Total dental prosthetics “All on 4/6 Implants”

All teeth on 4/6 implants is a modern solution that makes it possible to restore the entire dental arch by supporting it on four or six implants. The concept of this method offers an effective and financially well-considered way to restore a full set of teeth in a relatively short period of time with the help of implants, bringing back both full chewing function and an aesthetically harmonious smile. At our clinic, at least 5 full-arch restoration surgeries using the “All on 4/6” implant method are performed every month, demonstrating our team’s extensive experience and high level of professionalism. The work of outstanding surgeons, precise diagnostics, and modern technologies ensures a safe treatment process and a high-quality result that combines functionality, aesthetics, and long-term stability.

2000+

Happy smiles per month

97%

Client satisfaction

60+

Team members

25000+

Amazing clients

When and why this procedure is necessary?

Difference between “All on 4” and “All on 6” Implants

The primary difference between these two solutions lies in the length of the restored dental arch and the number of supporting implants:

  • “All on 4” (4 implants) supports a fixed arch of 12 teeth.

  • “All on 6” (6 implants) allows for a more extensive restoration of 14 teeth, ensuring superior stability and more even load distribution.

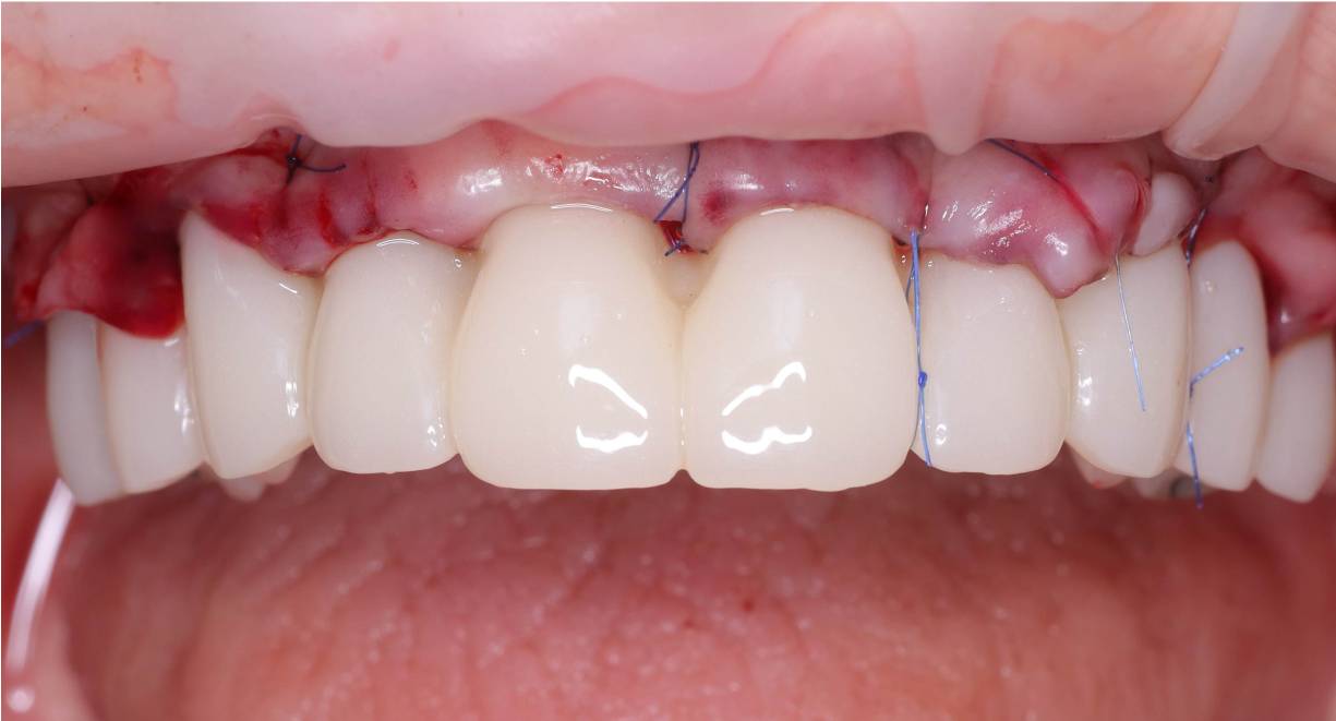
How is the procedure performed? Implants are strategically placed in the jaw: two vertically in the front (anterior) and two or four in the sides (posterior) at a specific angle. The procedure is performed using a surgical navigation guide, which guarantees micron-level precision in implant positioning and an optimal insertion angle.

