem.
  • Izturība un drošums: Izmantotie materiāli un tehnoloģijas garantē ilgstošu stabilitāti un mehānisko izturību.
  • Efektīvs darba process: Digitalizēta ražošana ļauj samazināt izgatavošanas laiku, saglabājot nemainīgu precizitāti un kvalitāti.
  • Cieša sadarbība ar ārstiem: Katrs darbs tiek veidots sadarbībā ar zobārstu, lai nodrošinātu precīzu rezultātu atbilstoši klīniskajai situācijai.

Mūsu pacientu atsauksmes

Pacientu pozitīvās atsauksmes apstiprina augsto uzticības līmeni mūsu darbam. Mēs ļoti novērtējam katru viedokli, jo tas palīdz mums pastāvīgi uzlabot sniegto pakalpojumu kvalitāti.

Izsaku lielu pateicību higiēnistei Ingai par profesionālo un uzmanīgo pieeju! Inga veica procedūru rūpīgi, detalizēti izskaidroja visus posmus un sniedza vērtīgus ieteikumus zobu kopšanā. Es biju īpaši pārsteigts — nesāpīgi, mūsdienīgs aprīkojums, individuāla pieeja. Tagad iešu tikai pie Ingas! Ja vēlaties kvalitatīvu profilaksi un nevainojamu zobu tīrību, noteikti iesaku!

Dmitrijs Malinovskis

Dr. Līga un viņas komanda, kā arī administratore, ir iejūtīgi, laipni un profesionāli. Paldies!

Irina Rumjanceva

Apmeklēju higiēnas procedūru pie Anastasijas Jevdokimovas — izcila speciāliste un īsts profesionālis. Tik rūpīgu un kvalitatīvu higiēnu man vēl nekad nebija veikuši. Lieliska klīnika un profesionāli speciālisti!

Darja Jansone

Vēlos izteikt atzinību klīnikas administratora Artura darbam un dziļu pateicību. Mūsdienās ir tik reti sastopams kāds, kurš savus pienākumus pilda ar tādu atbildību un uzmanību detaļām. Ir skaidrs, ka viņš savu darbu nedara tikai izrādīšanās pēc, bet gan ar patiesu godprātību un aizrautību. Papildus tam, pateicoties Dr. Pasteres iejūtīgajam un profesionālajam darbam, es vēlos turpināt izmantot Sky Dream klīnikas pakalpojumus.

Ilja Dmitrijevs

Lieliska vieta ar atsaucīgu personālu un kvalificētiem ārstiem. Ārste Jeļena Pastare visu izskaidroja līdz galam, bez liekas informācijas. Visi izturējās ar lielu laipnību un rūpību. Man ļoti patika vizīte — viss bija skaidrs, paldies!

Alesja Kalmakova

Dēliņam, kurš ir ļoti jūtīgs, viss tika izdarīts tik profesionāli un ātri, ka tikām galā bez pārdzīvojuma. Milzīgs paldies dakterei Jakovļevai un Sky Dream klīnikai!

Zane Salmane

Šodien apmeklēju šo klīniku zobu ārstēšanai. Viss bija lieliski! Un īpašs paldies dakterei Annai Petrovai. Viņa bija ļoti laipna un precīza. Īsta profesionāle, un es noteikti varu viņu ieteikt. Paldies!

Antanas Leo

Milzīgs paldies SKY DREAM CLINIC komandai par lielisko darbu un uzmanīgo attieksmi! Jūs esat īsti profesionāļi, kuri padara pasauli mazliet labāku un cilvēku smaidus — skaistākus. Īpaša pateicība Dr. Jevgenijam Kiliarskim! Zelta rokas! Paldies!

Svetlana Lisone

Šodien pirmo reizi apmeklēju Sky Dream Clinic. Ļoti ērta atrašanās vieta un mūsdienīga klīnika. Mani sagaidīja laipnas administratores, un pēc tam devos uz ārstes kabinetu. Mana ārste – Arina Šutkina – ir patīkama un profesionāla speciāliste. Viņa izveidoja ārstēšanas plānu un uzsāka pirmo darba posmu. Kopā ar viņu strādāja jauka asistente Ieva. Bija patīkami atrasties šajā klīnikā kopā ar labu ārsti. Iesaku!

Katerina Perepichai

Liels paldies administrācijas meitenēm par laipno sagaidīšanu un higiēnistei Inārai Karpovai par smalko un rūpīgo darbu. Rezultāts ir pat pārsteidzoši labs. Paldies!

Signe Kocina

Ļoti atsaucīgs un laipns personāls – jau no pirmā brīža jutos gaidīta un saprasta. Viss tika rūpīgi izskaidrots, uz katru jautājumu saņēmu skaidru atbildi. Attieksme pret pacientu, manuprāt, ir 90% no veiksmīga rezultāta, un šeit tā bija nevainojama. Vizītes laikā nejutu stresu, bet tieši pretēji – drošību un pārliecību par to, kas notiek un kas būs jādara tālāk. Paldies par profesionālu un cilvēcīgu attieksmi!

Kristīne Zvejniece

Labākā klīnika Rīgā! Iesaku katru gadu veikt Dental Check Up (pilno zobu diagnostiku) – var uzzināt (3D attēlos) par zobu stāvokli un paredzēt iespējamās problēmas, lai zobu sāpes nepārsteigtu ceļojuma laikā vai citā svarīgā brīdī. Man ieteica terapijas plānu, un tagad varu plānot savas finanses, laicīgi salabojot zobus. Personāls nesteidzīgi atbildēja uz visiem jautājumiem un sniedza ieteikumus, kā uzlabot zobu skaistumu saudzējošā un man piemērotā veidā. No sirds iesaku!

