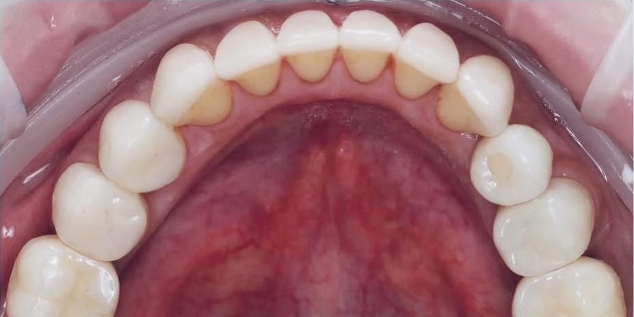
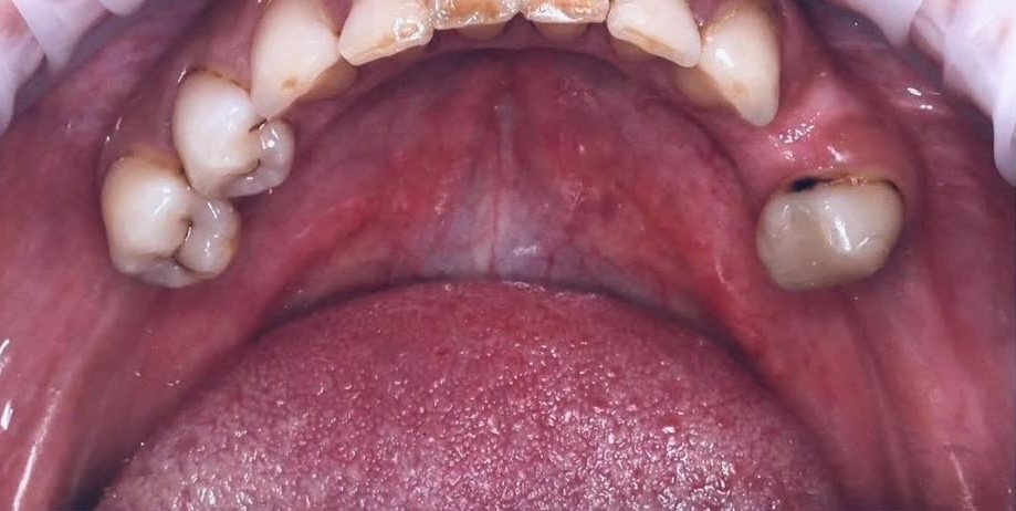
До / после

  • Все на 6 - (временная несъёмная конструкция)

    В ходе операции пациенту имплантировали шесть имплантов Straumann, на которые сразу же была зафиксирована временная несъёмная конструкция. Такой подход позволил отказаться от съёмного протеза и вернуть комфорт, функциональность и эстетичный вид уже в день лечения. Примерно через шесть месяцев, после полной интеграции имплантов с костной тканью, будет изготовлена и установлена постоянная высокопрочная конструкция, обеспечивающая долговечность, надёжное жевание и естественный внешний вид. Операция была выполнена под общим наркозом, что обеспечило пациенту максимальный комфорт на всех этапах лечения.

    Врач: Jevgenijs Kiliarskis

    Viss uz 6 before Viss uz 6 after

    До

    После

  • Система «Все на 4» – надёжное решение для восстановления улыбки

    В процессе лечения пациенту были установлены 4 импланта в каждой челюсти, на которых закреплена несъёмная конструкция «Все на 4». Данная методика позволяет полностью восстановить зубной ряд, возвращая как функциональность, так и естественный внешний вид. Результат — стабильная, удобная и природная улыбка, которая дарит уверенность и комфорт в повседневной жизни.

    Врач: Jevgenijs Kiliarskis

    ai-3 before ai-3 after

    До

    После

  • Система «Все на 4» – современный подход к полной реставрации зубов

    В процессе лечения пациенту были установлены 4 импланта в каждой челюсти, на которых закреплена несъёмная конструкция «Все на 4». Этот современный метод позволяет полностью восстановить зубной ряд и вернуть естественную улыбку, обеспечивая отличную функциональность и эстетику. В результате пациент получил надёжное и стабильное решение, которое дарит комфорт, уверенность и возможность наслаждаться полноценной жизнью.

    Врач: Jevgenijs Kiliarskis

    ai-2 before ai-2 after

    До

    После

  • Система «Все на 4»– эффективное решение для полной реставрации зубов

    В ходе лечения были установлены 4 импланта в каждой челюсти, на которых зафиксирована несъёмная конструкция «Все на 4». Этот современный и надёжный метод позволяет полностью восстановить зубной ряд, обеспечивая естественный внешний вид, высокую эстетику и комфорт в повседневной жизни. В результате пациент получил стабильную и долговечную реставрацию, которая восстановила жевательную функцию и естественную эстетику улыбки, вернув уверенность и улучшив качество жизни.

    Врач: Jevgenijs Kiliarskis

    ai-1 before ai-1 after

    До

    После

  • Полная реконструкция зубного ряда — имплантация по системе «Все на 4»

    Пациентка обратилась с жалобами на дискомфорт при ношении съёмного протеза и желанием улучшить эстетику и функциональность улыбки. В нижней челюсти были удалены несохраняемые зубы и установлены четыре зубных импланта с немедленной нагрузкой, после чего изготовлена и зафиксирована несъёмная конструкция по системе «Все на 4». Эта современная методика позволяет полностью восстановить зубной ряд, вернуть естественную функцию, эстетику и комфорт. Лечение проведено с тщательным планированием, вниманием к деталям и высокой точностью, что обеспечило надёжный, естественный и гармоничный результат.

    Врач: Jevgenijs Kiliarskis

    Allon4 -4 before Allon4 -4 after

    До

    После

1 2