This technique enables immediate loading—the implants are placed, and a temporary prosthesis is attached on the same day. This allows the patient to immediately regain both an aesthetic smile and full chewing function.

Advantages:

  • Immediate loading: A temporary prosthesis is fixed on the day of surgery.

  • High precision: Achieved using a digital navigation guide.

  • Aesthetics and function: Immediate results without a prolonged waiting period.

  • Time-efficient: No need for lengthy treatment plans.

  • Safety: Minimizes the risk of complications.

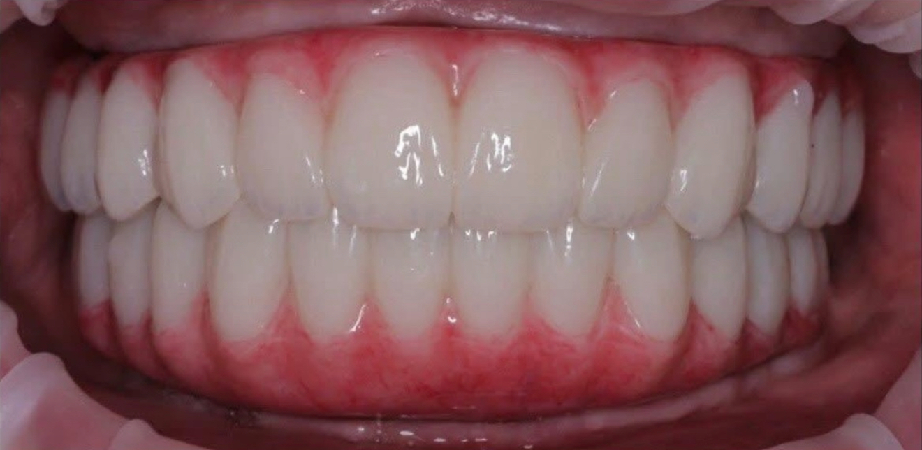
Before u0026 After

  • Full-Mouth Restoration – All on 4 Implants

    The All on 4 technique is an efficient treatment method that enables the restoration of an entire dental arch using only four implants. It provides a stable and functional foundation, restoring both chewing ability and natural smile aesthetics. This method is ideal for patients with significant tooth loss, offering a reliable, long-term solution that combines durability, comfort, and a natural appearance.

    Doctor: Jevgenijs Kiliarskis

    Allon4 -1 before Allon4 -1 after

    Before

    After

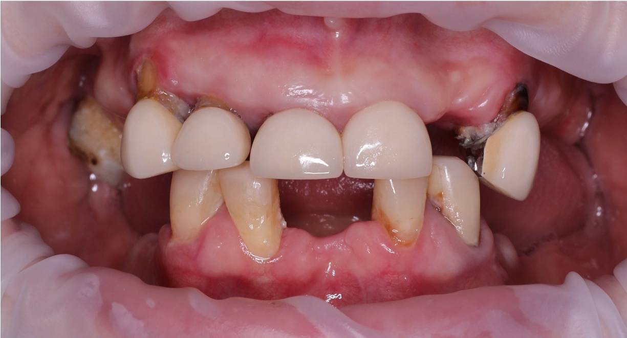
  • Full-Mouth Restoration – All on 4 Implants