Baiba Svjatska

Lieliski tika galā ar trīsgadnieka zobu caurumiem – bez narkozes. Lieliska attieksme gan pret vecākiem, gan bērniem. Bērns pie zobārstes gāja ar lielu prieku.

Laura Kalveniece

Jaunās klīnikas telpas ir plašas, gaišas un ar patīkamu, modernu atmosfēru. Prieks, ka šajā klīnikā darbu turpina higiēniste Inga un zobārste Līga, pie kurām man vienmēr bijusi ļoti patīkama attieksme un nekādu problēmu.

Davis Cipans

Klīnika ir augstākajā līmenī. Katrs solis un darbība tiek veikta ar rūpību, mazinot bailes un stresu līdz minimumam. Viss personāls ir ļoti draudzīgs.

Oļegs Vavilovs

Lieliska klīnika, brīnišķīga bērnu zobārste. Mans piecgadīgais bērns ārstē zobus bez bailēm un ar prieku dodas uz vizīti. Ārste prata viņu ieinteresēt, tāpēc viņam nebija bail – drīzāk interesanti! Injekciju veic nemanāmi, bērns to pat nepamana. Man bija svarīgi izvairīties no vispārējās narkozes, un tas mums izdevās. Ļoti iesaku!

Hanna Vauchkova

Ļoti patīkama atmosfēra, apkalpošana – sākot no administrācijas līdz zobārstniecības krēslam un atpakaļ – perfekta. Vēlos izteikt komplimentus administratorei Jekaterinai par ļoti laipno apkalpošanu. Iesaku visiem apmeklēt Sky Dream Clinic.

Linda Ansone

Ļoti atsaucīga un pretimnākoša attieksme. Sāka sāpēt zobs, un tajā pašā dienā atrada laiku, lai varētu atbraukt uz apskati! Zinoša daktere, visu sīki un smalki izstāstīja.

Kecija Salceviča

Biju uz zobu diagnostiku šajā klīnikā pie dakteres Marijas (ja pareizi atceros), viņa ir no Ukrainas. Zobus nofotografēja, noskenēja 3D un sīki, smalki par katru zobu visu izstāstīja. Zināšanu līmenis un attieksme – super! Esmu ļoti apmierināts! Latviešu valodu vēl mācās, bet jau spēj tīri labi sarunāties. Paldies!

Bikerman Intruder

Iepazīstieties ar mūsu komandu

Dmitrijs Papsujevičs

Virsārsts, protēzists, implantologs, ķirurgs ar pieredzi, valdes loceklis

  • 15 prakses gadi
  • Valodas: latviešu, angļu, krievu
Lasīt vairāk

Jevgenijs Kiliarskis

Zobārsts ar pieredzi ķirurģijā, protezēšanā un implantoloģijā

  • 15 prakses gadi
  • Valodas: ukraiņu, angļu, krievu, latviešu (mācās)
Lasīt vairāk

F.A.Q.

“Viss uz 4/6” implantu uzstādīšana tiek rekomendēta pacientiem ar adentiju (pilnīgu zobu trūkumu) vai stipri bojātiem zobiem. Ja ir zobi, kas jāizņem, to izraušanu veic ārstēšanas dienā, lai novērstu potenciālos infekcijas avotus.

“Viss uz 4/6” sistēmas uzstādīšana ir iespējama īsā laikā, taču tā prasa rūpīgu diagnostiku. Iespēja vienlaikus uzstādīt to uz abām žokļiem ir atkarīga no pacienta stāvokļa un veselības.

Vai var uzreiz ēst cietu pārtiku? Pilnīga implantu integrācija aizņem no 3 līdz 6 mēnešiem. Pirmajās dienās ieteicams ievērot mīkstās pārtikas diētu, lai nodrošinātu implantu integrāciju.

Pacientiem regulāri jāapmeklē ārsts dziedēšanas procesa uzraudzībai. Apmeklējumu plāns ir atkarīgs no pacienta stāvokļa un tiek noteikts individuāli.

Implantācijas dienā tiek izrauti zobi (ja tādi ir), tiek veikta mutes dobuma sanācija, tiek ievietoti implanti un uzstādītas protēzes. Visas manipulācijas notiek bez sāpēm, jo tiek lietota lokālā anestēzija vai, ja nepieciešams, vispārējā anestēzija.

Implanti ieaug no 2 līdz 4 mēnešiem apakšējā žoklī un no 4 līdz 6 mēnešiem augšējā žoklī.

Pirmajās dienās ieteicams ēst mīkstu pārtiku, pēc tam pakāpeniski atgriezties pie parastā uztura. Ir jāizvairās no asas, sāļas un skābas pārtikas, kas var kairināt audus.

Ir svarīgi izmantot zobu birsti ar mīkstiem sariem un speciālu pastu. Regulāra tīrīšana un irigatora izmantošana palīdz uzturēt protēzi un smaganas labā stāvoklī. Tāpat ieteicams veikt profesionālo tīrīšanu ik pēc sešiem mēnešiem.

Pieraksties uz konsultāciju

Pierakstieties uz konsultāciju. Plānojat vizīti pie zobārsta, bet nezināt, ar ko sākt? Pierakstieties uz konsultāciju pirms ārstēšanas un saņemiet atbildes uz visiem jums interesējošajiem jautājumiem. Mēs izskaidrosim jums, kādas ir nepieciešamās procedūras, un palīdzēsim jums spert pirmo soli ceļā uz veselīgu smaidu!