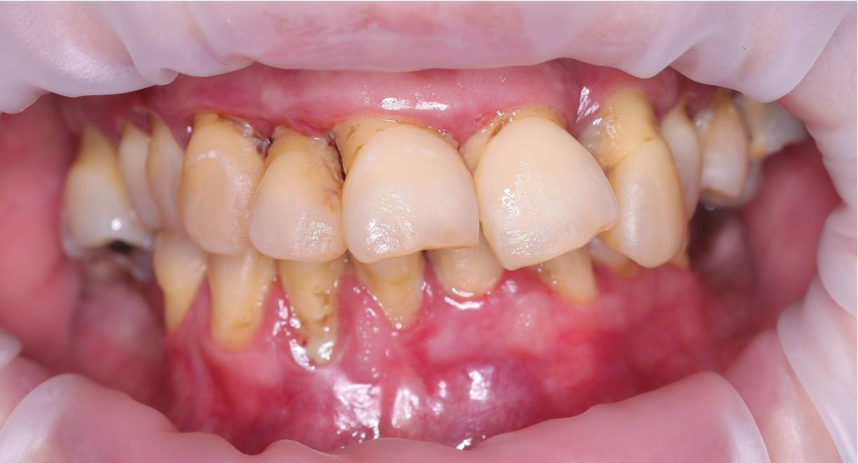
    The patient was diagnosed with advanced periodontitis, which required the extraction of compromised teeth. After comprehensive diagnostics and precise treatment planning, four implants were placed, accompanied by sinus closure and soft tissue grafting to restore the natural shape and volume of the bone and gums. This advanced approach ensured full stabilization and created a solid foundation for a future fixed restoration, delivering a long-lasting, functional, and aesthetically harmonious outcome. 

    Doctor: Jevgenijs Kiliarskis

    Allon4 -3 before Allon4 -3 after

    Before

    After

  • Full-Mouth Restoration – All on 4 Implants

    The patient presented with discomfort while using a removable denture and a desire to improve the aesthetics and stability of her smile. In the lower jaw, the compromised teeth were extracted and four dental implants were placed with immediate loading, followed by the placement of a fixed All on 4 prosthetic restoration. This advanced treatment concept allows for the complete rehabilitation of the dental arch, restoring optimal function, aesthetics, and comfort. The procedure was carefully planned and executed with high precision, resulting in a durable, natural-looking, and harmonious smile.

    Doctor: Jevgenijs Kiliarskis

    Allon4 -4 before Allon4 -4 after

    Before

    After

  • All on 4 Implants – an Effective Solution for Full Dental Restoration

    During the treatment, four implants were placed in each jaw, on which a fixed All on 4 construction was created. This modern and reliable method allows for the complete restoration of the dental arch, ensuring a natural appearance, excellent aesthetics, and everyday comfort. As a result, the patient achieved a stable and long-lasting restoration that restored both chewing function and the natural beauty of the smile, bringing back confidence and significantly improving quality of life.

    Doctor: Jevgenijs Kiliarskis

    ai-1 before ai-1 after

    Before

    After

  • All on 4 Implants – a Modern Approach to Full Mouth Restoration

    During the treatment, the patient received four implants in each jaw, supporting a fixed All on 4 construction. This advanced method makes it possible to fully restore the dental arch and bring back a natural-looking smile, while providing excellent functionality and aesthetics. As a result, the patient achieved a reliable and stable solution that offers comfort, confidence, and the freedom to enjoy everyday life to the fullest.

    Doctor: Jevgenijs Kiliarskis

    ai-2 before ai-2 after

    Before

    After

  • All on 4 Implants – a Reliable Solution for a New Smile

    During the treatment, the patient received four implants in each jaw, supporting a fixed All on 4 construction. This technique allows for the complete restoration of the dental arch, bringing back both functionality and aesthetics. It provides a stable, comfortable, and natural-looking result, giving the patient confidence while smiling and eating every day.

    Doctor: Jevgenijs Kiliarskis

    ai-3 before ai-3 after

    Before

    After

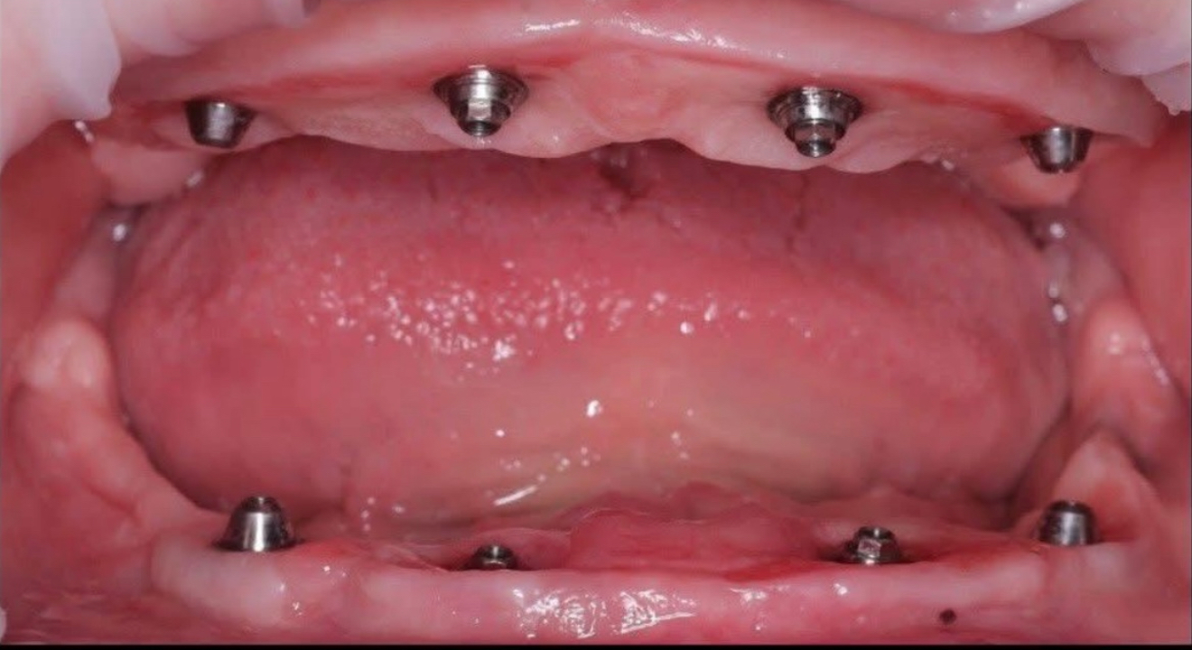
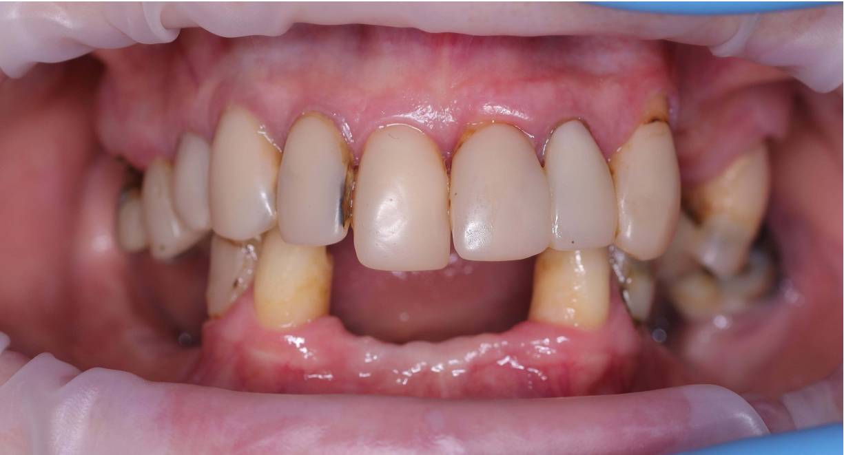
  • All on 6: (a temporary fixed prosthesis)

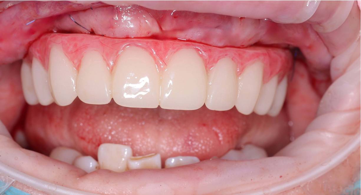
    During the procedure, the patient received six Straumann implants, which provided a stable foundation for a temporary fixed prosthesis placed the same day. This allowed the patient to immediately transition away from a removable denture and enjoy improved comfort, function, and aesthetics from day one. After approximately six months, once the implants have fully integrated, a permanent high-strength restoration will be fabricated, ensuring excellent durability, efficient chewing function, and a naturally refined appearance. The surgery was performed under general anesthesia, ensuring a smooth and comfortable treatment experience.

    Doctor: Jevgenijs Kiliarskis

    Viss uz 6 before Viss uz 6 after

    Before

    After

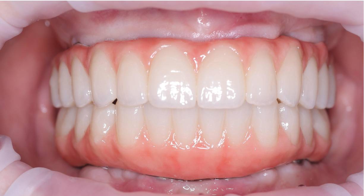
  • Full-Mouth Restoration – All on 4 Implants

    The patient had previously received four implants in the upper jaw and four implants in the lower jaw. After a four-month healing period, the temporary restorations were replaced with permanent zirconia restorations supported by titanium frameworks. This treatment approach ensured long-term stability, natural aesthetics, and fully restored chewing function.

    Doctor: Jevgenijs Kiliarskis

    Alllon4 -2 before Alllon4 -2 after

    Before

    After

  • Full Smile Reconstruction – Restoring Esthetics and Function All on 4 Implants

    The patient presented to the clinic with significant esthetic and functional concerns, seeking to regain their quality of life and full masticatory function. To achieve the desired outcome, a Full Smile Reconstruction was performed. Four implants were placed in the upper arch, creating a highly stable foundation for a premium zirconia prosthesis, while aesthetic ceramic crowns were fitted in the lower arch to ensure a natural appearance. During the six-month rehabilitation period, the implants successfully integrated with the jawbone, allowing for the creation of a durable and visually stunning restoration. Today, the patient has regained not only full dental function but also the confidence and joy of a radiant smile.

    Doctor: Jevgenijs Kiliarskis

    Viss uz 4 (2026) before Viss uz 4 (2026) after

    Before

    After

  • Full smile reconstruction – restoration of aesthetics and function with All on 4 implants

    The patient came to our clinic with severe dental damage, several missing teeth, and difficulty chewing. This affected not only the appearance of the smile, but also everyday comfort and overall quality of life. To restore both dental function and the appearance of the smile, a full smile reconstruction was carried out. In the upper jaw, treatment was performed using the All on 4 implants method with immediate loading. This made it possible to secure a temporary fixed prosthesis on the day of surgery, allowing the patient to smile again and feel comfortable right away. In the lower jaw, implants were placed in the posterior areas to provide stable support and proper distribution of chewing forces. After a four-month healing period, the temporary restoration was replaced with a permanent zirconia prosthesis. To achieve a harmonious and aesthetically balanced result, veneers were also made for the lower teeth. As a result, the patient regained a natural, harmonious smile, fully restored chewing function, and greater confidence in daily life. The procedure was performed under general anaesthesia at our clinic in Mārupe, ensuring maximum comfort and safety throughout the treatment process. To achieve a precise and aesthetically high-quality final result, the treatment was also carried out in cooperation with the dental laboratory Dental Lab. If you are facing similar problems and are considering full smile restoration, the first step is a consultation and diagnostics. During the visit, a thorough examination is carried out and an individual treatment plan is prepared, clearly explaining the treatment process, stages, and expected costs. Every case is different, which is why treatment is always tailored individually to ensure an aesthetically pleasing, functional, and long-lasting result.

    Doctor: Jevgenijs Kiliarskis

    4 implanti before 4 implanti after

    Before

    After

  • Full smile reconstruction – restoring aesthetics and chewing function with All on 4 implants

    The patient came to the clinic with significant aesthetic and functional concerns, wishing to restore quality of life and full chewing function. To achieve the desired result, a complete smile reconstruction was performed. Four implants were placed in the upper jaw, creating a stable foundation for a high-quality zirconia prosthesis, while in the lower jaw a natural appearance was achieved with aesthetic ceramic crowns. During the six-month rehabilitation period, the implants successfully integrated into the jawbone, allowing the creation of a strong and visually attractive construction. Today, the patient has regained not only a fully functional bite, but also self-confidence and the joy of smiling.

    Doctor: Jevgenijs Kiliarskis

    4 implanti april before 4 implanti april after

    Before

    After

Difference between removable prosthesis and "All on 4/6 Implants"

Method of Attachment

The prosthetics are attached to the jaw and can be removed by the patient themselves, which may lead to a less stable position.

Durability

Typically require replacement every 5-10 years, depending on the use and condition.

Comfort and Functionality

May cause discomfort, especially during movement, and do not always provide reliable chewing function.

Oral Care

Require special care and regular cleaning, including daily removal and washing of the prosthetics.

Aesthetic Appearance

May look less natural and sometimes do not provide the same level of aesthetics as solutions fixed on implants.

Method of Attachment

The prosthetics are fixed onto 4 implants, providing a reliable and stable support.

Durability

Implants can last for decades with proper care, providing a long-term solution.

Comfort and Functionality

Provide a high level of comfort and functionality, allowing for normal chewing and speaking without discomfort.

Oral Care

Care for the implants is similar to that for the natural teeth, making it easier to maintain hygiene.

Aesthetic Appearance

Implants look and function like the natural teeth, providing a natural and attractive appearance.

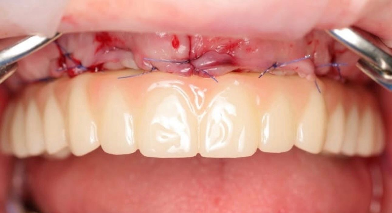
How All on 4/6 implantation is done in our clinic?

Planning a visit to the dentist, but don’t know where to start? Book a consultation before treatment and get answers to all your questions. We will help you understand the necessary procedures and take the first step to a healthy smile!

How All on 4/6 implantation is done in our clinic?

01

Consultation

During the first visit, the diagnostic dentist conducts an examination of the oral cavity, a 3D assessment, and gathers information about the patient’s overall health status. A digital impression is taken to plan the future positioning of the teeth and determine the height of the new bite.

02

Preparation

During the second visit, a prototype of the teeth is fitted to evaluate the appearance, shape, and bite height of the new teeth.

03

Implantation and Installation of Temporary Teeth

During the third visit, the implant procedure is performed under local anesthesia or general anesthesia. To achieve maximum accuracy, a positioning tray is used during the procedure for the implants. After the implants are placed, new temporary teeth are attached to them.

04

Healing and Placement of Permanent Teeth

After 3-5 months, when the implants have fully healed, the permanent teeth will be fabricated from the material of your choice, providing a flawless natural smile.

05

By the doctor’s recommendations

It is advised to consume softer foods for the first four weeks to acclimate to the new teeth and ensure gradual integration of the implants into the bone.

06

Ongoing Dental Care

After the placement of the permanent teeth, it is important to follow oral hygiene guidelines, including regular tooth brushing and visiting the dentist for preventive check-ups. Proper care will help maintain the health of the teeth and gums and prevent potential complications.

Our Dental Laboratory

Our dental laboratory combines advanced digital technologies with exceptional technical precision.We design and manufacture dental restorations for clinical cases of any complexity — from single crowns to comprehensive aesthetic reconstructions. Digital scanning and CAD/CAM fabrication enable restorations that fit precisely to each patient’s dental anatomy and occlusion, ensuring both comfort and functionality.
  • Aesthetic Quality: Zirconia and ceramic materials provide natural translucency, shape and color, achieving seamless visual harmony within the patient’s dentition.
  • Durability and Reliability: High-performance materials and manufacturing methods guarantee mechanical strength and long-term stability of each restoration.
  • Efficient Workflow: A digitally integrated process shortens production time while maintaining consistent accuracy and quality control.
  • Clinical Collaboration: Every case is developed in close cooperation with the treating dentist to ensure optimal clinical adaptation and predictable outcomes.

What our patients say

Positive feedback from patients confirms the high level of trust in our work. We greatly value every opinion, as it helps us continuously improve the quality of our services.

I express my sincere gratitude to hygienist Inga for her professional and attentive approach! Inga carried out the procedure as comfortably as possible, explained each step in detail, and provided valuable advice on dental care. I was especially impressed — painless, modern equipment, and an individual approach. From now on, I will go only to Inga! If you want high-quality preventive care and perfectly clean teeth, I definitely recommend her!

Dmitrijs Malinovskis

Dr. Liga and her team, as well as the administrator, are very caring, kind, and professional. Thank you!

Irina Rumjanceva

I visited Anastasia Jevdokimova for a hygiene procedure — an outstanding specialist and a true professional. I have never had such thorough and high-quality hygiene treatment before. A great clinic with professional specialists!

Darja Jansone

I would like to express my appreciation for the work of the clinic administrator Arturs and extend my sincere gratitude. Nowadays it is very rare to meet someone who performs their duties with such responsibility and attention to detail. It is clear that he does his job not out of formality, but with genuine integrity and dedication. Additionally, thanks to Dr. Pastare’s sensitive and professional work, I would like to continue using the services of Sky Dream Clinic.

Ilja Dmitrijevs

A great place with a responsive staff and qualified doctors. Dr. Jelena Pastare explained everything clearly and completely, without unnecessary information. Everyone was very kind and attentive. I really liked the visit — everything was clear. Thank you!

Alesja Kalmakova

I visited this clinic today for treatment of tooth decay. Everything was great! And special thanks to doctor Anna Petrova. She was very kind and accurate. She is a real professional, and I definitely can recommend her. Thank you!

Antanas Leo

For my son, who is very sensitive, everything was done so professionally and quickly that we got through it without any stress. A huge thank you to Dr. Jakovļeva and Sky Dream Clinic!

Zane Salmane

A huge thank you to the SKY DREAM CLINIC team for their excellent work and attentive attitude! You are true professionals who make the world a little kinder and people’s smiles even more beautiful. Special thanks to Dr. Jevgenijs Kiliarskis! Golden hands! Thank you!

Svetlana Lisone

Today I visited Sky Dream Clinic for the first time. It’s conveniently located and has a modern, welcoming atmosphere. I was greeted by friendly administrators and then met my dentist. Dr Arina Šutkina was kind, professional, and attentive. She created a treatment plan and started the first stage of the work. Her assistant Ieva was also very pleasant to work with. It was a real pleasure to be treated in this clinic by such a good doctor. Highly recommended!

Katerina Perepichai

Many thanks to the reception girls for their warm welcome and to hygienist Ināra Karpova for her precise and careful work. The result is surprisingly good! Thank you!

Signe Kocina

Very kind and caring staff — from the very first moment I felt welcome and understood. Everything was carefully explained, and every question was answered clearly. In my opinion, a positive attitude towards the patient is 90% of a successful result, and here it was absolutely perfect. During the visit I felt no stress — only calmness, confidence, and trust in what was happening. Thank you for such a professional and truly human approach!

Kristīne Zvejniece

The best clinic in Riga! I recommend doing a Dental Check-Up (full dental diagnostics) once a year — you’ll see 3D images of your teeth and be able to identify potential issues early, so toothache doesn’t catch you off guard while travelling or at an important moment. I was given a treatment plan that allows me to plan my finances and fix my teeth on time. The staff patiently answered all my questions and offered personalised advice on how to improve my smile in a gentle and natural way. Truly recommended from the heart!

Baiba Svjatska

They did a fantastic job treating my three-year-old’s cavities — without anaesthesia! A wonderful attitude towards both children and parents. My child went to the dentist with real joy.

Laura Kalveniece

The new clinic premises are spacious, bright, and have a pleasant modern atmosphere. I’m glad that hygienist Inga and dentist Līga continue their work here — I’ve always experienced excellent service and never had any problems.

Davis Cipans

A top-class clinic. Every step and every procedure is carried out with care, reducing fear and stress to a minimum. The whole team is extremely friendly and professional.

Oļegs Vavilovs

An excellent clinic with a wonderful paediatric dentist! My five-year-old child happily goes for treatment and is never afraid. The doctor managed to make him curious rather than scared. The injection is given so gently that the child doesn’t even notice it. It was very important for me to avoid general anaesthesia, and we succeeded. Highly recommended!

Hanna Vauchkova

A very pleasant atmosphere and impeccable service — from the reception desk to the dental chair and back again. I would like to compliment administrator Jekaterina for her exceptionally polite and caring approach. I truly recommend Sky Dream Clinic to everyone.

Linda Ansone

I visited this clinic for a dental diagnostic appointment with Dr Marija (if I remember correctly), who is from Ukraine. She photographed my teeth, performed a 3D scan, and explained everything in detail about each tooth. Her knowledge and attitude were excellent — I’m very satisfied! She’s still learning Latvian, but already speaks it quite well. Thank you!

Bikerman Intruder

Very kind and attentive service. My tooth started hurting, and they found time for me that very same day! The doctor was highly knowledgeable and explained everything clearly and thoroughly.

Kecija Salceviča

Meet our team

Dmitrijs Papsujevičs

Сhief doctor, prosthodontist, implantologist, surgeon with experience, Member of the Board

  • 15 Years of Experience
  • Languages: Latvian, English, Russian
Read more

Jevgenijs Kiliarskis

Dentist with experience in surgery, prosthetics and implantology

  • 15 Years of Experience
  • Languages: Ukrainian, English, Russian
Read more

F.A.Q.

Implantation of “All on 4/6 Implants” indicated for patients with edentulism (complete teeth loss) or severely damaged teeth. If there are teeth that need to be removed, their extraction is performed on the day of treatment to prevent potential sources of infection.

The “All on 4/6 Implants” system can be installed in a short time, but thorough diagnostics are required. The possibility of its simultaneous installation on both jaws depends on the patient’s condition and health.

Full integration of the implants takes from 3 to 6 months. In the first few days, a soft diet is recommended to ensure proper integration of the implants.

Patients need to regularly visit the doctor to monitor healing. The visit schedule is set individually, depending on the patient’s condition.

On the day of implantation, the teeth are removed (if any), oral cavity sanitation is performed, implants are placed, and prostheses are installed. All procedures are done painlessly under local anesthesia or general anesthesia if necessary.

“All on 4/6 Implants” typically integrate from 2 to 4 months in the lower jaw and from 4 to 6 months in the upper jaw.

In the first few days, it is recommended to stick to soft foods, and gradually return to a regular diet. Special restrictions apply to spicy, salty, and acidic foods, which can irritate the tissues.

It is important to use a toothbrush with soft bristles and special toothpaste. Regular cleaning and the use of an irrigator help maintain the prosthesis and gum health. Additionally, it is recommended to have a professional cleaning every six months.

Sign up for a consultation

Planning a visit to the dentist, but don’t know where to start? Book a consultation before treatment and get answers to all your questions. We will help you understand the necessary procedures and take the first step to a healthy smile!